电话:
+86 (0512) 65829739
传真:
+86 (010) 6788 5057
电子邮件:
orders@antibodies-online.cn

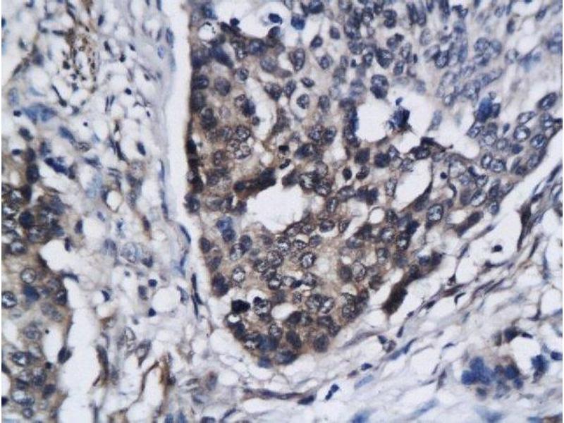
SIRT3 抗体 (AA 201-300)

The 兔 多克隆 anti-SIRT3 antibody is suitable to detect SIRT3 in samples from 人, 小鼠 和 大鼠. It has been validated for WB, ELISA, IHC (p), IHC (fro), IF (cc) 和 IF (p).
产品编号 ABIN762506
发货至: 中国
Contact our Customer Service for availability and price in your country. Contact Info

Our Local Distributor

中国
北京 101111
No. 88 KeChuang 6th Street
Beijing Economic Technological Development Area
Room 801-803
4A Biotech Co.,Ltd.
Tel +86 (0512) 65829739 传真 +86 (010) 6788 5057

Quick Overview for SIRT3 抗体 (AA 201-300) (ABIN762506)

抗原

See all SIRT3 抗体
SIRT3 (Sirtuin 3 (SIRT3))

适用

  • 102
  • 43
  • 22
  • 9
  • 5
  • 4
  • 4
  • 4
  • 4
  • 3
  • 2
  • 2
  • 1
人, 小鼠, 大鼠

宿主

  • 89
  • 20
  • 2
  • 2
  • 2

克隆类型

  • 86
  • 30
多克隆

标记

  • 68
  • 14
  • 10
  • 4
  • 3
  • 3
  • 2
  • 2
  • 2
  • 2
  • 2
  • 2
  • 1
  • 1
This SIRT3 antibody is un-conjugated

应用范围

  • 102
  • 53
  • 52
  • 15
  • 12
  • 8
  • 8
  • 6
  • 5
  • 2
  • 1
  • 1
  • 1
Western Blotting (WB), ELISA, Immunohistochemistry (Paraffin-embedded Sections) (IHC (p)), Immunohistochemistry (Frozen Sections) (IHC (fro)), Immunofluorescence (Cultured Cells) (IF (cc)), Immunofluorescence (Paraffin-embedded Sections) (IF (p))
  • 抗原表位

    • 14
    • 10
    • 8
    • 7
    • 7
    • 6
    • 5
    • 3
    • 3
    • 2
    • 2
    • 1
    • 1
    • 1
    • 1
    • 1
    • 1
    • 1
    • 1
    • 1
    • 1
    • 1
    • 1
    • 1
    • 1
    • 1
    • 1
    • 1
    • 1
    • 1
    • 1
    AA 201-300

    交叉反应

    人, 小鼠, 大鼠

    预测反应

    Dog,Pig,Rabbit

    纯化方法

    Purified by Protein A.

    免疫原

    KLH conjugated synthetic peptide derived from human SIRT3

    亚型

    IgG
  • 应用备注

    WB 1:300-5000
    ELISA 1:500-1000
    IHC-P 1:200-400
    IHC-F 1:100-500
    IF(IHC-P) 1:50-200
    IF(IHC-F) 1:50-200
    IF(ICC) 1:50-200

    限制

    仅限研究用
  • 状态

    Liquid

    浓度

    1 μg/μL

    缓冲液

    0.01M TBS( pH 7.4) with 1 % BSA, 0.02 % Proclin300 and 50 % Glycerol.

    储存液

    ProClin

    注意事项

    This product contains ProClin: a POISONOUS AND HAZARDOUS SUBSTANCE, which should be handled by trained staff only.

    储存条件

    4 °C,-20 °C

    储存方法

    Shipped at 4°C. Store at -20°C for one year. Avoid repeated freeze/thaw cycles.

    有效期

    12 months
  • 抗原

    SIRT3 (Sirtuin 3 (SIRT3))

    别名

    Sirt3

    背景

    Synonyms: SIR2L3, NAD-dependent protein deacetylase sirtuin-3, mitochondrial, hSIRT3, Regulatory protein SIR2 homolog 3, SIR2-like protein 3, SIRT3

    Background: NAD-dependent protein deacetylase. Activates or deactivates mitochondrial target proteins by deacetylating key lysine residues. Known targets include ACSS1, IDH, GDH, SOD2, PDHA1, LCAD, SDHA and the ATP synthase subunit ATP5O. Contributes to the regulation of the cellular energy metabolism. Important for regulating tissue-specific ATP levels.

    基因ID

    23410

    UniProt

    Q9NTG7
You are here: