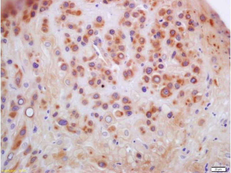
Anillin 抗体 (AA 501-600)
Our Local Distributor
北京 101111
Quick Overview for Anillin 抗体 (AA 501-600) (ABIN872314)
抗原
See all Anillin (ANLN) 抗体适用
宿主
克隆类型
标记
应用范围
-
-
抗原表位
- AA 501-600
-
交叉反应
- 人, 小鼠
-
预测反应
- Rat,Dog,Cow,Horse,Rabbit
-
纯化方法
- Purified by Protein A.
-
免疫原
- KLH conjugated synthetic peptide derived from human Anillin
-
亚型
- IgG
-
-
-
-
应用备注
-
ELISA 1:500-1000
FCM 1:20-100
IHC-P 1:200-400
IHC-F 1:100-500
IF(IHC-P) 1:50-200
IF(IHC-F) 1:50-200
IF(ICC) 1:50-200
ICC 1:100-500 -
限制
- 仅限研究用
-
-
-
状态
- Liquid
-
浓度
- 1 μg/μL
-
缓冲液
- 0.01M TBS( pH 7.4) with 1 % BSA, 0.02 % Proclin300 and 50 % Glycerol.
-
储存液
- ProClin
-
注意事项
- This product contains ProClin: a POISONOUS AND HAZARDOUS SUBSTANCE, which should be handled by trained staff only.
-
储存条件
- 4 °C,-20 °C
-
储存方法
- Shipped at 4°C. Store at -20°C for one year. Avoid repeated freeze/thaw cycles.
-
有效期
- 12 months
-
-
-
: "F-actin binding protein, anillin, regulates integrity of intercellular junctions in human epithelial cells." in: Cellular and molecular life sciences : CMLS, Vol. 72, Issue 16, pp. 3185-3200, (2015) (PubMed).
-
-
- Anillin (ANLN) (Anillin, Actin Binding Protein (ANLN))
-
别名
- Anillin
-
背景
-
Synonyms: scra, FSGS8, Scraps, Actin-binding protein anillin, ANLN
Background: Required for cytokinesis. Essential for the structural integrity of the cleavage furrow and for completion of cleavage furrow ingression.
-
基因ID
- 54443
-
UniProt
- Q9NQW6
抗原
-