电话:
+86 (0512) 65829739
传真:
+86 (010) 6788 5057
电子邮件:
orders@antibodies-online.cn

PBOV1 抗体 (AA 31-130)

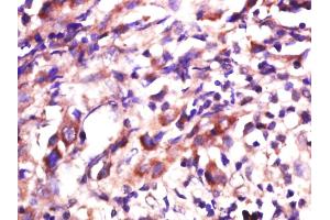
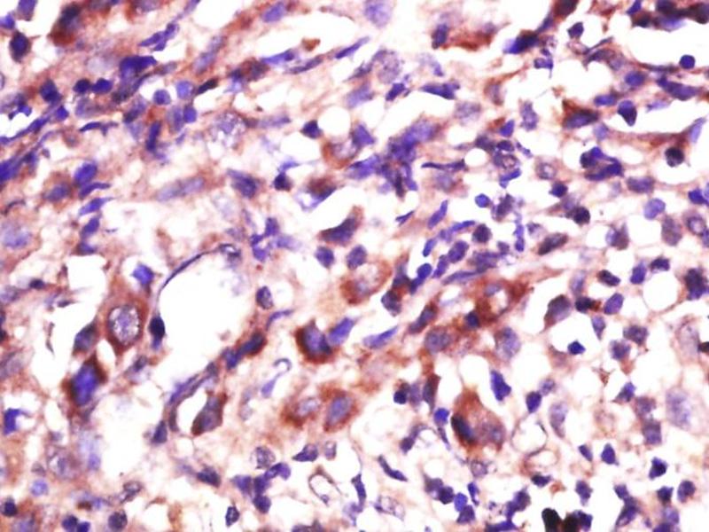
The 兔 多克隆 anti-PBOV1 antibody is suitable to detect PBOV1 in samples from 人. It has been validated for ELISA, IF (cc), IF (p), IHC (p) 和 IHC (fro).
产品编号 ABIN760106
发货至: 中国
Contact our Customer Service for availability and price in your country. Contact Info

Our Local Distributor

中国
北京 101111
No. 88 KeChuang 6th Street
Beijing Economic Technological Development Area
Room 801-803
4A Biotech Co.,Ltd.
Tel +86 (0512) 65829739 传真 +86 (010) 6788 5057

Quick Overview for PBOV1 抗体 (AA 31-130) (ABIN760106)

抗原

See all PBOV1 抗体
PBOV1 (Prostate and Breast Cancer Overexpressed Protein 1 (PBOV1))

适用

  • 30
  • 9

宿主

  • 30

克隆类型

  • 30
多克隆

标记

  • 9
  • 2
  • 1
  • 1
  • 1
  • 1
  • 1
  • 1
  • 1
  • 1
  • 1
  • 1
  • 1
  • 1
  • 1
  • 1
  • 1
  • 1
  • 1
  • 1
  • 1
This PBOV1 antibody is un-conjugated

应用范围

  • 12
  • 12
  • 9
  • 8
  • 3
  • 3
  • 3
  • 2
  • 1
  • 1
ELISA, Immunofluorescence (Cultured Cells) (IF (cc)), Immunofluorescence (Paraffin-embedded Sections) (IF (p)), Immunohistochemistry (Paraffin-embedded Sections) (IHC (p)), Immunohistochemistry (Frozen Sections) (IHC (fro))
You are here: