电话:
+86 (0512) 65829739
传真:
+86 (010) 6788 5057
电子邮件:
orders@antibodies-online.cn

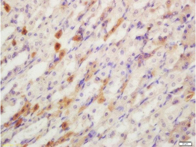
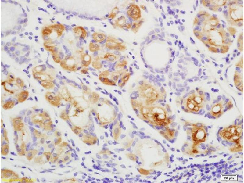
YES1 抗体 (AA 441-541)

This 兔 多克隆 antibody specifically detects YES1 in WB, ELISA, IF (p), IF (cc), IHC (p) 和 IHC (fro). It exhibits reactivity toward 人 和 小鼠.
产品编号 ABIN754798
发货至: 中国
Contact our Customer Service for availability and price in your country. Contact Info

Our Local Distributor

中国
北京 101111
No. 88 KeChuang 6th Street
Beijing Economic Technological Development Area
Room 801-803
4A Biotech Co.,Ltd.
Tel +86 (0512) 65829739 传真 +86 (010) 6788 5057

Quick Overview for YES1 抗体 (AA 441-541) (ABIN754798)

抗原

See all YES1 抗体
YES1 (V-Yes-1 Yamaguchi Sarcoma Viral Oncogene Homolog 1 (YES1))

适用

  • 114
  • 66
  • 41
  • 3
  • 1
  • 1
人, 小鼠

宿主

  • 106
  • 10

克隆类型

  • 94
  • 21
多克隆

标记

  • 43
  • 9
  • 8
  • 5
  • 3
  • 3
  • 3
  • 3
  • 3
  • 3
  • 3
  • 3
  • 3
  • 3
  • 3
  • 2
  • 2
  • 2
  • 2
  • 2
  • 2
  • 2
  • 2
  • 1
  • 1
This YES1 antibody is un-conjugated

应用范围

  • 102
  • 38
  • 35
  • 30
  • 25
  • 17
  • 15
  • 8
  • 6
  • 5
  • 3
  • 1
  • 1
  • 1
  • 1
Western Blotting (WB), ELISA, Immunofluorescence (Paraffin-embedded Sections) (IF (p)), Immunofluorescence (Cultured Cells) (IF (cc)), Immunohistochemistry (Paraffin-embedded Sections) (IHC (p)), Immunohistochemistry (Frozen Sections) (IHC (fro))
  • 抗原表位

    • 16
    • 15
    • 14
    • 13
    • 7
    • 5
    • 5
    • 3
    • 2
    • 2
    • 2
    • 1
    • 1
    • 1
    • 1
    • 1
    • 1
    • 1
    • 1
    • 1
    AA 441-541

    交叉反应

    人, 小鼠

    预测反应

    Rat,Dog,Cow,Pig,Chicken,Rabbit,Guinea Pig

    纯化方法

    Purified by Protein A.

    免疫原

    KLH conjugated synthetic peptide derived from human YES1

    亚型

    IgG
  • 应用备注

    WB 1:300-5000
    ELISA 1:500-1000
    IHC-P 1:200-400
    IHC-F 1:100-500
    IF(IHC-P) 1:50-200
    IF(IHC-F) 1:50-200
    IF(ICC) 1:50-200

    限制

    仅限研究用
  • 状态

    Liquid

    浓度

    1 μg/μL

    缓冲液

    0.01M TBS( pH 7.4) with 1 % BSA, 0.02 % Proclin300 and 50 % Glycerol.

    储存液

    ProClin

    注意事项

    This product contains ProClin: a POISONOUS AND HAZARDOUS SUBSTANCE, which should be handled by trained staff only.

    储存条件

    4 °C,-20 °C

    储存方法

    Shipped at 4°C. Store at -20°C for one year. Avoid repeated freeze/thaw cycles.

    有效期

    12 months
  • 抗原

    YES1 (V-Yes-1 Yamaguchi Sarcoma Viral Oncogene Homolog 1 (YES1))

    别名

    YES1

    背景

    Synonyms: Yes, c-yes, HsT441, P61-YES, Tyrosine-protein kinase Yes, Proto-oncogene c-Yes, YES1

    Background: Non-receptor protein tyrosine kinase that is involved in the regulation of cell growth and survival, apoptosis, cell-cell adhesion, cytoskeleton remodeling, and differentiation. Stimulation by receptor tyrosine kinases (RTKs) including EGRF, PDGFR, CSF1R and FGFR leads to recruitment of YES1 to the phosphorylated receptor, and activation and phosphorylation of downstream substrates. Upon EGFR activation, promotes the phosphorylation of PARD3 to favor epithelial tight junction assembly. Participates in the phosphorylation of specific junctional components such as CTNND1 by stimulating the FYN and FER tyrosine kinases at cell-cell contacts. Upon T-cell stimulation by CXCL12, phosphorylates collapsin response mediator protein 2/DPYSL2 and induces T-cell migration. Participates in CD95L/FASLG signaling pathway and mediates AKT-mediated cell migration. Plays a role in cell cycle progression by phosphorylating the cyclin-dependent kinase 4/CDK4 thus regulating the G1 phase. Also involved in G2/M progression and cytokinesis.

    基因ID

    7525

    UniProt

    P07947

    途径

    CXCR4-mediated Signaling Events, Signaling Events mediated by VEGFR1 and VEGFR2, Thromboxane A2 Receptor Signaling
You are here: