电话:
+86 (0512) 65829739
传真:
+86 (010) 6788 5057
电子邮件:
orders@antibodies-online.cn

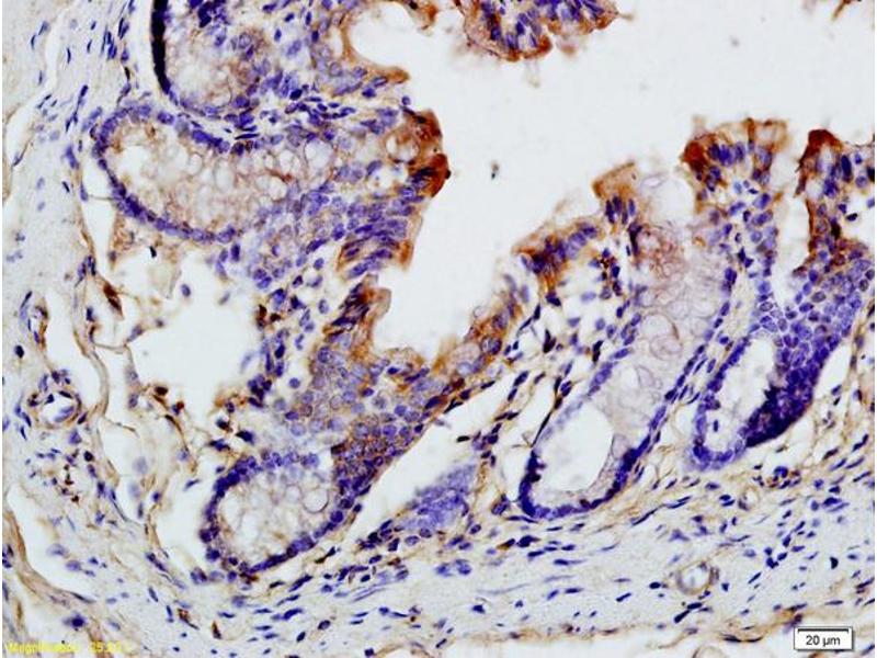
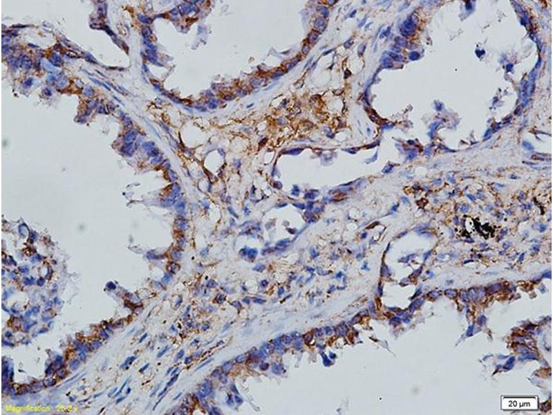
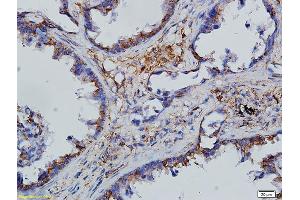
CCL19 抗体 (AA 26-108)

Cited in 1 publication. The 兔 多克隆 anti-CCL19 antibody (ABIN740505) specifically detects CCL19 in WB, ELISA, IF (cc), IF (p), IHC (p) 和 IHC (fro). The antibody is reactive with 人 和 大鼠 samples.
产品编号 ABIN740505
发货至: 中国
Contact our Customer Service for availability and price in your country. Contact Info

Our Local Distributor

中国
北京 101111
No. 88 KeChuang 6th Street
Beijing Economic Technological Development Area
Room 801-803
4A Biotech Co.,Ltd.
Tel +86 (0512) 65829739 传真 +86 (010) 6788 5057

Quick Overview for CCL19 抗体 (AA 26-108) (ABIN740505)

抗原

See all CCL19 抗体
CCL19 (Chemokine (C-C Motif) Ligand 19 (CCL19))

适用

  • 67
  • 20
  • 6
  • 4
人, 大鼠

宿主

  • 61
  • 15
  • 1

克隆类型

  • 50
  • 27
多克隆

标记

  • 33
  • 9
  • 3
  • 3
  • 2
  • 2
  • 2
  • 2
  • 2
  • 2
  • 2
  • 2
  • 1
  • 1
  • 1
  • 1
  • 1
  • 1
  • 1
  • 1
  • 1
  • 1
  • 1
  • 1
  • 1
This CCL19 antibody is un-conjugated

应用范围

  • 59
  • 27
  • 24
  • 12
  • 12
  • 11
  • 10
  • 8
  • 5
  • 4
  • 3
  • 3
  • 3
  • 2
  • 2
  • 1
Western Blotting (WB), ELISA, Immunofluorescence (Cultured Cells) (IF (cc)), Immunofluorescence (Paraffin-embedded Sections) (IF (p)), Immunohistochemistry (Paraffin-embedded Sections) (IHC (p)), Immunohistochemistry (Frozen Sections) (IHC (fro))
  • 抗原表位

    • 15
    • 6
    • 5
    • 1
    • 1
    • 1
    • 1
    • 1
    • 1
    • 1
    • 1
    • 1
    • 1
    AA 26-108

    交叉反应

    人, 大鼠

    预测反应

    Mouse,Pig

    纯化方法

    Purified by Protein A.

    免疫原

    KLH conjugated synthetic peptide derived from mouse CCL19

    亚型

    IgG
  • 应用备注

    WB 1:300-5000
    ELISA 1:500-1000
    IHC-P 1:200-400
    IHC-F 1:100-500
    IF(IHC-P) 1:50-200
    IF(IHC-F) 1:50-200
    IF(ICC) 1:50-200

    限制

    仅限研究用
  • 状态

    Liquid

    浓度

    1 μg/μL

    缓冲液

    0.01M TBS( pH 7.4) with 1 % BSA, 0.02 % Proclin300 and 50 % Glycerol.

    储存液

    ProClin

    注意事项

    This product contains ProClin: a POISONOUS AND HAZARDOUS SUBSTANCE, which should be handled by trained staff only.

    储存条件

    4 °C,-20 °C

    储存方法

    Shipped at 4°C. Store at -20°C for one year. Avoid repeated freeze/thaw cycles.

    有效期

    12 months
  • Borrelli, Abrão, Taube, Darb-Esfahani, Köhler, Kaufmann, Chiantera, Mechsner: "Immunohistochemical Investigation of Metastasis-Related Chemokines in Deep-Infiltrating Endometriosis and Compromised Pelvic Sentinel Lymph Nodes." in: Reproductive sciences (Thousand Oaks, Calif.), (2015) (PubMed).

  • 抗原

    CCL19 (Chemokine (C-C Motif) Ligand 19 (CCL19))

    别名

    CCL19/MIP-3 beta

    背景

    Synonyms: ELC, CKb11, MIP3B, Scya19, exodus-3, C-C motif chemokine 19, Epstein-Barr virus-induced molecule 1 ligand chemokine, EBI1 ligand chemokine, Small-inducible cytokine A19, Ccl19

    Background: Strongly chemotactic for naive (L-selectinhi) CD4 T-cells and for CD8 T-cells and weakly attractive for resting B-cells and memory (L-selectinlo) CD4 T-cells. May play a role in promoting encounters between recirculating T-cells and dendritic cells and in the migration of activated B-cells into the T-zone of secondary lymphoid tissues. Binds to chemokine receptor CCR7. Binds to atypical chemokine receptor ACKR4 and mediates the recruitment of beta-arrestin (ARRB1/2) to ACKR4.

    基因ID

    24047

    UniProt

    O70460

    途径

    Positive Regulation of Immune Effector Process
You are here: