电话:
+86 (0512) 65829739
传真:
+86 (010) 6788 5057
电子邮件:
orders@antibodies-online.cn

RUNX3 抗体

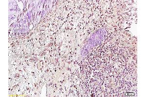
There is 1 publication for this product available. The 兔 多克隆 anti-RUNX3 antibody is suitable to detect RUNX3 in samples from 人, 小鼠, 大鼠, 小鸡, Cow 和 犬. It has been validated for WB, IF (p) 和 IHC (p).
产品编号 ABIN739370
发货至: 中国
Contact our Customer Service for availability and price in your country. Contact Info

Our Local Distributor

中国
北京 101111
No. 88 KeChuang 6th Street
Beijing Economic Technological Development Area
Room 801-803
4A Biotech Co.,Ltd.
Tel +86 (0512) 65829739 传真 +86 (010) 6788 5057

Quick Overview for RUNX3 抗体 (ABIN739370)

抗原

See all RUNX3 抗体
RUNX3 (Runt-Related Transcription Factor 3 (RUNX3))

适用

  • 100
  • 32
  • 23
  • 15
  • 13
  • 12
  • 2
  • 2
  • 1
人, 小鼠, 大鼠, 小鸡, Cow, 犬

宿主

  • 87
  • 15

克隆类型

  • 89
  • 13
多克隆

标记

  • 40
  • 8
  • 7
  • 5
  • 3
  • 3
  • 3
  • 3
  • 3
  • 3
  • 3
  • 3
  • 3
  • 3
  • 2
  • 2
  • 2
  • 1
  • 1
  • 1
  • 1
  • 1
  • 1
This RUNX3 antibody is un-conjugated

应用范围

  • 87
  • 36
  • 35
  • 26
  • 24
  • 21
  • 12
  • 11
  • 10
  • 8
  • 6
  • 2
  • 2
  • 1
Western Blotting (WB), Immunofluorescence (Paraffin-embedded Sections) (IF (p)), Immunohistochemistry (Paraffin-embedded Sections) (IHC (p))
  • 交叉反应

    小鸡, Cow, 犬, 人, 小鼠, 大鼠

    纯化方法

    Purified by Protein A.

    免疫原

    KLH conjugated synthetic peptide derived from human Runx3

    亚型

    IgG
  • 应用备注

    WB(1:100-500)
    Optimal working dilution should be determined by the investigator.

    限制

    仅限研究用
  • 状态

    Liquid

    浓度

    1 μg/μL

    缓冲液

    Aqueous buffered solution containing 1 % BSA, 50 % glycerol and 0.09 % sodium azide.

    储存液

    Sodium azide

    注意事项

    This product contains sodium azide: a POISONOUS AND HAZARDOUS SUBSTANCE which should be handled by trained staff only.

    储存条件

    -20 °C

    储存方法

    Store at -20°C for 12 months.

    有效期

    12 months
  • He, Ge, Zhu, Chen, Tan, Li, Gu: "Expression of RUNX3 in salivary adenoid cystic carcinoma: implications for tumor progression and prognosis." in: Cancer science, Vol. 99, Issue 7, pp. 1334-40, (2008) (PubMed).

  • 抗原

    RUNX3 (Runt-Related Transcription Factor 3 (RUNX3))

    别名

    Runx3

    背景

    Synonyms: RUNX 3, RUNX-3, Runt-related transcription factor 3, Core-binding factor, alpha 3 subunit, CBF-alpha 3, Acute myeloid leukemia 2 protein, OncogeneAML-2, Polyomavirus enhancer-binding protein 2 alpha C subunit, PEBP2-alpha C, PEA2-alpha C, SL3-3 enhancer factor 1 alpha C subunit, SL3/AKV core-binding factor alpha C subunit, Core-binding factor, alpha 3 subunit, CBF-alpha 3, Acute myeloid leukemia 2 protein, Oncogene AML-2, Polyomavirus enhancer-binding protein 2 alpha C subunit, PEBP2-alpha C, PEA2-alpha C, SL3-3 enhancer factor 1 alpha C subunit, RUNX3_HUMAN, SL3/AKV core-binding factor alpha C subunit.

    Background: RUNX3 binds to the core site of murine Leukemia virus, the core sequences in the enhancer of the polyomavirus, and also to the enhancers of the T-cell receptor genes. May be involved in the control of cellular proliferation and/or differentiation (By similarity). Heterodimer of an alpha and a beta subunit. The alpha subunit binds DNA as a monomer and through the Runt domain.DNA-binding is increased by heterodimerization. Interacts with TLE1 and SUV39H1, Subcellular location in Nucleus.

    分子量

    44kDa

    基因ID

    864
You are here: