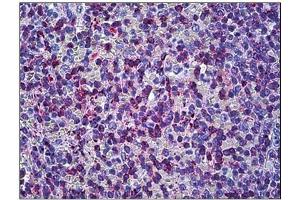
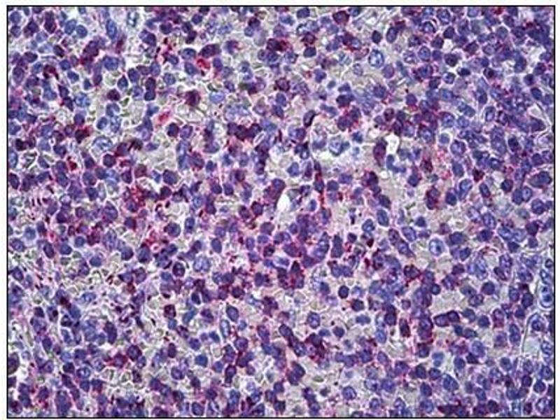
Matrix Metallopeptidase 23 (MMP23) (C-Term) 抗体
Our Local Distributor
北京 101111
Quick Overview for Matrix Metallopeptidase 23 (MMP23) (C-Term) 抗体 (ABIN784071)
抗原
See all Matrix Metallopeptidase 23 (MMP23) 抗体适用
宿主
克隆类型
标记
应用范围
-
-
抗原表位
- C-Term
-
特异性
- This antibody reacts to the C-term of MMP23B.
-
纯化方法
- Immunoaffinity chromatography
-
免疫原
- MMP23B antibody was raised against a synthetic peptide derived from C-terminus of human MMP-23 protein
-
亚型
- IgG
-
-
-
-
应用备注
- Optimal working dilution should be determined by the investigator.
-
限制
- 仅限研究用
-
-
-
状态
- Liquid
-
缓冲液
- 10 mM PBS, pH 7.4 containing BSA as stabilizer and sodium azide as preservative
-
储存液
- Sodium azide
-
注意事项
- This product contains sodium azide: a POISONOUS AND HAZARDOUS SUBSTANCE which should be handled by trained staff only.
-
储存条件
- 4 °C
-
储存方法
- Store the antibody undiluted at 2-8 °C. DO NOT FREEZE!
-
-
- Matrix Metallopeptidase 23 (MMP23)
-
别名
- MMP-23
-
背景
- MMP23A and MMP23B, two Metallopeptidase type proteases, are type II membrane-anchored zymogens that are proteolytically processed at a conserved motif and converted into secretory and mature enzymes. The proteins contain prepro, catalytic, cysteine-rich, interleukin-1 receptor-related and proline-rich domains. The MMP23A and MMP23B genes have been reported to express multiple mRNAs, some of which are derived by alternative splicing.Synonyms: Femalysin, MIFR-1, MMP21, MMP22, MMP23A, MMP23B, Matrix metallopeptidase 21, Matrix metalloprotease 22, Matrix metalloproteinase-23
-
基因ID
- 8510
-
NCBI登录号
- NP_008914
抗原
-