电话:
+86 (0512) 65829739
传真:
+86 (010) 6788 5057
电子邮件:
orders@antibodies-online.cn

IL28A 抗体

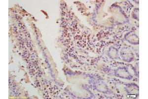
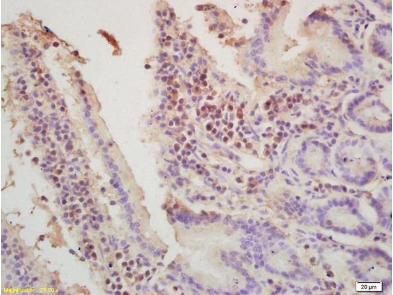
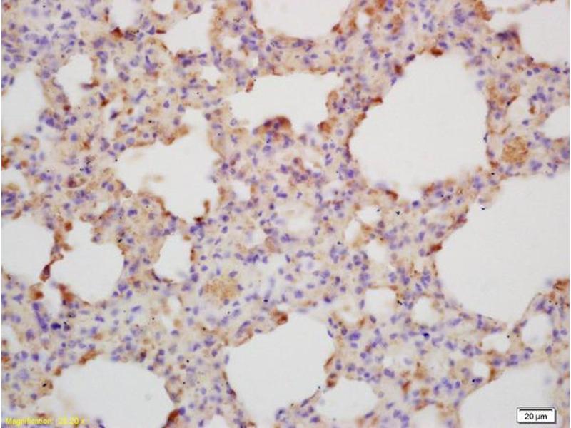
The 兔 多克隆 anti-IL28A antibody is suitable to detect IL28A in samples from 人, 小鼠, Cow, 犬 和 Pig. It has been validated for WB 和 ELISA.
产品编号 ABIN748223
发货至: 中国
Contact our Customer Service for availability and price in your country. Contact Info

Our Local Distributor

中国
北京 101111
No. 88 KeChuang 6th Street
Beijing Economic Technological Development Area
Room 801-803
4A Biotech Co.,Ltd.
Tel +86 (0512) 65829739 传真 +86 (010) 6788 5057

Quick Overview for IL28A 抗体 (ABIN748223)

抗原

See all IL28A 抗体
IL28A (Interleukin 28A (Interferon, lambda 2) (IL28A))

适用

  • 39
  • 18
  • 11
  • 11
  • 11
  • 1
人, 小鼠, Cow, 犬, Pig

宿主

  • 30
  • 11
  • 2

克隆类型

  • 30
  • 13
多克隆

标记

  • 22
  • 4
  • 1
  • 1
  • 1
  • 1
  • 1
  • 1
  • 1
  • 1
  • 1
  • 1
  • 1
  • 1
  • 1
  • 1
  • 1
  • 1
  • 1
This IL28A antibody is un-conjugated

应用范围

  • 31
  • 13
  • 11
  • 6
  • 3
  • 2
  • 2
  • 2
  • 1
  • 1
  • 1
Western Blotting (WB), ELISA
You are here: