电话:
+86 (0512) 65829739
传真:
+86 (010) 6788 5057
电子邮件:
orders@antibodies-online.cn

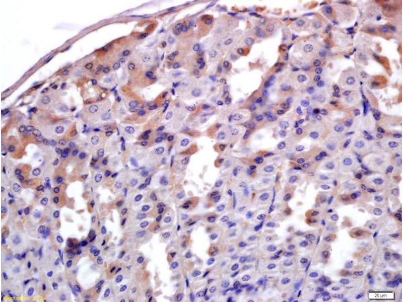
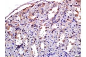
ADAM28 抗体 (AA 321-420)

There is 1 publication for this product available. The 兔 多克隆 anti-ADAM28 antibody is suitable to detect ADAM28 in samples from 小鼠. It has been validated for ELISA, FACS, IF (cc), IF (p), IHC (p) 和 IHC (fro).
产品编号 ABIN758861
发货至: 中国
Contact our Customer Service for availability and price in your country. Contact Info

Our Local Distributor

中国
北京 101111
No. 88 KeChuang 6th Street
Beijing Economic Technological Development Area
Room 801-803
4A Biotech Co.,Ltd.
Tel +86 (0512) 65829739 传真 +86 (010) 6788 5057

Quick Overview for ADAM28 抗体 (AA 321-420) (ABIN758861)

抗原

See all ADAM28 抗体
ADAM28 (ADAM Metallopeptidase Domain 28 (ADAM28))

适用

  • 23
  • 20
  • 5
小鼠

宿主

  • 37
  • 2

克隆类型

  • 37
  • 2
多克隆

标记

  • 13
  • 2
  • 2
  • 1
  • 1
  • 1
  • 1
  • 1
  • 1
  • 1
  • 1
  • 1
  • 1
  • 1
  • 1
  • 1
  • 1
  • 1
  • 1
  • 1
  • 1
  • 1
  • 1
  • 1
  • 1
This ADAM28 antibody is un-conjugated

应用范围

  • 17
  • 12
  • 12
  • 10
  • 7
  • 7
  • 5
  • 3
  • 2
  • 2
  • 1
  • 1
ELISA, Flow Cytometry (FACS), Immunofluorescence (Cultured Cells) (IF (cc)), Immunofluorescence (Paraffin-embedded Sections) (IF (p)), Immunohistochemistry (Paraffin-embedded Sections) (IHC (p)), Immunohistochemistry (Frozen Sections) (IHC (fro))
  • 抗原表位

    • 15
    • 3
    • 2
    • 2
    • 2
    • 1
    • 1
    • 1
    AA 321-420

    交叉反应

    小鼠

    预测反应

    Human,Rat

    纯化方法

    Purified by Protein A.

    免疫原

    KLH conjugated synthetic peptide derived from human ADAM28

    亚型

    IgG
  • 应用备注

    ELISA 1:500-1000
    FCM 1:20-100
    IHC-P 1:200-400
    IHC-F 1:100-500
    IF(IHC-P) 1:50-200
    IF(IHC-F) 1:50-200
    IF(ICC) 1:50-200

    限制

    仅限研究用
  • 状态

    Liquid

    浓度

    1 μg/μL

    缓冲液

    0.01M TBS( pH 7.4) with 1 % BSA, 0.02 % Proclin300 and 50 % Glycerol.

    储存液

    ProClin

    注意事项

    This product contains ProClin: a POISONOUS AND HAZARDOUS SUBSTANCE, which should be handled by trained staff only.

    储存条件

    4 °C,-20 °C

    储存方法

    Shipped at 4°C. Store at -20°C for one year. Avoid repeated freeze/thaw cycles.

    有效期

    12 months
  • Zhang, Zhu, Xiao, Liu, Han, Chen, Hou, Shen, Li, Ma, Wang: "CD19 regulates ADAM28-mediated Notch2 cleavage to control the differentiation of marginal zone precursors to MZ B cells." in: Journal of cellular and molecular medicine, Vol. 21, Issue 12, pp. 3658-3669, (2017) (PubMed).

  • 抗原

    ADAM28 (ADAM Metallopeptidase Domain 28 (ADAM28))

    别名

    ADAM28

    背景

    Synonyms: MDCL, MDC-L, eMDCII, ADAM 28, eMDC II, Disintegrin and metalloproteinase domain-containing protein 28, Epididymal metalloproteinase-like, disintegrin-like, and cysteine-rich protein II, Metalloproteinase-like, disintegrin-like, and cysteine-rich protein L, ADAM28, ADAM23

    Background: May play a role in the adhesive and proteolytic events that occur during lymphocyte emigration or may function in ectodomain shedding of lymphocyte surface target proteins, such as FASL and CD40L. May be involved in sperm maturation.

    基因ID

    10863

    UniProt

    Q9UKQ2
You are here: