NKp44/NCR2 抗体 (AA 201-276)
Our Local Distributor
北京 101111
Quick Overview for NKp44/NCR2 抗体 (AA 201-276) (ABIN740010)
抗原
See all NKp44/NCR2 (NCR2) 抗体适用
宿主
克隆类型
标记
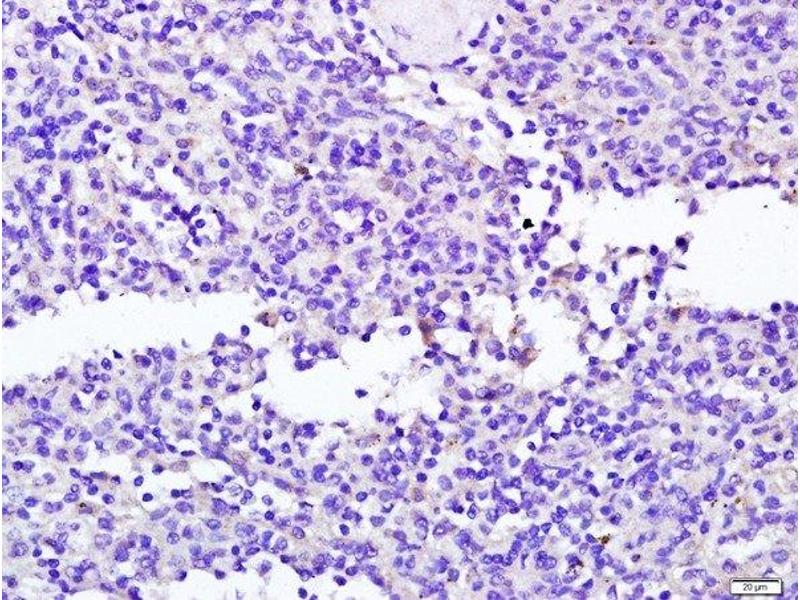
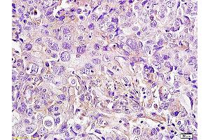
应用范围
-
-
抗原表位
- AA 201-276
-
交叉反应
- 人
-
纯化方法
- Purified by Protein A.
-
免疫原
- KLH conjugated synthetic peptide derived from human CD336/NCR2
-
亚型
- IgG
-
-
-
-
应用备注
-
ELISA 1:500-1000
IHC-P 1:200-400
IHC-F 1:100-500
IF(IHC-P) 1:50-200
IF(IHC-F) 1:50-200
IF(ICC) 1:50-200 -
限制
- 仅限研究用
-
-
-
状态
- Liquid
-
浓度
- 1 μg/μL
-
缓冲液
- 0.01M TBS( pH 7.4) with 1 % BSA, 0.02 % Proclin300 and 50 % Glycerol.
-
储存液
- ProClin
-
注意事项
- This product contains ProClin: a POISONOUS AND HAZARDOUS SUBSTANCE, which should be handled by trained staff only.
-
储存条件
- 4 °C,-20 °C
-
储存方法
- Shipped at 4°C. Store at -20°C for one year. Avoid repeated freeze/thaw cycles.
-
有效期
- 12 months
-
-
- NKp44/NCR2 (NCR2) (Natural Cytotoxicity Triggering Receptor 2 (NCR2))
-
别名
- NCR2
-
背景
-
Synonyms: LY95, CD336, NKP44, NK-p44, dJ149M18.1, Natural cytotoxicity triggering receptor 2, Lymphocyte antigen 95 homolog, NK cell-activating receptor, Natural killer cell p44-related protein, NCR2
Background: Cytotoxicity-activating receptor that may contribute to the increased efficiency of activated natural killer (NK) cells to mediate tumor cell lysis.
-
基因ID
- 9436
-
UniProt
- O95944
抗原
-