电话:
+86 (0512) 65829739
传真:
+86 (010) 6788 5057
电子邮件:
orders@antibodies-online.cn

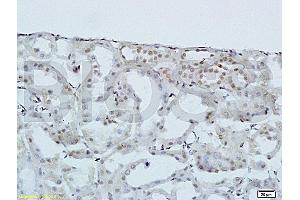
HOXA10 抗体 (AA 311-410)

The 兔 多克隆 anti-HOXA10 antibody (ABIN741195) specifically detects HOXA10 in WB, ELISA, FACS, IF (cc), IF (p), IHC (p) 和 IHC (fro). The antibody is reactive with 人, 小鼠 和 大鼠 samples.
产品编号 ABIN741195
发货至: 中国
Contact our Customer Service for availability and price in your country. Contact Info

Our Local Distributor

中国
北京 101111
No. 88 KeChuang 6th Street
Beijing Economic Technological Development Area
Room 801-803
4A Biotech Co.,Ltd.
Tel +86 (0512) 65829739 传真 +86 (010) 6788 5057

Quick Overview for HOXA10 抗体 (AA 311-410) (ABIN741195)

抗原

See all HOXA10 抗体
HOXA10 (Homeobox A10 (HOXA10))

适用

  • 43
  • 29
  • 19
  • 8
  • 6
  • 5
  • 5
  • 5
  • 3
  • 3
  • 2
  • 1
  • 1
  • 1
  • 1
人, 小鼠, 大鼠

宿主

  • 49
  • 2

克隆类型

  • 51
多克隆

标记

  • 19
  • 4
  • 3
  • 3
  • 3
  • 2
  • 1
  • 1
  • 1
  • 1
  • 1
  • 1
  • 1
  • 1
  • 1
  • 1
  • 1
  • 1
  • 1
  • 1
  • 1
  • 1
  • 1
This HOXA10 antibody is un-conjugated

应用范围

  • 43
  • 20
  • 13
  • 12
  • 12
  • 8
  • 5
  • 5
  • 3
  • 2
  • 1
Western Blotting (WB), ELISA, Flow Cytometry (FACS), Immunofluorescence (Cultured Cells) (IF (cc)), Immunofluorescence (Paraffin-embedded Sections) (IF (p)), Immunohistochemistry (Paraffin-embedded Sections) (IHC (p)), Immunohistochemistry (Frozen Sections) (IHC (fro))
  • 抗原表位

    • 15
    • 7
    • 6
    • 4
    • 3
    • 2
    • 2
    • 2
    • 1
    • 1
    • 1
    • 1
    • 1
    • 1
    AA 311-410

    交叉反应

    人, 小鼠, 大鼠

    预测反应

    Dog,Cow,Pig,Horse,Rabbit

    纯化方法

    Purified by Protein A.

    免疫原

    KLH conjugated synthetic peptide derived from human HOXA10

    亚型

    IgG
  • 应用备注

    WB 1:300-5000
    ELISA 1:500-1000
    FCM 1:20-100
    IHC-P 1:200-400
    IHC-F 1:100-500
    IF(IHC-P) 1:50-200
    IF(IHC-F) 1:50-200
    IF(ICC) 1:50-200

    限制

    仅限研究用
  • 状态

    Liquid

    浓度

    1 μg/μL

    缓冲液

    0.01M TBS( pH 7.4) with 1 % BSA, 0.02 % Proclin300 and 50 % Glycerol.

    储存液

    ProClin

    注意事项

    This product contains ProClin: a POISONOUS AND HAZARDOUS SUBSTANCE, which should be handled by trained staff only.

    储存条件

    4 °C,-20 °C

    储存方法

    Shipped at 4°C. Store at -20°C for one year. Avoid repeated freeze/thaw cycles.

    有效期

    12 months
  • 抗原

    HOXA10 (Homeobox A10 (HOXA10))

    别名

    HOXA10

    背景

    Synonyms: PL, HOX1, HOX1H, HOX1.8, Homeobox protein Hox-A10, Homeobox protein Hox-1.8, Homeobox protein Hox-1H, HOXA10

    Background: Sequence-specific transcription factor which is part of a developmental regulatory system that provides cells with specific positional identities on the anterior-posterior axis. Binds to the DNA sequence 5'-AA[AT]TTTTATTAC-3'.

    分子量

    42kDa

    基因ID

    3206

    UniProt

    P31260
You are here: