电话:
+86 (0512) 65829739
传真:
+86 (010) 6788 5057
电子邮件:
orders@antibodies-online.cn

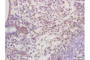
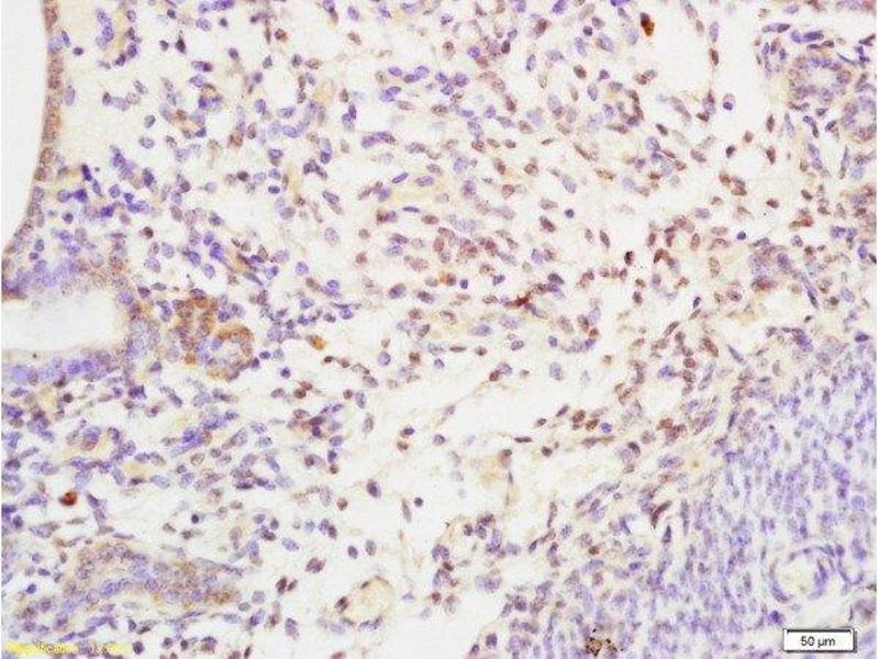
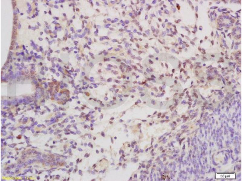
SHBG 抗体 (AA 301-402)

The 兔 多克隆 anti-SHBG antibody (ABIN738771) specifically detects SHBG in WB, ELISA, IF (cc), IF (p), IHC (p) 和 IHC (fro). The antibody is reactive with 大鼠 和 小鼠 samples.
产品编号 ABIN738771
发货至: 中国
Contact our Customer Service for availability and price in your country. Contact Info

Our Local Distributor

中国
北京 101111
No. 88 KeChuang 6th Street
Beijing Economic Technological Development Area
Room 801-803
4A Biotech Co.,Ltd.
Tel +86 (0512) 65829739 传真 +86 (010) 6788 5057

Quick Overview for SHBG 抗体 (AA 301-402) (ABIN738771)

抗原

See all SHBG 抗体
SHBG (Sex Hormone Binding Globulin (SHBG))

适用

  • 64
  • 45
  • 43
  • 17
  • 2
  • 1
  • 1
  • 1
大鼠, 小鼠

宿主

  • 80
  • 36

克隆类型

  • 81
  • 35
多克隆

标记

  • 49
  • 14
  • 9
  • 6
  • 2
  • 2
  • 2
  • 2
  • 2
  • 2
  • 2
  • 2
  • 2
  • 2
  • 2
  • 2
  • 1
  • 1
  • 1
  • 1
  • 1
  • 1
  • 1
  • 1
  • 1
  • 1
  • 1
  • 1
  • 1
  • 1
This SHBG antibody is un-conjugated

应用范围

  • 86
  • 30
  • 29
  • 25
  • 25
  • 23
  • 19
  • 16
  • 11
  • 11
  • 6
  • 5
  • 4
  • 3
  • 2
  • 2
  • 1
  • 1
  • 1
Western Blotting (WB), ELISA, Immunofluorescence (Cultured Cells) (IF (cc)), Immunofluorescence (Paraffin-embedded Sections) (IF (p)), Immunohistochemistry (Paraffin-embedded Sections) (IHC (p)), Immunohistochemistry (Frozen Sections) (IHC (fro))
  • 抗原表位

    • 16
    • 14
    • 8
    • 7
    • 5
    • 5
    • 5
    • 4
    • 3
    • 2
    • 2
    • 1
    • 1
    • 1
    • 1
    • 1
    • 1
    • 1
    • 1
    • 1
    • 1
    AA 301-402

    特异性

    This antibody will not recognize Isoform 2 or 4 of SHBG.

    交叉反应

    小鼠, 大鼠

    预测反应

    Human,Dog,Cow,Rabbit

    纯化方法

    Purified by Protein A.

    免疫原

    KLH conjugated synthetic peptide derived from human SHBG

    亚型

    IgG
  • 应用备注

    WB 1:300-5000
    ELISA 1:500-1000
    IHC-P 1:200-400
    IHC-F 1:100-500
    IF(IHC-P) 1:50-200
    IF(IHC-F) 1:50-200
    IF(ICC) 1:50-200

    限制

    仅限研究用
  • 状态

    Liquid

    浓度

    1 μg/μL

    缓冲液

    0.01M TBS( pH 7.4) with 1 % BSA, 0.02 % Proclin300 and 50 % Glycerol.

    储存液

    ProClin

    注意事项

    This product contains ProClin: a POISONOUS AND HAZARDOUS SUBSTANCE, which should be handled by trained staff only.

    储存条件

    4 °C,-20 °C

    储存方法

    Shipped at 4°C. Store at -20°C for one year. Avoid repeated freeze/thaw cycles.

    有效期

    12 months
  • 抗原

    SHBG (Sex Hormone Binding Globulin (SHBG))

    别名

    SHBG

    背景

    Synonyms: ABP, SBP, TEBG, Sex hormone-binding globulin, SHBG, Sex steroid-binding protein, Testis-specific androgen-binding protein, Testosterone-estradiol-binding globulin, Testosterone-estrogen-binding globulin

    Background: Functions as an androgen transport protein, but may also be involved in receptor mediated processes. Each dimer binds one molecule of steroid. Specific for 5-alpha-dihydrotestosterone, testosterone, and 17-beta-estradiol. Regulates the plasma metabolic clearance rate of steroid hormones by controlling their plasma concentration.

    基因ID

    6462

    UniProt

    P04278

    途径

    Hormone Transport
You are here: