电话:
+86 (0512) 65829739
传真:
+86 (010) 6788 5057
电子邮件:
orders@antibodies-online.cn

IL-21 抗体 (AA 65-155)

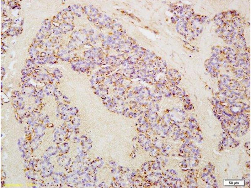
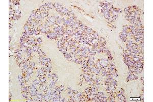
There are 3+ publications for this product available. The 兔 多克隆 anti-IL-21 antibody is suitable to detect IL-21 in samples from 人 和 小鼠. It has been validated for WB, ELISA, IF (p) 和 IHC (p).
产品编号 ABIN748133
发货至: 中国
Contact our Customer Service for availability and price in your country. Contact Info

Our Local Distributor

中国
北京 101111
No. 88 KeChuang 6th Street
Beijing Economic Technological Development Area
Room 801-803
4A Biotech Co.,Ltd.
Tel +86 (0512) 65829739 传真 +86 (010) 6788 5057

Quick Overview for IL-21 抗体 (AA 65-155) (ABIN748133)

抗原

See all IL-21 (IL21) 抗体
IL-21 (IL21) (Interleukin 21 (IL21))

适用

  • 95
  • 29
  • 9
  • 4
  • 2
  • 2
  • 2
  • 1
  • 1
  • 1
人, 小鼠

宿主

  • 74
  • 26
  • 5
  • 5
  • 1

克隆类型

  • 77
  • 27
  • 5
多克隆

标记

  • 56
  • 11
  • 8
  • 7
  • 5
  • 3
  • 1
  • 1
  • 1
  • 1
  • 1
  • 1
  • 1
  • 1
  • 1
  • 1
  • 1
  • 1
  • 1
  • 1
  • 1
  • 1
  • 1
  • 1
  • 1
This IL-21 antibody is un-conjugated

应用范围

  • 63
  • 50
  • 16
  • 13
  • 10
  • 7
  • 7
  • 5
  • 4
  • 3
  • 3
  • 3
  • 2
  • 2
  • 2
  • 1
  • 1
  • 1
Western Blotting (WB), ELISA, Immunofluorescence (Paraffin-embedded Sections) (IF (p)), Immunohistochemistry (Paraffin-embedded Sections) (IHC (p))
  • 抗原表位

    • 14
    • 7
    • 7
    • 4
    • 4
    • 2
    • 2
    • 2
    • 2
    • 1
    • 1
    • 1
    • 1
    • 1
    • 1
    • 1
    • 1
    • 1
    • 1
    • 1
    • 1
    • 1
    • 1
    AA 65-155

    交叉反应

    人, 小鼠

    预测反应

    Rat,Dog,Cow,Pig

    纯化方法

    Purified by Protein A.

    免疫原

    KLH conjugated synthetic peptide derived from human IL-21

    亚型

    IgG
  • 应用备注

    WB 1:300-5000
    ELISA 1:500-1000
    IHC-P 1:200-400
    IF(IHC-P) 1:50-200

    限制

    仅限研究用
  • 状态

    Liquid

    浓度

    1 μg/μL

    缓冲液

    0.01M TBS( pH 7.4) with 1 % BSA, 0.02 % Proclin300 and 50 % Glycerol.

    储存液

    ProClin

    注意事项

    This product contains ProClin: a POISONOUS AND HAZARDOUS SUBSTANCE, which should be handled by trained staff only.

    储存条件

    4 °C,-20 °C

    储存方法

    Shipped at 4°C. Store at -20°C for one year. Avoid repeated freeze/thaw cycles.

    有效期

    12 months
  • Ma, Sun, Zhai, Yu, Wang, Li, Ding: "Effect of follicular helper T cells on the pathogenesis of asthma." in: Experimental and therapeutic medicine, Vol. 14, Issue 2, pp. 967-972, (2017) (PubMed).

    Gong, Zhu, Pang, Ai, Gong, La, Ding: "Increased levels of CCR7(lo)PD-1(hi) CXCR5+ CD4+ T cells, and associated factors Bcl-6, CXCR5, IL-21 and IL-6 contribute to repeated implantation failure." in: Experimental and therapeutic medicine, Vol. 14, Issue 6, pp. 5931-5941, (2017) (PubMed).

    Guan, Wang, Meng, Shi, Jiang, Xiao, Shi, Xu, Zhang: "Increased IL-21/IL-21R expression and its proinflammatory effects in autoimmune thyroid disease." in: Cytokine, Vol. 72, Issue 2, pp. 160-5, (2015) (PubMed).

  • 抗原

    IL-21 (IL21) (Interleukin 21 (IL21))

    别名

    IL-21

    背景

    Synonyms: Za11, IL-21, CVID11, Interleukin-21, IL21

    Background: Cytokine with immunoregulatory activity. May promote the transition between innate and adaptive immunity. Induces the production of IgG(1) and IgG(3) in B-cells (By similarity). May play a role in proliferation and maturation of natural killer (NK) cells in synergy with IL15. May regulate proliferation of mature B- and T-cells in response to activating stimuli. In synergy with IL15 and IL18 stimulates interferon gamma production in T-cells and NK cells. During T-cell mediated immune response may inhibit dendritic cells (DC) activation and maturation.

    基因ID

    59067

    UniProt

    Q9HBE4

    途径

    JAK/STAT Signaling, Regulation of Leukocyte Mediated Immunity, Positive Regulation of Immune Effector Process, Production of Molecular Mediator of Immune Response
You are here: