电话:
+86 (0512) 65829739
传真:
+86 (010) 6788 5057
电子邮件:
orders@antibodies-online.cn

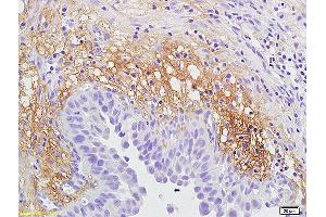
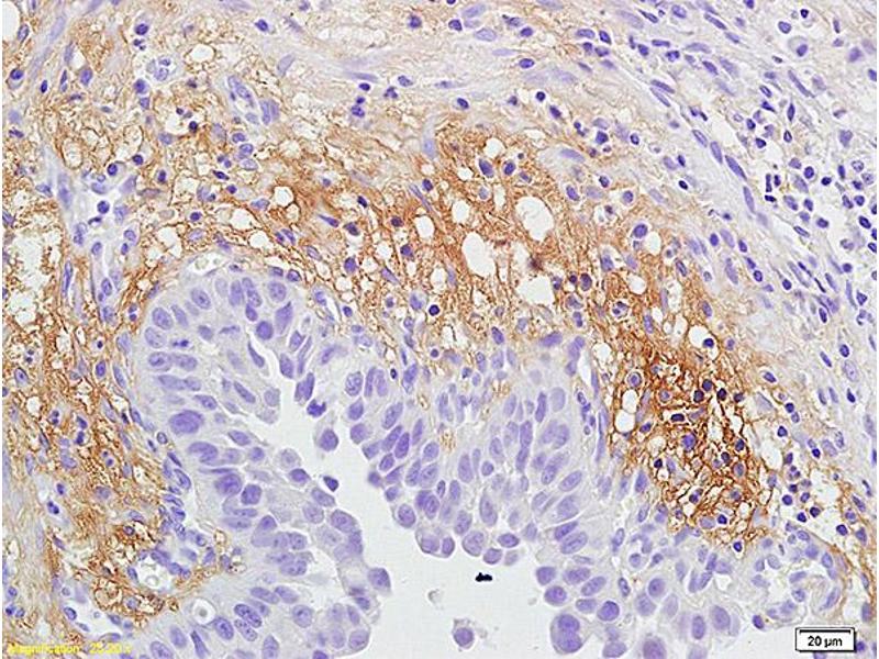
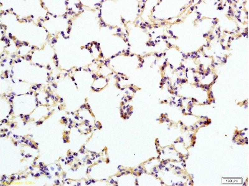
IL12RB2 抗体 (AA 301-400)

There is 1 publication for this product available. The 兔 多克隆 anti-IL12RB2 antibody is suitable to detect IL12RB2 in samples from 人. It has been validated for WB, ELISA, IF (cc), IF (p) 和 IHC (fro).
产品编号 ABIN747878
发货至: 中国
Contact our Customer Service for availability and price in your country. Contact Info

Our Local Distributor

中国
北京 101111
No. 88 KeChuang 6th Street
Beijing Economic Technological Development Area
Room 801-803
4A Biotech Co.,Ltd.
Tel +86 (0512) 65829739 传真 +86 (010) 6788 5057

Quick Overview for IL12RB2 抗体 (AA 301-400) (ABIN747878)

抗原

See all IL12RB2 抗体
IL12RB2 (Interleukin 12 Receptor, beta 2 (IL12RB2))

适用

  • 49
  • 8

宿主

  • 41
  • 11
  • 1

克隆类型

  • 44
  • 9
多克隆

标记

  • 29
  • 5
  • 5
  • 3
  • 3
  • 2
  • 1
  • 1
  • 1
  • 1
  • 1
  • 1
This IL12RB2 antibody is un-conjugated

应用范围

  • 35
  • 19
  • 17
  • 16
  • 6
  • 5
  • 3
  • 2
  • 2
  • 1
Western Blotting (WB), ELISA, Immunofluorescence (Cultured Cells) (IF (cc)), Immunofluorescence (Paraffin-embedded Sections) (IF (p)), Immunohistochemistry (Frozen Sections) (IHC (fro))
  • 抗原表位

    • 10
    • 6
    • 5
    • 4
    • 3
    • 3
    • 2
    • 2
    • 2
    • 2
    • 2
    • 1
    • 1
    • 1
    • 1
    • 1
    AA 301-400

    交叉反应

    预测反应

    Mouse,Rat,Cow,Pig,Horse,Chicken,Rabbit

    纯化方法

    Purified by Protein A.

    免疫原

    KLH conjugated synthetic peptide derived from human IL-12RB2

    亚型

    IgG
  • 应用备注

    WB 1:300-5000
    ELISA 1:500-1000
    IHC-F 1:100-500
    IF(IHC-P) 1:50-200
    IF(IHC-F) 1:50-200
    IF(ICC) 1:50-200

    限制

    仅限研究用
  • 状态

    Liquid

    浓度

    1 μg/μL

    缓冲液

    0.01M TBS( pH 7.4) with 1 % BSA, 0.02 % Proclin300 and 50 % Glycerol.

    储存液

    ProClin

    注意事项

    This product contains ProClin: a POISONOUS AND HAZARDOUS SUBSTANCE, which should be handled by trained staff only.

    储存条件

    4 °C,-20 °C

    储存方法

    Shipped at 4°C. Store at -20°C for one year. Avoid repeated freeze/thaw cycles.

    有效期

    12 months
  • Filková, Vernerová, Hulejová, Prajzlerová, Veigl, Pavelka, Vencovský, Šenolt: "Pro-inflammatory effects of interleukin-35 in rheumatoid arthritis." in: Cytokine, Vol. 73, Issue 1, pp. 36-43, (2015) (PubMed).

  • 抗原

    IL12RB2 (Interleukin 12 Receptor, beta 2 (IL12RB2))

    别名

    IL12RB2

    背景

    Synonyms: Interleukin-12 receptor subunit beta-2, IL-12 receptor subunit beta-2, IL-12R subunit beta-2, IL-12R-beta-2, IL-12RB2, IL12RB2

    Background: Receptor for interleukin-12. This subunit is the signaling component coupling to the JAK2/STAT4 pathway. Promotes the proliferation of T-cells as well as NK cells. Induces the promotion of T-cells towards the Th1 phenotype by strongly enhancing IFN-gamma production.

    基因ID

    3595

    UniProt

    Q99665

    途径

    JAK/STAT Signaling
You are here: