电话:
+86 (0512) 65829739
传真:
+86 (010) 6788 5057
电子邮件:
orders@antibodies-online.cn

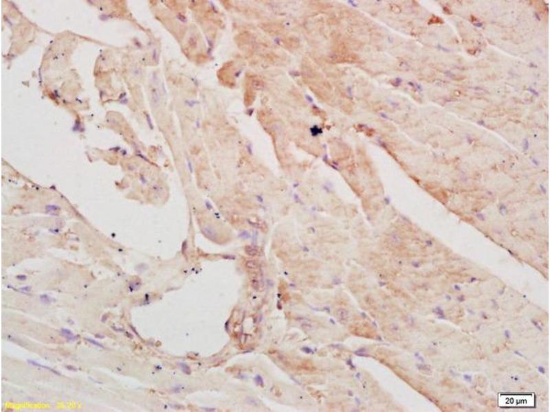
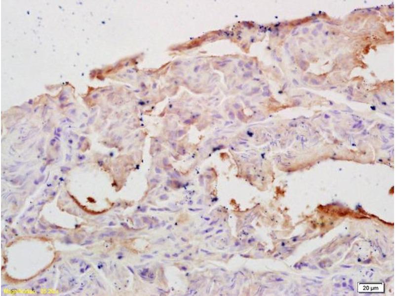
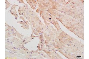
STRADB 抗体 (AA 251-350)

This 兔 多克隆 antibody specifically detects STRADB in WB, ELISA, IHC (p), IF (cc), IF (p) 和 IHC (fro). It exhibits reactivity toward 小鼠 和 大鼠.
产品编号 ABIN751273
发货至: 中国
Contact our Customer Service for availability and price in your country. Contact Info

Our Local Distributor

中国
北京 101111
No. 88 KeChuang 6th Street
Beijing Economic Technological Development Area
Room 801-803
4A Biotech Co.,Ltd.
Tel +86 (0512) 65829739 传真 +86 (010) 6788 5057

Quick Overview for STRADB 抗体 (AA 251-350) (ABIN751273)

抗原

See all STRADB 抗体
STRADB (STE20-Related Kinase Adaptor beta (STRADB))

适用

  • 31
  • 23
  • 2
  • 1
  • 1
  • 1
小鼠, 大鼠

宿主

  • 39
  • 2
  • 1

克隆类型

  • 40
  • 1
多克隆

标记

  • 26
  • 3
  • 3
  • 2
  • 1
  • 1
  • 1
  • 1
  • 1
  • 1
  • 1
  • 1
This STRADB antibody is un-conjugated

应用范围

  • 31
  • 18
  • 6
  • 3
  • 3
  • 3
  • 2
  • 1
Western Blotting (WB), ELISA, Immunohistochemistry (Paraffin-embedded Sections) (IHC (p)), Immunofluorescence (Cultured Cells) (IF (cc)), Immunofluorescence (Paraffin-embedded Sections) (IF (p)), Immunohistochemistry (Frozen Sections) (IHC (fro))
  • 抗原表位

    • 11
    • 8
    • 5
    • 2
    • 1
    • 1
    • 1
    • 1
    • 1
    • 1
    • 1
    • 1
    • 1
    • 1
    • 1
    AA 251-350

    交叉反应

    小鼠, 大鼠

    预测反应

    Human,Dog,Cow,Pig,Horse,Rabbit

    纯化方法

    Purified by Protein A.

    免疫原

    KLH conjugated synthetic peptide derived from human ALS2CR2

    亚型

    IgG
  • 应用备注

    WB 1:300-5000
    ELISA 1:500-1000
    IHC-P 1:200-400
    IHC-F 1:100-500
    IF(IHC-P) 1:50-200
    IF(IHC-F) 1:50-200
    IF(ICC) 1:50-200

    限制

    仅限研究用
  • 状态

    Liquid

    浓度

    1 μg/μL

    缓冲液

    0.01M TBS( pH 7.4) with 1 % BSA, 0.02 % Proclin300 and 50 % Glycerol.

    储存液

    ProClin

    注意事项

    This product contains ProClin: a POISONOUS AND HAZARDOUS SUBSTANCE, which should be handled by trained staff only.

    储存条件

    4 °C,-20 °C

    储存方法

    Shipped at 4°C. Store at -20°C for one year. Avoid repeated freeze/thaw cycles.

    有效期

    12 months
  • 抗原

    STRADB (STE20-Related Kinase Adaptor beta (STRADB))

    别名

    PAPK/ALS2CR2

    背景

    Synonyms: PAPK, ILPIP, ILPIPA, ALS2CR2, CALS-21, PRO1038, STE20-related kinase adapter protein beta, STRAD beta, Amyotrophic lateral sclerosis 2 chromosomal region candidate gene 2 protein, ILP-interacting protein, Pseudokinase ALS2CR2, STRADB

    Background: Pseudokinase which, in complex with CAB39/MO25 (CAB39/MO25alpha or CAB39L/MO25beta), binds to and activates STK11/LKB1. Adopts a closed conformation typical of active protein kinases and binds STK11/LKB1 as a pseudosubstrate, promoting conformational change of STK11/LKB1 in an active conformation (By similarity).

    基因ID

    55437

    UniProt

    Q9C0K7

    途径

    AMPK Signaling
You are here: