LSD1 抗体 (AA 753-852)
Our Local Distributor
北京 101111
Quick Overview for LSD1 抗体 (AA 753-852) (ABIN790656)
抗原
See all LSD1 (KDM1A) 抗体适用
宿主
克隆类型
标记
应用范围
克隆位点
-
-
抗原表位
- AA 753-852
-
特异性
- Human AOF2
-
纯化方法
- Purified from ascites by Protein A
-
免疫原
-
AOF2 (NP_055828, 753 a.a. ~ 852 a.a) partial recombinant protein with GST tag. MW of the GST tag alone is 26 KDa.
Type of Immunogen: Recombinant protein -
亚型
- IgG2a kappa
-
-
-
-
应用备注
-
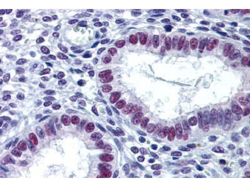
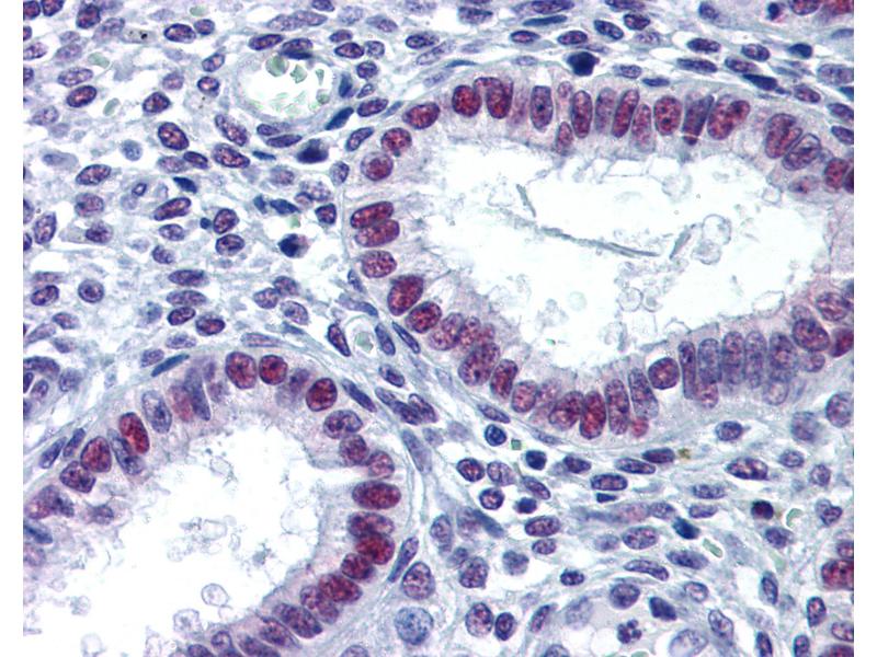
Approved: ELISA, IF (10 μg/mL), IHC, IHC-P (1 - 5 μg/mL), WB (1:500 - 1:1000)
Usage: Immunohistochemistry: Formalin-fixed paraffin-embedded sections. Sandwich ELISA: Recombinant protein. Western Blot with the recombinant protein used as the immunogen. -
说明
-
Target Species of Antibody: Human
-
限制
- 仅限研究用
-
-
-
状态
- Liquid
-
浓度
- Lot specific
-
缓冲液
- PBS, pH 7.4.
-
注意事项
- Aliquot to Avoid repeated freezing and thawing.
-
储存条件
- -20 °C
-
储存方法
- Store at -20°C or lower. Aliquot to avoid freeze-thaw cycles.
-
-
- LSD1 (KDM1A) (Lysine (K)-Specific Demethylase 1A (KDM1A))
-
别名
- KDM1A / LSD1
-
背景
-
Name/Gene ID: KDM1A
Synonyms: KDM1A, BHC110, KDM1, LSD1, AOF2, KIAA0601 -
基因ID
- 23028
-
NCBI登录号
- NP_055828
-
UniProt
- O60341
-
途径
- Regulation of Hormone Metabolic Process, Regulation of Hormone Biosynthetic Process, Negative Regulation of intrinsic apoptotic Signaling, Warburg Effect
抗原
-