电话:
+86 (0512) 65829739
传真:
+86 (010) 6788 5057
电子邮件:
orders@antibodies-online.cn

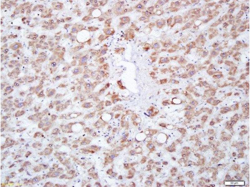
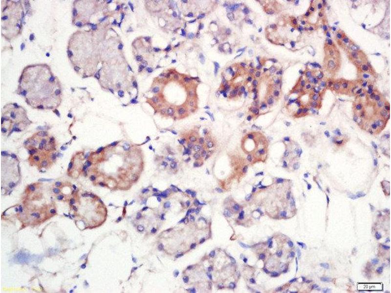
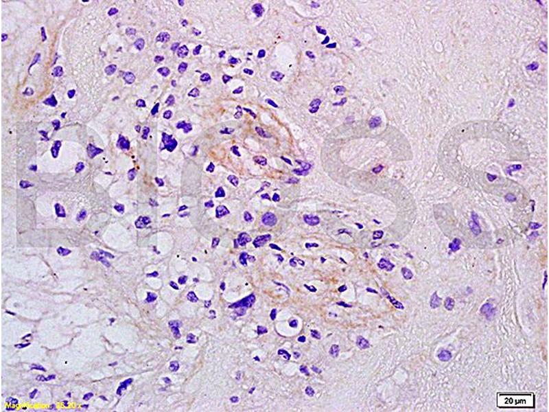
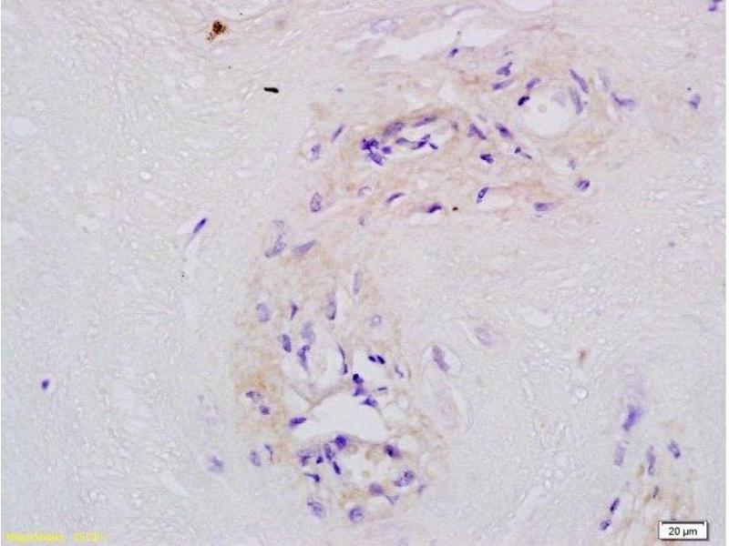
MFSD2A 抗体 (AA 331-430)

There are 2+ publications for this product available. The 兔 多克隆 anti-MFSD2A antibody is suitable to detect MFSD2A in samples from 人, 小鼠 和 大鼠. It has been validated for WB, ELISA, FACS, IF (cc), IF (p), IHC (p) 和 IHC (fro).
产品编号 ABIN762026
发货至: 中国
Contact our Customer Service for availability and price in your country. Contact Info

Our Local Distributor

中国
北京 101111
No. 88 KeChuang 6th Street
Beijing Economic Technological Development Area
Room 801-803
4A Biotech Co.,Ltd.
Tel +86 (0512) 65829739 传真 +86 (010) 6788 5057

Quick Overview for MFSD2A 抗体 (AA 331-430) (ABIN762026)

抗原

See all MFSD2A 抗体
MFSD2A (Major Facilitator Superfamily Domain Containing 2A (MFSD2A))

适用

  • 27
  • 20
  • 19
  • 2
  • 1
  • 1
  • 1
  • 1
  • 1
  • 1
人, 小鼠, 大鼠

宿主

  • 27

克隆类型

  • 27
多克隆

标记

  • 6
  • 1
  • 1
  • 1
  • 1
  • 1
  • 1
  • 1
  • 1
  • 1
  • 1
  • 1
  • 1
  • 1
  • 1
  • 1
  • 1
  • 1
  • 1
  • 1
  • 1
  • 1
This MFSD2A antibody is un-conjugated

应用范围

  • 21
  • 13
  • 12
  • 12
  • 4
  • 3
  • 2
  • 2
  • 1
  • 1
  • 1
Western Blotting (WB), ELISA, Flow Cytometry (FACS), Immunofluorescence (Cultured Cells) (IF (cc)), Immunofluorescence (Paraffin-embedded Sections) (IF (p)), Immunohistochemistry (Paraffin-embedded Sections) (IHC (p)), Immunohistochemistry (Frozen Sections) (IHC (fro))
  • 抗原表位

    • 15
    • 2
    • 2
    • 1
    • 1
    AA 331-430

    交叉反应

    人, 小鼠, 大鼠

    预测反应

    Dog,Cow,Pig,Horse,Chicken,Rabbit

    纯化方法

    Purified by Protein A.

    免疫原

    KLH conjugated synthetic peptide derived from human MFSD2A

    亚型

    IgG
  • 应用备注

    WB 1:300-5000
    ELISA 1:500-1000
    FCM 1:20-100
    IHC-P 1:200-400
    IHC-F 1:100-500
    IF(IHC-P) 1:50-200
    IF(IHC-F) 1:50-200
    IF(ICC) 1:50-200

    限制

    仅限研究用
  • 状态

    Liquid

    浓度

    1 μg/μL

    缓冲液

    0.01M TBS( pH 7.4) with 1 % BSA, 0.02 % Proclin300 and 50 % Glycerol.

    储存液

    ProClin

    注意事项

    This product contains ProClin: a POISONOUS AND HAZARDOUS SUBSTANCE, which should be handled by trained staff only.

    储存条件

    4 °C,-20 °C

    储存方法

    Shipped at 4°C. Store at -20°C for one year. Avoid repeated freeze/thaw cycles.

    有效期

    12 months
  • Díaz-Carballo, Klein, Acikelli, Wilk, Saka, Jastrow, Wennemuth, Dammann, Giger-Pabst, Khosrawipour, Rassow, Nienen, Strumberg: "Cytotoxic stress induces transfer of mitochondria-associated human endogenous retroviral RNA and proteins between cancer cells." in: Oncotarget, Vol. 8, Issue 56, pp. 95945-95964, (2017) (PubMed).

  • 抗原

    MFSD2A (Major Facilitator Superfamily Domain Containing 2A (MFSD2A))

    别名

    Mfsd2a

    背景

    Synonyms: NLS1, MFSD2, Sodium-dependent lysophosphatidylcholine symporter 1, Sodium-dependent LPC symporter 1, Major facilitator superfamily domain-containing protein 2A, MFSD2A, HMFN0656, PP9177, UNQ300/PRO341

    Background: Sodium-dependent lysophosphatidylcholine (LPC) symporter, which plays an essential role for blood-brain barrier formation and function. Specifically expressed in endothelium of the blood-brain barrier of micro-vessels and transports LPC into the brain. Transport of LPC is essential because it constitutes the major mechanism by which docosahexaenoic acid (DHA), an omega-3 fatty acid that is essential for normal brain growth and cognitive function, enters the brain. Transports LPC carrying long-chain fatty acids such LPC oleate and LPC palmitate with a minimum acyl chain length of 14 carbons. Does not transport docosahexaenoic acid in unesterified fatty acid. Specifically required for blood-brain barrier formation and function, probably by mediating lipid transport. Not required for central nervous system vascular morphogenesis (By similarity). Acts as a transporter for tunicamycin, an inhibitor of asparagine-linked glycosylation. In placenta, acts as a receptor for ERVFRD-1/syncytin-2 and is required for trophoblast fusion (PubMed:18988732).

    基因ID

    84879

    UniProt

    Q8NA29
You are here: