电话:
+86 (0512) 65829739
传真:
+86 (010) 6788 5057
电子邮件:
orders@antibodies-online.cn

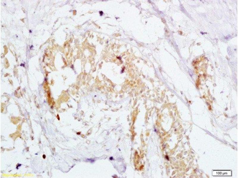
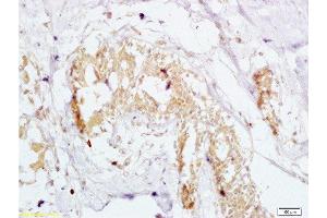
GTPBP10 抗体 (AA 151-250)

This 兔 多克隆 antibody specifically detects GTPBP10 in WB, ELISA, IF (cc), IF (p), IHC (p) 和 IHC (fro). It exhibits reactivity toward 人, 小鼠 和 大鼠.
产品编号 ABIN750748
发货至: 中国
Contact our Customer Service for availability and price in your country. Contact Info

Our Local Distributor

中国
北京 101111
No. 88 KeChuang 6th Street
Beijing Economic Technological Development Area
Room 801-803
4A Biotech Co.,Ltd.
Tel +86 (0512) 65829739 传真 +86 (010) 6788 5057

Quick Overview for GTPBP10 抗体 (AA 151-250) (ABIN750748)

抗原

See all GTPBP10 抗体
GTPBP10 (GTP-Binding Protein 10 (GTPBP10))

适用

  • 39
  • 31
  • 21
  • 5
  • 4
  • 3
  • 3
  • 3
  • 2
  • 2
  • 2
  • 2
  • 1
  • 1
  • 1
人, 小鼠, 大鼠

宿主

  • 39

克隆类型

  • 39
多克隆

标记

  • 14
  • 2
  • 2
  • 2
  • 1
  • 1
  • 1
  • 1
  • 1
  • 1
  • 1
  • 1
  • 1
  • 1
  • 1
  • 1
  • 1
  • 1
  • 1
  • 1
  • 1
  • 1
  • 1
This GTPBP10 antibody is un-conjugated

应用范围

  • 33
  • 12
  • 12
  • 11
  • 3
  • 2
  • 2
  • 1
Western Blotting (WB), ELISA, Immunofluorescence (Cultured Cells) (IF (cc)), Immunofluorescence (Paraffin-embedded Sections) (IF (p)), Immunohistochemistry (Paraffin-embedded Sections) (IHC (p)), Immunohistochemistry (Frozen Sections) (IHC (fro))
  • 抗原表位

    • 14
    • 8
    • 4
    • 2
    • 2
    • 1
    • 1
    • 1
    AA 151-250

    交叉反应

    人, 小鼠, 大鼠

    预测反应

    Dog,Cow,Pig,Horse,Rabbit

    纯化方法

    Purified by Protein A.

    免疫原

    KLH conjugated synthetic peptide derived from human GTPBP10

    亚型

    IgG
  • 应用备注

    WB 1:300-5000
    ELISA 1:500-1000
    IHC-P 1:200-400
    IHC-F 1:100-500
    IF(IHC-P) 1:50-200
    IF(IHC-F) 1:50-200
    IF(ICC) 1:50-200

    限制

    仅限研究用
  • 状态

    Liquid

    浓度

    1 μg/μL

    缓冲液

    0.01M TBS( pH 7.4) with 1 % BSA, 0.02 % Proclin300 and 50 % Glycerol.

    储存液

    ProClin

    注意事项

    This product contains ProClin: a POISONOUS AND HAZARDOUS SUBSTANCE, which should be handled by trained staff only.

    储存条件

    4 °C,-20 °C

    储存方法

    Shipped at 4°C. Store at -20°C for one year. Avoid repeated freeze/thaw cycles.

    有效期

    12 months
  • 抗原

    GTPBP10 (GTP-Binding Protein 10 (GTPBP10))

    别名

    GTPBP10

    背景

    Synonyms: ObgH2, UG0751c10, GTP-binding protein 10, Protein obg homolog 2, GTPBP10

    Background: May be involved in the ribosome maturation process. Complements an ObgE(CgtA) function in E.coli ribosome maturation. Plays a role of GTPase in vitro. When missing, disorganization of the nuceleolar architecture is observed.

    基因ID

    85865

    UniProt

    A4D1E9
You are here: