电话:
+86 (0512) 65829739
传真:
+86 (010) 6788 5057
电子邮件:
orders@antibodies-online.cn

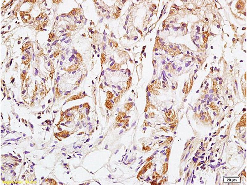
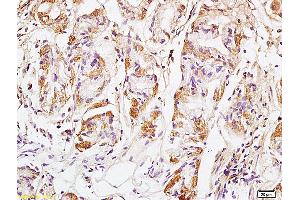
Golgin A2 (GOLGA2) (AA 851-1002) 抗体

The 兔 多克隆 anti-Golgin A2 antibody (ABIN872349) specifically detects Golgin A2 in ELISA, IF (cc), IF (p), IHC (p) 和 IHC (fro). The antibody is reactive with 人, 小鼠 和 大鼠 samples.
产品编号 ABIN872349
发货至: 中国
Contact our Customer Service for availability and price in your country. Contact Info

Our Local Distributor

中国
北京 101111
No. 88 KeChuang 6th Street
Beijing Economic Technological Development Area
Room 801-803
4A Biotech Co.,Ltd.
Tel +86 (0512) 65829739 传真 +86 (010) 6788 5057

Quick Overview for Golgin A2 (GOLGA2) (AA 851-1002) 抗体 (ABIN872349)

抗原

See all Golgin A2 (GOLGA2) 抗体
Golgin A2 (GOLGA2)

适用

  • 63
  • 43
  • 43
  • 13
  • 10
  • 10
  • 1
人, 小鼠, 大鼠

宿主

  • 54
  • 10

克隆类型

  • 42
  • 22
多克隆

标记

  • 32
  • 3
  • 2
  • 2
  • 2
  • 2
  • 2
  • 2
  • 2
  • 1
  • 1
  • 1
  • 1
  • 1
  • 1
  • 1
  • 1
  • 1
  • 1
  • 1
  • 1
  • 1
  • 1
  • 1
非结合性

应用范围

  • 41
  • 28
  • 25
  • 19
  • 15
  • 13
  • 12
  • 12
  • 8
  • 5
  • 3
  • 1
ELISA, Immunofluorescence (Cultured Cells) (IF (cc)), Immunofluorescence (Paraffin-embedded Sections) (IF (p)), Immunohistochemistry (Paraffin-embedded Sections) (IHC (p)), Immunohistochemistry (Frozen Sections) (IHC (fro))
  • 抗原表位

    • 14
    • 4
    • 3
    • 2
    • 2
    • 2
    • 2
    • 1
    • 1
    • 1
    • 1
    • 1
    • 1
    • 1
    • 1
    AA 851-1002

    交叉反应

    人, 小鼠, 大鼠

    预测反应

    Cow,Pig

    纯化方法

    Purified by Protein A.

    免疫原

    KLH conjugated synthetic peptide derived from human GM130

    亚型

    IgG
  • 应用备注

    ELISA 1:500-1000
    IHC-P 1:200-400
    IHC-F 1:100-500
    IF(IHC-P) 1:50-200
    IF(IHC-F) 1:50-200
    IF(ICC) 1:50-200

    限制

    仅限研究用
  • 状态

    Liquid

    浓度

    1 μg/μL

    缓冲液

    0.01M TBS( pH 7.4) with 1 % BSA, 0.02 % Proclin300 and 50 % Glycerol.

    储存液

    ProClin

    注意事项

    This product contains ProClin: a POISONOUS AND HAZARDOUS SUBSTANCE, which should be handled by trained staff only.

    储存条件

    4 °C,-20 °C

    储存方法

    Shipped at 4°C. Store at -20°C for one year. Avoid repeated freeze/thaw cycles.

    有效期

    12 months
  • 抗原

    Golgin A2 (GOLGA2)

    别名

    Gm130

    背景

    Synonyms: GM130, Golgin subfamily A member 2, 130 kDa cis-Golgi matrix protein, GM130 autoantigen, Golgin-95, GOLGA2

    Background: Golgi auto-antigen, probably involved in maintaining cis-Golgi structure.

    基因ID

    2801

    UniProt

    Q08379

    途径

    SARS-CoV-2 Protein Interactome
You are here: