电话:
+86 (0512) 65829739
传真:
+86 (010) 6788 5057
电子邮件:
orders@antibodies-online.cn

HNE 抗体

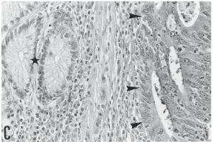
This 小鼠 单克隆 antibody specifically detects HNE in WB 和 IHC.
产品编号 ABIN870788
发货至: 中国
Contact our Customer Service for availability and price in your country. Contact Info

Our Local Distributor

中国
北京 101111
No. 88 KeChuang 6th Street
Beijing Economic Technological Development Area
Room 801-803
4A Biotech Co.,Ltd.
Tel +86 (0512) 65829739 传真 +86 (010) 6788 5057

Quick Overview for HNE 抗体 (ABIN870788)

抗原

See all HNE 抗体
HNE (4-Hydroxynonenal (HNE))

宿主

  • 17
  • 13
  • 5
小鼠

克隆类型

  • 21
  • 14
单克隆

标记

  • 10
  • 3
  • 3
  • 2
  • 1
  • 1
  • 1
  • 1
  • 1
  • 1
  • 1
  • 1
  • 1
  • 1
  • 1
  • 1
  • 1
  • 1
  • 1
  • 1
  • 1
This HNE antibody is un-conjugated

应用范围

  • 33
  • 18
  • 13
  • 10
  • 10
  • 3
  • 3
  • 1
  • 1
Western Blotting (WB), Immunohistochemistry (IHC)

克隆位点

HNEJ-2
  • 特异性

    This antibody shows almost negligible reactivity with proteins that were treated with other aldehydes, such as 2-nonenal, 2-hexenal, 1- hexanal, 4-hydroxy-2-hexenal, formaldehyde, or glutaraldehyde

    纯化方法

    Ascites, ammonium sulfate purified

    免疫原

    4-HNE-modified Keyhole Limpet Hemocyanin

    亚型

    IgG1 kappa
  • 应用备注

    This antibody has not been tested for use in all applications. This does not necessarily exclude its use for non-tested procedures. The stated dilutions are recommendations only.

    限制

    仅限研究用
  • 状态

    Lyophilized

    溶解方式

    Resuspend in aqua bidest.

    缓冲液

    50 mM Tris- buffered saline (TBS)

    储存条件

    4 °C
  • 抗原

    HNE (4-Hydroxynonenal (HNE))

    物质类

    Chemical
You are here: