电话:
+86 (0512) 65829739
传真:
+86 (010) 6788 5057
电子邮件:
orders@antibodies-online.cn

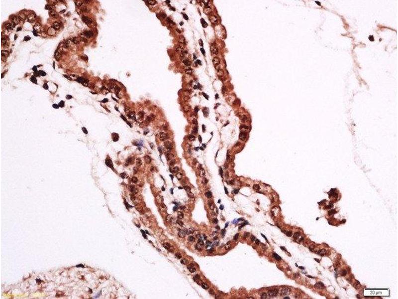
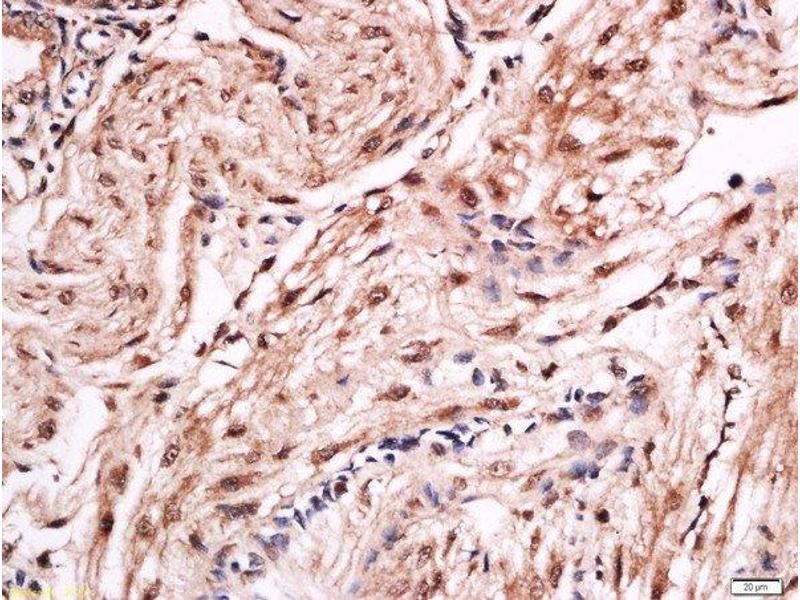
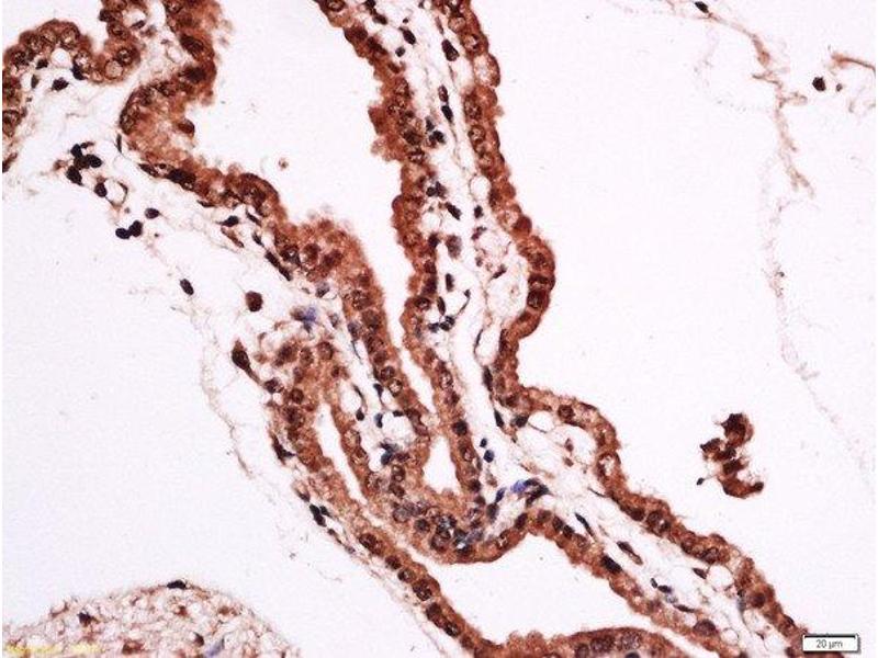
FOXF1 抗体 (AA 285-379)

The 兔 多克隆 anti-FOXF1 antibody (ABIN742410) specifically detects FOXF1 in ELISA, IHC (p), IF (cc), IF (p) 和 IHC (fro). The antibody is reactive with 大鼠 samples.
产品编号 ABIN742410
发货至: 中国
Contact our Customer Service for availability and price in your country. Contact Info

Our Local Distributor

中国
北京 101111
No. 88 KeChuang 6th Street
Beijing Economic Technological Development Area
Room 801-803
4A Biotech Co.,Ltd.
Tel +86 (0512) 65829739 传真 +86 (010) 6788 5057

Quick Overview for FOXF1 抗体 (AA 285-379) (ABIN742410)

抗原

See all FOXF1 抗体
FOXF1 (Forkhead Box F1 (FOXF1))

适用

  • 41
  • 27
  • 5
  • 4
  • 4
  • 4
  • 4
  • 3
  • 2
  • 1
  • 1
  • 1
大鼠

宿主

  • 43
  • 2
  • 1
  • 1

克隆类型

  • 34
  • 13
多克隆

标记

  • 25
  • 3
  • 2
  • 2
  • 2
  • 2
  • 2
  • 2
  • 2
  • 1
  • 1
  • 1
  • 1
  • 1
This FOXF1 antibody is un-conjugated

应用范围

  • 37
  • 15
  • 12
  • 11
  • 11
  • 8
  • 2
  • 2
ELISA, Immunohistochemistry (Paraffin-embedded Sections) (IHC (p)), Immunofluorescence (Cultured Cells) (IF (cc)), Immunofluorescence (Paraffin-embedded Sections) (IF (p)), Immunohistochemistry (Frozen Sections) (IHC (fro))
  • 抗原表位

    • 8
    • 4
    • 3
    • 2
    • 1
    • 1
    • 1
    • 1
    • 1
    • 1
    • 1
    • 1
    • 1
    • 1
    AA 285-379

    交叉反应

    大鼠

    预测反应

    Human,Mouse,Dog,Cow,Chicken,Rabbit

    纯化方法

    Purified by Protein A.

    免疫原

    KLH conjugated synthetic peptide derived from human FOXF1

    亚型

    IgG
  • 应用备注

    ELISA 1:500-1000
    IHC-P 1:200-400
    IHC-F 1:100-500
    IF(IHC-P) 1:50-200
    IF(IHC-F) 1:50-200
    IF(ICC) 1:50-200

    限制

    仅限研究用
  • 状态

    Liquid

    浓度

    1 μg/μL

    缓冲液

    0.01M TBS( pH 7.4) with 1 % BSA, 0.02 % Proclin300 and 50 % Glycerol.

    储存液

    ProClin

    注意事项

    This product contains ProClin: a POISONOUS AND HAZARDOUS SUBSTANCE, which should be handled by trained staff only.

    储存条件

    4 °C,-20 °C

    储存方法

    Shipped at 4°C. Store at -20°C for one year. Avoid repeated freeze/thaw cycles.

    有效期

    12 months
  • 抗原

    FOXF1 (Forkhead Box F1 (FOXF1))

    别名

    FOXF1

    背景

    Synonyms: AI450827, FKH L5, FKHL 5, FKHL5, FKHL5, Forkhead Drosophila like 5, forkhead Drosophila-like 5, forkhead Drosophila-like 5, forkhead box F1, forkhead box F1, Forkhead box protein F1, Forkhead drosophila homolog like 5, Forkhead like 5, Forkhead related activator 1, Forkhead related protein FKHL5, Forkhead related transcription factor 1, forkhead-related activator 1, forkhead-related activator 1, Forkhead-related protein FKHL5, Forkhead-related transcription factor 1, FOX F1, FOXF 1, foxf1, FOXF1_HUMAN, FREAC 1, FREAC-1, FREAC1, FREAC1, HFH 8, homolog-like 5, homolog-like 5, MGC105125.

    Background: This gene belongs to the forkhead family of transcription factors which is characterized by a distinct forkhead domain. The specific function of this gene has not yet been determined, however, it may play a role in the regulation of pulmonary genes as well as embryonic development.

    基因ID

    2294

    途径

    Regulation of Leukocyte Mediated Immunity, Regulation of Muscle Cell Differentiation, Positive Regulation of Immune Effector Process
You are here: