电话:
+86 (0512) 65829739
传真:
+86 (010) 6788 5057
电子邮件:
orders@antibodies-online.cn

LI Cadherin 抗体 (AA 24-132)

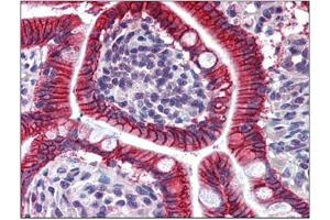
The 小鼠 单克隆 anti-LI Cadherin antibody is suitable to detect LI Cadherin in samples from 人. It has been validated for WB, IHC (p) 和 EIA.
产品编号 ABIN782351
发货至: 中国
Contact our Customer Service for availability and price in your country. Contact Info

Our Local Distributor

中国
北京 101111
No. 88 KeChuang 6th Street
Beijing Economic Technological Development Area
Room 801-803
4A Biotech Co.,Ltd.
Tel +86 (0512) 65829739 传真 +86 (010) 6788 5057

Quick Overview for LI Cadherin 抗体 (AA 24-132) (ABIN782351)

抗原

See all LI Cadherin 抗体
LI Cadherin

适用

  • 106
  • 11
  • 9
  • 7

宿主

  • 54
  • 46
  • 6
  • 2
小鼠

克隆类型

  • 75
  • 28
  • 3
单克隆

标记

  • 54
  • 7
  • 4
  • 3
  • 3
  • 3
  • 3
  • 3
  • 3
  • 3
  • 2
  • 2
  • 2
  • 2
  • 2
  • 2
  • 2
  • 2
  • 1
  • 1
  • 1
  • 1
This LI Cadherin antibody is un-conjugated

应用范围

  • 60
  • 53
  • 31
  • 26
  • 24
  • 17
  • 10
  • 5
  • 4
  • 3
  • 1
  • 1
  • 1
  • 1
  • 1
Western Blotting (WB), Immunohistochemistry (Paraffin-embedded Sections) (IHC (p)), Enzyme Immunoassay (EIA)

克隆位点

3H2
  • 抗原表位

    • 37
    • 5
    • 4
    • 4
    • 3
    • 3
    • 3
    • 2
    • 2
    • 1
    • 1
    • 1
    • 1
    • 1
    • 1
    • 1
    • 1
    • 1
    • 1
    • 1
    AA 24-132

    特异性

    Recognizes Cadherin-17

    交叉反应 (详细)

    Species reactivity (tested):Human.

    纯化方法

    Protein A Chromatography

    免疫原

    CDH17 antibody was raised against CDH17 (NP_004054, 24 a.a. ~ 132 a.a) partial recombinant protein with GST tag.

    亚型

    IgG1
  • 应用备注

    Optimal working dilution should be determined by the investigator.

    限制

    仅限研究用
  • 缓冲液

    PBS, pH 7.2

    注意事项

    Avoid freeze-thaw cycles.

    储存条件

    -20 °C

    储存方法

    Store the antibody (in aliquots) at -20 °C or -80 °C.
  • 抗原

    LI Cadherin

    别名

    Cadherin-17

    背景

    The cadherins are a family of Ca++-dependent adhesion molecules that function to mediate cell-cell binding critical to the maintenance of tissue structure and morphogenesis. Cadherins each contain a large extracellular domain at the amino terminus, which is characterized by a series of five homologous repeats, the most distal of which is thought to be responsible for binding specificity. The relatively short carboxy terminal, intracellular domain interacts with a variety of cytoplasmic proteins, including catenin beta, to regulate cadherin function. LI-cadherin (for liver-intestine-cadherin) expression is restricted to liver and intestine tissues and is specifically localized to the basolateral domain of hepatocytes and enterocytes.Synonyms: CDH17, HPT-1, HPT1, Intestinal peptide-associated transporter HPT-1, Liver-intestine cadherin

    基因ID

    1015

    NCBI登录号

    NP_001138135

    UniProt

    Q12864
You are here: