PPIG 抗体 (pSer376)
Our Local Distributor
北京 101111
Quick Overview for PPIG 抗体 (pSer376) (ABIN746678)
抗原
See all PPIG 抗体适用
宿主
克隆类型
标记
应用范围
-
-
抗原表位
- pSer376
-
特异性
- This phosphorylation site is homologous to that of Ser374 in Mouse and Rat.
-
交叉反应
- 人, 小鼠, 大鼠
-
预测反应
- Dog,Cow,Sheep,Pig,Horse,Chicken
-
纯化方法
- Purified by Protein A.
-
免疫原
- KLH conjugated synthetic phosphopeptide derived from human PPIG around the phosphorylation site of Ser376 [VS(p-S)GE]
-
亚型
- IgG
-
-
-
-
应用备注
-
WB 1:300-5000
ELISA 1:500-1000
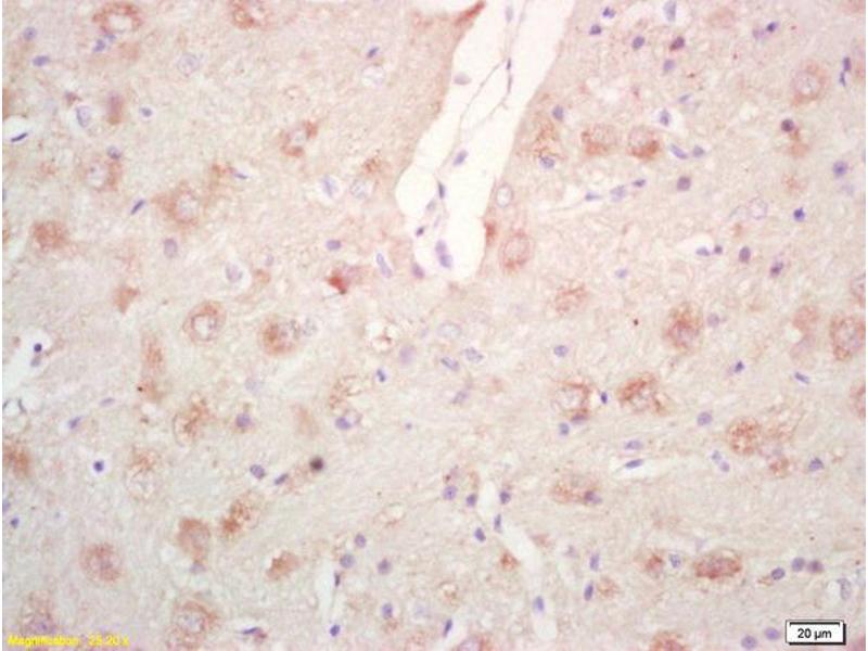
IHC-P 1:200-400
IHC-F 1:100-500
IF(IHC-P) 1:50-200
IF(IHC-F) 1:50-200
IF(ICC) 1:50-200 -
限制
- 仅限研究用
-
-
-
状态
- Liquid
-
浓度
- 1 μg/μL
-
缓冲液
- 0.01M TBS( pH 7.4) with 1 % BSA, 0.02 % Proclin300 and 50 % Glycerol.
-
储存液
- ProClin
-
注意事项
- This product contains ProClin: a POISONOUS AND HAZARDOUS SUBSTANCE, which should be handled by trained staff only.
-
储存条件
- 4 °C,-20 °C
-
储存方法
- Shipped at 4°C. Store at -20°C for one year. Avoid repeated freeze/thaw cycles.
-
有效期
- 12 months
-
-
- PPIG (Peptidylprolyl Isomerase G (Cyclophilin G) (PPIG))
-
别名
- PPIG
-
背景
-
Synonyms: CYP, SRCyp, SCAF10, CARS-Cyp, Peptidyl-prolyl cis-trans isomerase G, PPIase G, Peptidyl-prolyl isomerase G, CASP10, Clk-associating RS-cyclophilin, CARS-cyclophilin, SR-cyclophilin, SR-cyp, Cyclophilin G, Rotamase G, PPIG
Background: PPIases accelerate the folding of proteins. It catalyzes the cis-trans isomerization of proline imidic peptide bonds in oligopeptides. May be implicated in the folding, transport, and assembly of proteins. May play an important role in the regulation of pre-mRNA splicing.
-
基因ID
- 9360
-
UniProt
- Q13427
抗原
-