电话:
+86 (0512) 65829739
传真:
+86 (010) 6788 5057
电子邮件:
orders@antibodies-online.cn

IL27 Receptor alpha 抗体 (AA 21-120)

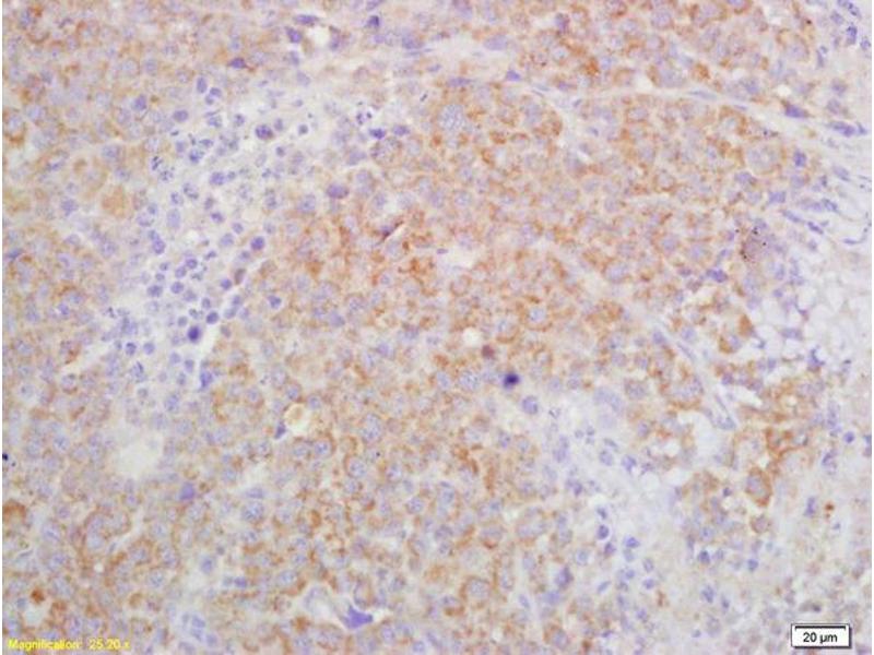
There is 1 publication for this product available. The 兔 多克隆 anti-IL27 Receptor alpha antibody is suitable to detect IL27 Receptor alpha in samples from 人 和 小鼠. It has been validated for WB, ELISA, ICC, IF (cc), IF (p), IHC (p) 和 IHC (fro).
产品编号 ABIN749498
发货至: 中国
Contact our Customer Service for availability and price in your country. Contact Info

Our Local Distributor

中国
北京 101111
No. 88 KeChuang 6th Street
Beijing Economic Technological Development Area
Room 801-803
4A Biotech Co.,Ltd.
Tel +86 (0512) 65829739 传真 +86 (010) 6788 5057

Quick Overview for IL27 Receptor alpha 抗体 (AA 21-120) (ABIN749498)

抗原

See all IL27 Receptor alpha (IL27RA) 抗体
IL27 Receptor alpha (IL27RA) (Interleukin 27 Receptor, alpha (IL27RA))

适用

  • 45
  • 32
  • 7
人, 小鼠

宿主

  • 45
  • 5
  • 2

克隆类型

  • 45
  • 7
多克隆

标记

  • 23
  • 4
  • 1
  • 1
  • 1
  • 1
  • 1
  • 1
  • 1
  • 1
  • 1
  • 1
  • 1
  • 1
  • 1
  • 1
  • 1
  • 1
  • 1
  • 1
  • 1
  • 1
  • 1
  • 1
  • 1
  • 1
  • 1
This IL27 Receptor alpha antibody is un-conjugated

应用范围

  • 40
  • 12
  • 12
  • 10
  • 9
  • 7
  • 5
  • 5
  • 5
  • 2
  • 2
  • 2
  • 1
Western Blotting (WB), ELISA, Immunocytochemistry (ICC), Immunofluorescence (Cultured Cells) (IF (cc)), Immunofluorescence (Paraffin-embedded Sections) (IF (p)), Immunohistochemistry (Paraffin-embedded Sections) (IHC (p)), Immunohistochemistry (Frozen Sections) (IHC (fro))
  • 抗原表位

    • 14
    • 4
    • 2
    • 2
    • 2
    • 2
    • 2
    • 1
    • 1
    • 1
    • 1
    • 1
    • 1
    • 1
    • 1
    AA 21-120

    交叉反应

    人, 小鼠

    预测反应

    Rat

    纯化方法

    Purified by Protein A.

    免疫原

    KLH conjugated synthetic peptide derived from human IL-27RA

    亚型

    IgG
  • 应用备注

    WB 1:300-5000
    ELISA 1:500-1000
    IHC-P 1:200-400
    IHC-F 1:100-500
    IF(IHC-P) 1:50-200
    IF(IHC-F) 1:50-200
    IF(ICC) 1:50-200
    ICC 1:100-500

    限制

    仅限研究用
  • 状态

    Liquid

    浓度

    1 μg/μL

    缓冲液

    0.01M TBS( pH 7.4) with 1 % BSA, 0.02 % Proclin300 and 50 % Glycerol.

    储存液

    ProClin

    注意事项

    This product contains ProClin: a POISONOUS AND HAZARDOUS SUBSTANCE, which should be handled by trained staff only.

    储存条件

    4 °C,-20 °C

    储存方法

    Shipped at 4°C. Store at -20°C for one year. Avoid repeated freeze/thaw cycles.

    有效期

    12 months
  • Xu, Yi, Wang, Hu, Han, Xue, Zhang, Luan: "IL-27 regulates the adherence, proliferation, and migration of MSCs and enhances their regulatory effects on Th1 and Th2 subset generations." in: Immunologic research, Vol. 65, Issue 4, pp. 903-912, (2017) (PubMed).

  • 抗原

    IL27 Receptor alpha (IL27RA) (Interleukin 27 Receptor, alpha (IL27RA))

    别名

    Il-27ra

    背景

    Synonyms: CRL1, TCCR, WSX1, IL27R, IL-27RA, zcytor1, Interleukin-27 receptor subunit alpha, IL-27 receptor subunit alpha, IL-27R subunit alpha, IL-27R-alpha, Cytokine receptor WSX-1, Cytokine receptor-like 1, Type I T-cell cytokine receptor, IL27RA, UNQ296/PRO336

    Background: Receptor for IL27. Requires IL6ST/gp130 to mediate signal transduction in response to IL27. This signaling system acts through STAT3 and STAT1. Involved in the regulation of Th1-type immune responses. Also appears to be involved in innate defense mechanisms.

    基因ID

    9466

    UniProt

    Q6UWB1

    途径

    Regulation of Leukocyte Mediated Immunity, Production of Molecular Mediator of Immune Response
You are here: