电话:
+86 (0512) 65829739
传真:
+86 (010) 6788 5057
电子邮件:
orders@antibodies-online.cn

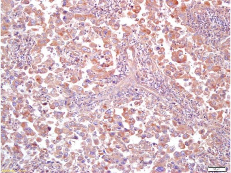
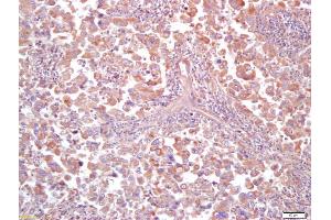
MT-ND5 抗体 (AA 451-550)

This 兔 多克隆 antibody specifically detects MT-ND5 in WB, ELISA, IF (cc), IF (p), IHC (p) 和 IHC (fro). It exhibits reactivity toward 人 和 大鼠.It has been mentioned in 1 publication
产品编号 ABIN751633
发货至: 中国
Contact our Customer Service for availability and price in your country. Contact Info

Our Local Distributor

中国
北京 101111
No. 88 KeChuang 6th Street
Beijing Economic Technological Development Area
Room 801-803
4A Biotech Co.,Ltd.
Tel +86 (0512) 65829739 传真 +86 (010) 6788 5057

Quick Overview for MT-ND5 抗体 (AA 451-550) (ABIN751633)

抗原

See all MT-ND5 抗体
MT-ND5 (Mitochondrially Encoded NADH Dehydrogenase 5 (MT-ND5))

适用

  • 48
  • 25
  • 6
  • 1
  • 1
  • 1
  • 1
  • 1
  • 1
人, 大鼠

宿主

  • 55

克隆类型

  • 55
多克隆

标记

  • 22
  • 6
  • 4
  • 3
  • 2
  • 1
  • 1
  • 1
  • 1
  • 1
  • 1
  • 1
  • 1
  • 1
  • 1
  • 1
  • 1
  • 1
  • 1
  • 1
  • 1
  • 1
  • 1
This MT-ND5 antibody is un-conjugated

应用范围

  • 45
  • 18
  • 12
  • 12
  • 12
  • 4
  • 3
  • 3
  • 3
  • 2
  • 2
  • 1
  • 1
Western Blotting (WB), ELISA, Immunofluorescence (Cultured Cells) (IF (cc)), Immunofluorescence (Paraffin-embedded Sections) (IF (p)), Immunohistochemistry (Paraffin-embedded Sections) (IHC (p)), Immunohistochemistry (Frozen Sections) (IHC (fro))
  • 抗原表位

    • 14
    • 7
    • 5
    • 5
    • 2
    • 1
    • 1
    • 1
    • 1
    • 1
    • 1
    • 1
    • 1
    • 1
    • 1
    AA 451-550

    交叉反应

    人, 大鼠

    纯化方法

    Purified by Protein A.

    免疫原

    KLH conjugated synthetic peptide derived from human MT-ND5

    亚型

    IgG
  • 应用备注

    WB 1:300-5000
    ELISA 1:500-1000
    IHC-P 1:200-400
    IHC-F 1:100-500
    IF(IHC-P) 1:50-200
    IF(IHC-F) 1:50-200
    IF(ICC) 1:50-200

    限制

    仅限研究用
  • 状态

    Liquid

    浓度

    1 μg/μL

    缓冲液

    0.01M TBS( pH 7.4) with 1 % BSA, 0.02 % Proclin300 and 50 % Glycerol.

    储存液

    ProClin

    注意事项

    This product contains ProClin: a POISONOUS AND HAZARDOUS SUBSTANCE, which should be handled by trained staff only.

    储存条件

    4 °C,-20 °C

    储存方法

    Shipped at 4°C. Store at -20°C for one year. Avoid repeated freeze/thaw cycles.

    有效期

    12 months
  • Wu, Zhang, Nickerson, Gao, Sun, Chen, Zhang, Zhang, Gao, Chen, Luo, Wang, Sun: "Cumulative mtDNA damage and mutations contribute to the progressive loss of RGCs in a rat model of glaucoma." in: Neurobiology of disease, Vol. 74, pp. 167-79, (2015) (PubMed).

  • 抗原

    MT-ND5 (Mitochondrially Encoded NADH Dehydrogenase 5 (MT-ND5))

    别名

    MT-ND5

    背景

    Synonyms: MTND5, NADH-ubiquinone oxidoreductase chain 5, NADH dehydrogenase subunit 5, MT-ND5, NADH5, ND5

    Background: Core subunit of the mitochondrial membrane respiratory chain NADH dehydrogenase (Complex I) that is believed to belong to the minimal assembly required for catalysis. Complex I functions in the transfer of electrons from NADH to the respiratory chain. The immediate electron acceptor for the enzyme is believed to be ubiquinone (By similarity).

    基因ID

    4540

    UniProt

    P03915
You are here: