电话:
+86 (0512) 65829739
传真:
+86 (010) 6788 5057
电子邮件:
orders@antibodies-online.cn

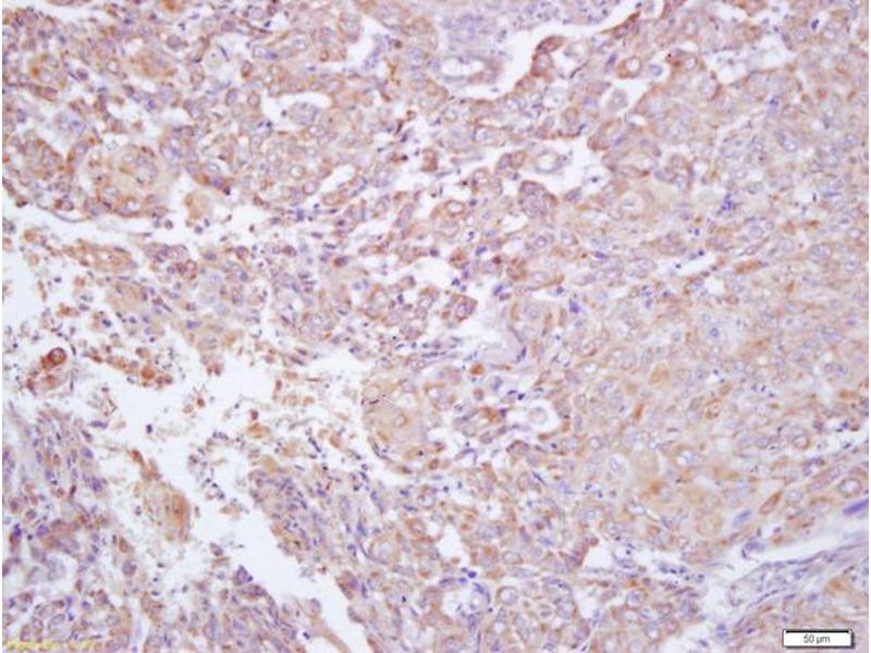
RTN4RL2 抗体 (AA 241-337)

There are 2+ publications for this product available. The 兔 多克隆 anti-RTN4RL2 antibody is suitable to detect RTN4RL2 in samples from 人 和 Cow. It has been validated for ELISA 和 IHC (p).
产品编号 ABIN749483
发货至: 中国
Contact our Customer Service for availability and price in your country. Contact Info

Our Local Distributor

中国
北京 101111
No. 88 KeChuang 6th Street
Beijing Economic Technological Development Area
Room 801-803
4A Biotech Co.,Ltd.
Tel +86 (0512) 65829739 传真 +86 (010) 6788 5057

Quick Overview for RTN4RL2 抗体 (AA 241-337) (ABIN749483)

抗原

RTN4RL2 (Reticulon 4 Receptor-Like 2 (RTN4RL2))

适用

  • 27
  • 9
  • 9
  • 3
  • 2
  • 1
  • 1
  • 1
人, Cow

宿主

  • 27

克隆类型

  • 26
  • 1
多克隆

标记

  • 12
  • 3
  • 3
  • 2
  • 2
  • 2
  • 1
  • 1
  • 1
This RTN4RL2 antibody is un-conjugated

应用范围

  • 19
  • 18
  • 3
  • 3
  • 2
  • 2
  • 1
  • 1
ELISA, Immunohistochemistry (Paraffin-embedded Sections) (IHC (p))
  • 抗原表位

    • 8
    • 7
    • 4
    • 3
    • 2
    • 2
    • 2
    • 1
    • 1
    • 1
    AA 241-337

    交叉反应

    Cow, 人

    预测反应

    Mouse,Rat,Dog,Cow,Rabbit

    纯化方法

    Purified by Protein A.

    免疫原

    KLH conjugated synthetic peptide derived from human IFNGR2

    亚型

    IgG
  • 应用备注

    ELISA 1:500-1000
    IHC-P 1:200-400

    限制

    仅限研究用
  • 状态

    Liquid

    浓度

    1 μg/μL

    缓冲液

    0.01M TBS( pH 7.4) with 1 % BSA, 0.02 % Proclin300 and 50 % Glycerol.

    储存液

    ProClin

    注意事项

    This product contains ProClin: a POISONOUS AND HAZARDOUS SUBSTANCE, which should be handled by trained staff only.

    储存条件

    4 °C,-20 °C

    储存方法

    Shipped at 4°C. Store at -20°C for one year. Avoid repeated freeze/thaw cycles.

    有效期

    12 months
  • Xia, Gao, Zhang, Wang, Zhao, Che, Ao, Yang, Wang, Lei: "Autophagy mediated by arginine depletion activation of the nutrient sensor GCN2 contributes to interferon-γ-induced malignant transformation of primary bovine mammary epithelial cells." in: Cell death discovery, Vol. 2, pp. 15065, (2016) (PubMed).

    Kunis, Baruch, Rosenzweig, Kertser, Miller, Berkutzki, Schwartz: "IFN-?-dependent activation of the brain's choroid plexus for CNS immune surveillance and repair." in: Brain : a journal of neurology, Vol. 136, Issue Pt 11, pp. 3427-40, (2013) (PubMed).

  • 抗原

    RTN4RL2 (Reticulon 4 Receptor-Like 2 (RTN4RL2))

    别名

    NGR2

    背景

    Synonyms: AF-1, IFGR2, IMD28, IFNGT1, Interferon gamma receptor 2, IFN-gamma receptor 2, IFN-gamma-R2, Interferon gamma receptor accessory factor 1, Interferon gamma transducer 1, IFNGR2

    Background: Part of the receptor for interferon gamma. Required for signal transduction. This accessory factor is an integral part of the IFN-gamma signal transduction pathway and is likely to interact with GAF, JAK1, and/or JAK2.

    基因ID

    3460

    UniProt

    P38484
You are here: