电话:
+86 (0512) 65829739
传真:
+86 (010) 6788 5057
电子邮件:
orders@antibodies-online.cn

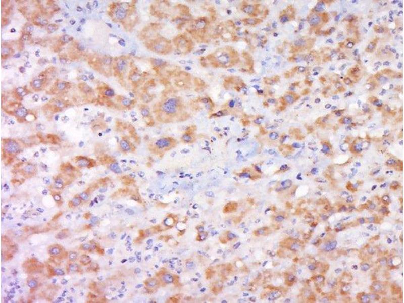
CYBA 抗体 (AA 21-120)

This 兔 多克隆 antibody specifically detects CYBA in WB, ELISA, IF (cc), IF (p), IHC (fro) 和 IHC (p). It exhibits reactivity toward 人, 小鼠 和 大鼠. It has been mentioned in 5+ publications
产品编号 ABIN750538
发货至: 中国
Contact our Customer Service for availability and price in your country. Contact Info

Our Local Distributor

中国
北京 101111
No. 88 KeChuang 6th Street
Beijing Economic Technological Development Area
Room 801-803
4A Biotech Co.,Ltd.
Tel +86 (0512) 65829739 传真 +86 (010) 6788 5057

Quick Overview for CYBA 抗体 (AA 21-120) (ABIN750538)

抗原

See all CYBA 抗体
CYBA (Cytochrome B-245, alpha Polypeptide (CYBA))

适用

  • 45
  • 17
  • 17
  • 2
  • 2
  • 2
  • 1
  • 1
  • 1
  • 1
人, 小鼠, 大鼠

宿主

  • 39
  • 6

克隆类型

  • 39
  • 6
多克隆

标记

  • 13
  • 5
  • 4
  • 3
  • 2
  • 1
  • 1
  • 1
  • 1
  • 1
  • 1
  • 1
  • 1
  • 1
  • 1
  • 1
  • 1
  • 1
  • 1
  • 1
  • 1
  • 1
  • 1
This CYBA antibody is un-conjugated

应用范围

  • 30
  • 16
  • 14
  • 12
  • 12
  • 5
  • 4
  • 3
  • 3
  • 2
  • 1
  • 1
Western Blotting (WB), ELISA, Immunofluorescence (Cultured Cells) (IF (cc)), Immunofluorescence (Paraffin-embedded Sections) (IF (p)), Immunohistochemistry (Frozen Sections) (IHC (fro)), Immunohistochemistry (Paraffin-embedded Sections) (IHC (p))
  • 抗原表位

    • 14
    • 7
    • 5
    • 4
    • 3
    • 1
    • 1
    • 1
    • 1
    AA 21-120

    交叉反应

    人, 小鼠, 大鼠

    纯化方法

    Purified by Protein A.

    免疫原

    KLH conjugated synthetic peptide derived from human CK18 Cytochrome b245 Light Chain/p22phox

    亚型

    IgG
  • 应用备注

    WB 1:300-5000
    ELISA 1:500-1000
    IHC-P 1:200-400
    IHC-F 1:100-500
    IF(IHC-P) 1:50-200
    IF(IHC-F) 1:50-200
    IF(ICC) 1:50-200

    限制

    仅限研究用
  • 状态

    Liquid

    浓度

    1 μg/μL

    缓冲液

    0.01M TBS( pH 7.4) with 1 % BSA, 0.02 % Proclin300 and 50 % Glycerol.

    储存液

    ProClin

    注意事项

    This product contains ProClin: a POISONOUS AND HAZARDOUS SUBSTANCE, which should be handled by trained staff only.

    储存条件

    4 °C,-20 °C

    储存方法

    Shipped at 4°C. Store at -20°C for one year. Avoid repeated freeze/thaw cycles.

    有效期

    12 months
  • Song, Zhang, Han, Zhang, Zhang, Gao, Zhang, Chu, Zhao: "Potential mechanisms underlying the protective effects of salvianic acid A against atherosclerosis in vivo and vitro." in: Biomedicine & pharmacotherapy, Vol. 109, pp. 945-956, (2019) (PubMed).

    Yue, Wang, Wang, Du, Shen, Tang, Wang, Yin: "Bletilla striata polysaccharide inhibits angiotensin II-induced ROS and inflammation via NOX4 and TLR2 pathways." in: International journal of biological macromolecules, Vol. 89, pp. 376-88, (2016) (PubMed).

    Yoshida, Murayama, Kawashima, Nagahara, Kangawa, Mizukami, Kimura, Abe, Hayashi, Shibutani: "Apocynin and enzymatically modified isoquercitrin suppress the expression of a NADPH oxidase subunit p22phox in steatosis-related preneoplastic liver foci of rats." in: Experimental and toxicologic pathology : official journal of the Gesellschaft für Toxikologische Pathologie, Vol. 69, Issue 1, pp. 9-16, (2016) (PubMed).

    Li, Wang, Zhu, Zhang, Pan, Wang et al.: "Arctigenin suppresses transforming growth factor-?1-induced expression of monocyte chemoattractant protein-1 and the subsequent epithelial-mesenchymal transition through reactive oxygen ..." in: Free radical research, Vol. 49, Issue 9, pp. 1095-113, (2015) (PubMed).

    Walton, Shin, Tajinda, Heusner, Kogan, Miyake, Chen, Tamura, Matsumoto: "Adult neurogenesis transiently generates oxidative stress." in: PLoS ONE, Vol. 7, Issue 4, pp. e35264, (2012) (PubMed).

  • 抗原

    CYBA (Cytochrome B-245, alpha Polypeptide (CYBA))

    别名

    Cytochrome b245 Light Chain

    背景

    Synonyms: p22-PHOX, Cytochrome b-245 light chain, Cytochrome b(558) alpha chain, Cytochrome b558 subunit alpha, Neutrophil cytochrome b 22 kDa polypeptide, Superoxide-generating NADPH oxidase light chain subunit, p22 phagocyte B-cytochrome, p22phox, CYBA

    Background: Critical component of the membrane-bound oxidase of phagocytes that generates superoxide. Associates with NOX3 to form a functional NADPH oxidase constitutively generating superoxide.

    基因ID

    1535

    UniProt

    P13498

    途径

    Regulation of Systemic Arterial Blood Pressure by Hormones, Carbohydrate Homeostasis
You are here: