Recombinant SDHA 抗体 (N-Term)
Our Local Distributor
北京 101111
Quick Overview for Recombinant SDHA 抗体 (N-Term) (ABIN7826142)
抗原
See all SDHA 抗体抗体类型
适用
宿主
克隆类型
标记
应用范围
克隆位点
-
-
抗原表位
- N-Term
-
原理
- SDHA antibody (HMV336)
-
免疫原
- Recombinant protein encompassing a sequence within the N- terminus region of human SDHA. The exact sequence is proprietary.
-
亚型
- IgG
-
-
-
-
应用备注
- IHC 1:100-1:200
-
说明
-
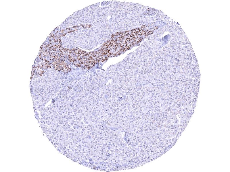
Positive Control: Appendix: A strong SDHA staining should be seen in epithelial cells and a weak to moderate staining should occur in lymphocytic cells.
Product Description/Background: SDHA antibody validated for immunohistochemistry on 76 different Normal Tissues
Negative Control: SDHA staining should be absent in all cells of a tumor with known SDHA expression loss.
-
实验流程
- Freshly cut sections should be used (less than 10 days between cutting and staining). Heat-induced antigen retrieval for 5 minutes in an autoclave at 121 °C in pH 7,8 Target Retrieval Solution buffer. Apply the antibody at a dilution of 1:150 at 37 °C for 60 minutes.
-
限制
- 仅限研究用
-
-
-
状态
- Liquid
-
储存条件
- 4 °C,-20 °C,-80 °C
-
储存方法
- Antibody with azide - store at 2 to 8 C. Antibody without azide - store at -20 to -80 C. Antibody is stable for 24 months. Non- hazardous. No MSD required.
-
有效期
- 24 months
-
-
- SDHA (Succinate Dehydrogenase Complex, Subunit A, Flavoprotein (Fp) (SDHA))
-
别名
- SDHA
-
背景
- Gene Alias: Succinate dehydrogenase complex flavoprotein subunit A , CMD1GG , FP , PGL5 , SDH1 , SDH2 , SDHF
-
UniProt
- P31040
抗原
-