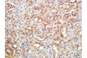
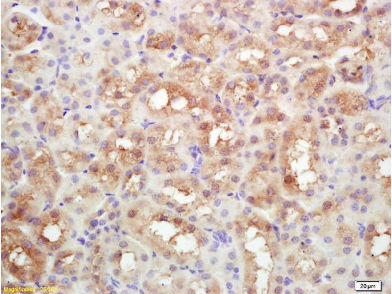
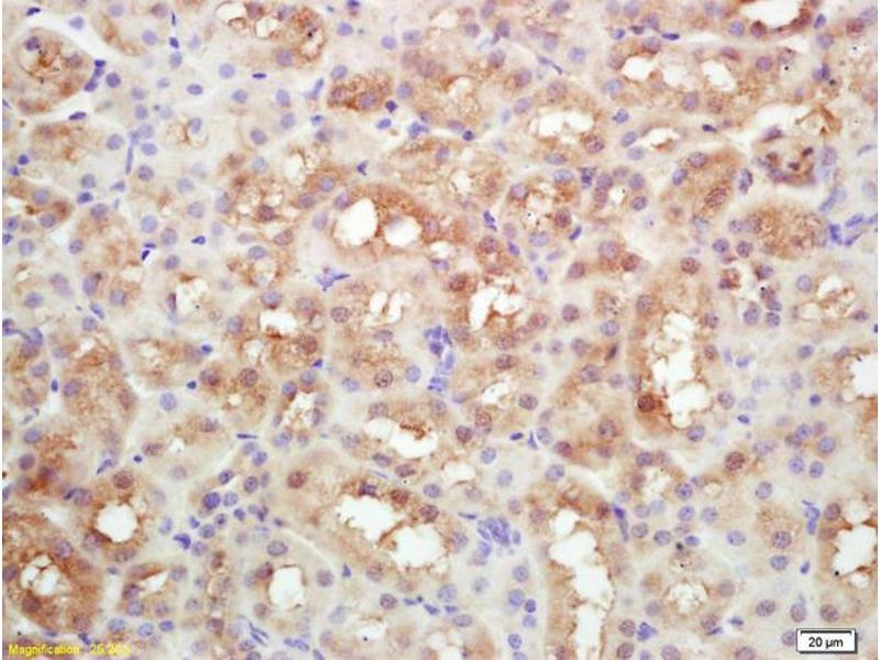
DAB2 抗体 (AA 31-130)
Our Local Distributor
北京 101111
Quick Overview for DAB2 抗体 (AA 31-130) (ABIN760961)
抗原
See all DAB2 抗体适用
宿主
克隆类型
标记
应用范围
-
-
抗原表位
- AA 31-130
-
交叉反应
- 人, 大鼠
-
预测反应
- Mouse,Dog,Cow,Pig,Horse,Chicken,Rabbit,Guinea Pig
-
纯化方法
- Purified by Protein A.
-
免疫原
- KLH conjugated synthetic peptide derived from human DAB2
-
亚型
- IgG
-
-
-
-
应用备注
-
WB 1:300-5000
ELISA 1:500-1000
FCM 1:20-100
IHC-P 1:200-400
IHC-F 1:100-500
IF(IHC-P) 1:50-200
IF(IHC-F) 1:50-200
IF(ICC) 1:50-200 -
限制
- 仅限研究用
-
-
-
状态
- Liquid
-
浓度
- 1 μg/μL
-
缓冲液
- 0.01M TBS( pH 7.4) with 1 % BSA, 0.02 % Proclin300 and 50 % Glycerol.
-
储存液
- ProClin
-
注意事项
- This product contains ProClin: a POISONOUS AND HAZARDOUS SUBSTANCE, which should be handled by trained staff only.
-
储存条件
- 4 °C,-20 °C
-
储存方法
- Shipped at 4°C. Store at -20°C for one year. Avoid repeated freeze/thaw cycles.
-
有效期
- 12 months
-
-
- DAB2 (Disabled Homolog 2, Mitogen-Responsive phosphoprotein (Drosophila) (DAB2))
-
别名
- Dab2
-
背景
-
Synonyms: DOC2, DOC-2, Disabled homolog 2, Differentially-expressed protein 2, DAB2
Background: This gene encodes a mitogen-responsive phosphoprotein. It is expressed in normal ovarian epithelial cells, but is down-regulated or absent from ovarian carcinoma cell lines, suggesting its role as a tumor suppressor. This protein binds to the SH3 domains of GRB2, an adaptor protein that couples tyrosine kinase receptors to SOS (a guanine nucleotide exchange factor for Ras), via its C-terminal proline-rich sequences, and may thus modulate growth factor/Ras pathways by competing with SOS for binding to GRB2. Alternatively spliced transcript variants encoding different isoforms have been found for this gene. [provided by RefSeq, Oct 2011]
-
基因ID
- 1601
-
UniProt
- P98082
-
途径
- Intracellular Steroid Hormone Receptor Signaling Pathway, Regulation of Intracellular Steroid Hormone Receptor Signaling, Regulation of Hormone Metabolic Process, Regulation of Hormone Biosynthetic Process
抗原
-