电话:
+86 (0512) 65829739
传真:
+86 (010) 6788 5057
电子邮件:
orders@antibodies-online.cn

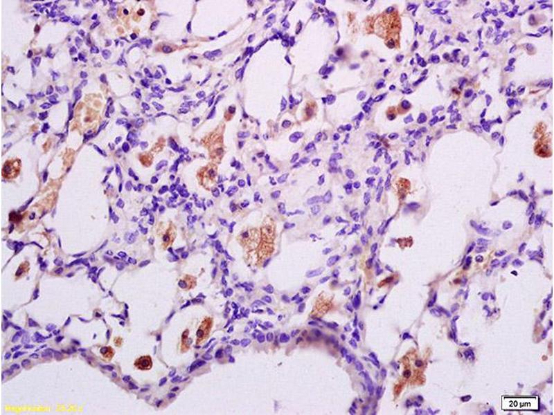
IFNAR1 抗体 (pSer535, pSer538)

The 兔 多克隆 anti-IFNAR1 antibody (ABIN802353) specifically detects IFNAR1 in ELISA, FACS, IF (cc), IF (p), IHC (p) 和 IHC (fro). The antibody is reactive with 人 和 大鼠 samples.
产品编号 ABIN802353
发货至: 中国
Contact our Customer Service for availability and price in your country. Contact Info

Our Local Distributor

中国
北京 101111
No. 88 KeChuang 6th Street
Beijing Economic Technological Development Area
Room 801-803
4A Biotech Co.,Ltd.
Tel +86 (0512) 65829739 传真 +86 (010) 6788 5057

Quick Overview for IFNAR1 抗体 (pSer535, pSer538) (ABIN802353)

抗原

See all IFNAR1 抗体
IFNAR1 (Interferon alpha/beta Receptor 1 (IFNAR1))

适用

  • 117
  • 32
  • 28
  • 2
  • 2
  • 1
  • 1
人, 大鼠

宿主

  • 103
  • 21
  • 7
  • 5
  • 1

克隆类型

  • 80
  • 54
  • 2
多克隆

标记

  • 61
  • 10
  • 6
  • 5
  • 4
  • 4
  • 4
  • 4
  • 4
  • 4
  • 4
  • 2
  • 2
  • 2
  • 2
  • 2
  • 2
  • 2
  • 2
  • 2
  • 2
  • 2
  • 1
  • 1
  • 1
  • 1
This IFNAR1 antibody is un-conjugated

应用范围

  • 61
  • 45
  • 30
  • 29
  • 24
  • 24
  • 16
  • 7
  • 6
  • 5
  • 3
  • 2
  • 2
  • 1
  • 1
ELISA, Flow Cytometry (FACS), Immunofluorescence (Cultured Cells) (IF (cc)), Immunofluorescence (Paraffin-embedded Sections) (IF (p)), Immunohistochemistry (Paraffin-embedded Sections) (IHC (p)), Immunohistochemistry (Frozen Sections) (IHC (fro))
  • 抗原表位

    • 19
    • 15
    • 13
    • 9
    • 6
    • 4
    • 3
    • 2
    • 2
    • 2
    • 2
    • 2
    • 1
    • 1
    • 1
    • 1
    • 1
    • 1
    • 1
    • 1
    • 1
    • 1
    • 1
    • 1
    • 1
    • 1
    • 1
    • 1
    • 1
    pSer535, pSer538

    交叉反应

    人, 大鼠

    预测反应

    Mouse,Dog,Cow,Sheep,Pig,Horse,Guinea Pig

    纯化方法

    Purified by Protein A.

    免疫原

    KLH conjugated synthetic phosphopeptide derived from human IFNAR1 around the phosphorylation site of Ser535+Ser538

    亚型

    IgG
  • 应用备注

    ELISA 1:500-1000
    FCM 1:20-100
    IHC-P 1:200-400
    IHC-F 1:100-500
    IF(IHC-P) 1:50-200
    IF(IHC-F) 1:50-200
    IF(ICC) 1:50-200

    限制

    仅限研究用
  • 状态

    Liquid

    浓度

    1 μg/μL

    缓冲液

    0.01M TBS( pH 7.4) with 1 % BSA, 0.02 % Proclin300 and 50 % Glycerol.

    储存液

    ProClin

    注意事项

    This product contains ProClin: a POISONOUS AND HAZARDOUS SUBSTANCE, which should be handled by trained staff only.

    储存条件

    4 °C,-20 °C

    储存方法

    Shipped at 4°C. Store at -20°C for one year. Avoid repeated freeze/thaw cycles.

    有效期

    12 months
  • 抗原

    IFNAR1 (Interferon alpha/beta Receptor 1 (IFNAR1))

    别名

    IFNAR1 +

    背景

    Synonyms: AVP, IFRC, IFNAR, IFNBR, IFN-alpha-REC, Interferon alpha/beta receptor 1, IFN-R-1, IFN-alpha/beta receptor 1, Cytokine receptor class-II member 1, Cytokine receptor family 2 member 1, CRF2-1, Type I interferon receptor 1, IFNAR1

    Background: Associates with IFNAR2 to form the type I interferon receptor. Receptor for interferons alpha and beta. Binding to type I IFNs triggers tyrosine phosphorylation of a number of proteins including JAKs, TYK2, STAT proteins and IFNR alpha- and beta-subunits themselves. Can also transduce IFNB signals without the help of IFNAR2, and not activating the Jak-STAT pathway.

    基因ID

    3454

    UniProt

    P17181

    途径

    JAK/STAT Signaling, Hepatitis C
You are here: