GPD2 抗体 (AA 165-270)
Our Local Distributor
北京 101111
Quick Overview for GPD2 抗体 (AA 165-270) (ABIN753253)
抗原
See all GPD2 抗体适用
宿主
克隆类型
标记
应用范围
-
-
抗原表位
- AA 165-270
-
交叉反应
- 小鼠, 大鼠
-
预测反应
- Human,Dog,Cow,Pig,Horse,Rabbit
-
纯化方法
- Purified by Protein A.
-
免疫原
- KLH conjugated synthetic peptide derived from human GPD2
-
亚型
- IgG
-
-
-
-
应用备注
-
ELISA 1:500-1000
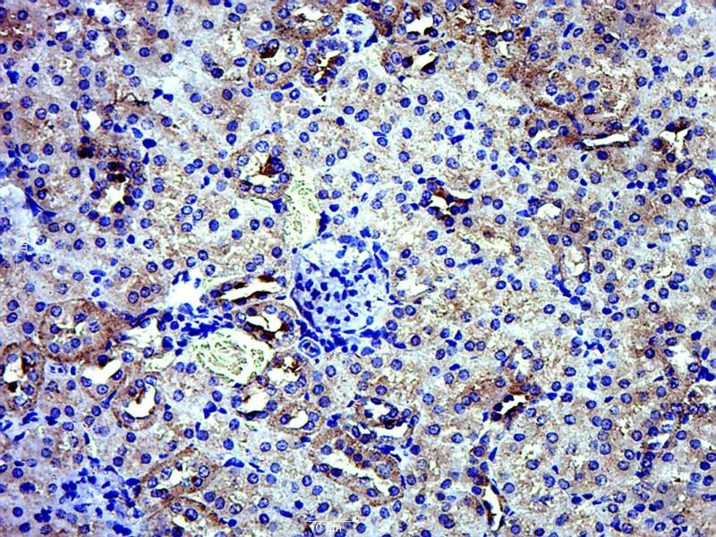
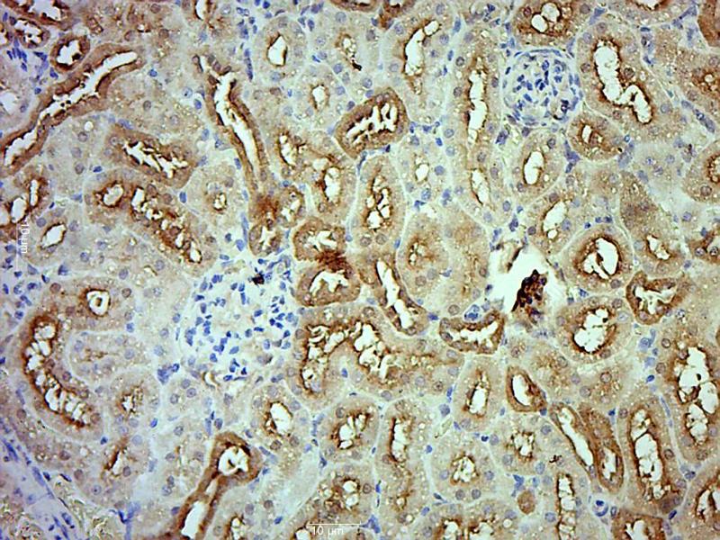
IHC-P 1:200-400
IHC-F 1:100-500
IF(IHC-P) 1:50-200
IF(IHC-F) 1:50-200
IF(ICC) 1:50-200 -
限制
- 仅限研究用
-
-
-
状态
- Liquid
-
浓度
- 1 μg/μL
-
缓冲液
- 0.01M TBS( pH 7.4) with 1 % BSA, 0.02 % Proclin300 and 50 % Glycerol.
-
储存液
- ProClin
-
注意事项
- This product contains ProClin: a POISONOUS AND HAZARDOUS SUBSTANCE, which should be handled by trained staff only.
-
储存条件
- 4 °C,-20 °C
-
储存方法
- Shipped at 4°C. Store at -20°C for one year. Avoid repeated freeze/thaw cycles.
-
有效期
- 12 months
-
-
- GPD2 (Glycerol Phosphate Dehydrogenase 2, Mitochondrial (GPD2))
-
别名
- GPD2
-
背景
-
Synonyms: GDH2, Glycerol 3 phosphate dehydrogenase 2, Glycerol 3 phosphate dehydrogenase mitochondrial, GPD 2, GPD M, GPDH M, GPDM, mGPDH, Mitochondrial glycerophosphate dehydrogenase, mtGPD, GPDM_HUMAN.
Background: The protein encoded by this gene localizes to the inner mitochondrial membrane and catalyzes the conversion of glycerol-3-phosphate to dihydroxyacetone phosphate, using FAD as a cofactor. Along with GDP1, the encoded protein constitutes the glycerol phosphate shuttle, which reoxidizes NADH formed during glycolysis. Two transcript variants encoding the same protein have been found for this gene.[provided by RefSeq, Jan 2010].
-
基因ID
- 2820
抗原
-