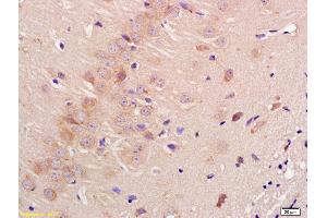
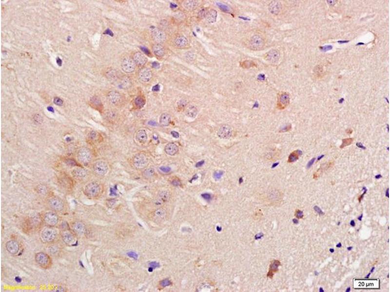
CNTN3 抗体 (AA 301-400)
Our Local Distributor
北京 101111
Quick Overview for CNTN3 抗体 (AA 301-400) (ABIN761441)
抗原
See all CNTN3 抗体适用
宿主
克隆类型
标记
应用范围
-
-
抗原表位
- AA 301-400
-
交叉反应
- 大鼠
-
预测反应
- Human,Mouse,Dog,Cow,Horse,Chicken,Rabbit
-
纯化方法
- Purified by Protein A.
-
免疫原
- KLH conjugated synthetic peptide derived from human Contactin 3
-
亚型
- IgG
-
-
-
-
应用备注
-
ELISA 1:500-1000
IHC-P 1:200-400
IHC-F 1:100-500
IF(IHC-P) 1:50-200
IF(IHC-F) 1:50-200
IF(ICC) 1:50-200 -
限制
- 仅限研究用
-
-
-
状态
- Liquid
-
浓度
- 1 μg/μL
-
缓冲液
- 0.01M TBS( pH 7.4) with 1 % BSA, 0.02 % Proclin300 and 50 % Glycerol.
-
储存液
- ProClin
-
注意事项
- This product contains ProClin: a POISONOUS AND HAZARDOUS SUBSTANCE, which should be handled by trained staff only.
-
储存条件
- 4 °C,-20 °C
-
储存方法
- Shipped at 4°C. Store at -20°C for one year. Avoid repeated freeze/thaw cycles.
-
有效期
- 12 months
-
-
- CNTN3 (Contactin 3 (Plasmacytoma Associated) (CNTN3))
-
别名
- Contactin 3
-
背景
-
Synonyms: PCS, PANG, BIG-1, Contactin-3, Brain-derived immunoglobulin superfamily protein 1, Plasmacytoma-associated neuronal glycoprotein, CNTN3, KIAA1496
Background: Contactins mediate cell surface interactions during nervous system development. Has some neurite outgrowth-promoting activity (By similarity).
-
基因ID
- 5067
-
UniProt
- Q9P232
抗原
-