电话:
+86 (0512) 65829739
传真:
+86 (010) 6788 5057
电子邮件:
orders@antibodies-online.cn

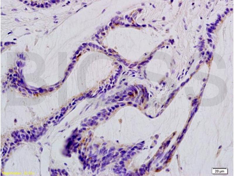
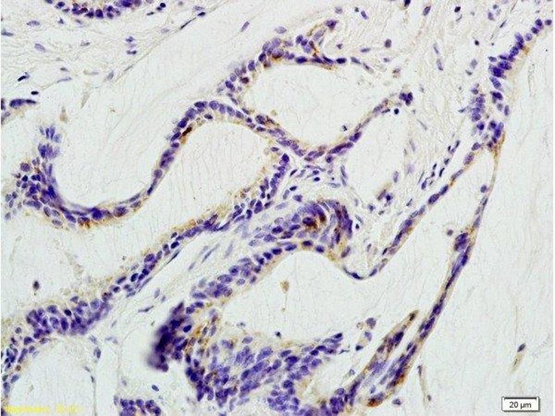
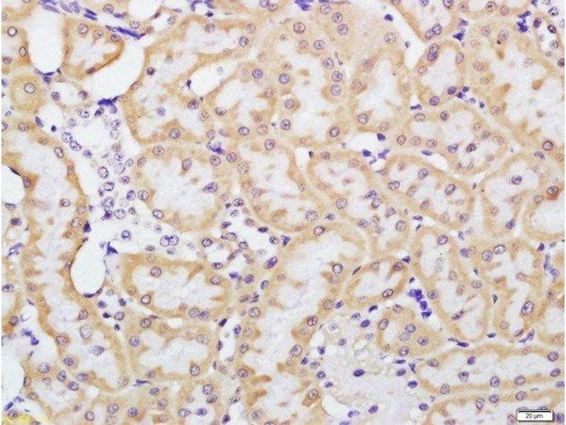
beta Defensin 1 抗体 (AA 33-68)

The 兔 多克隆 anti-beta Defensin 1 antibody (ABIN738591) specifically detects beta Defensin 1 in ELISA, IF (cc), IF (p), IHC (p) 和 IHC (fro). The antibody is reactive with 人 和 大鼠 samples.
产品编号 ABIN738591
发货至: 中国
Contact our Customer Service for availability and price in your country. Contact Info

Our Local Distributor

中国
北京 101111
No. 88 KeChuang 6th Street
Beijing Economic Technological Development Area
Room 801-803
4A Biotech Co.,Ltd.
Tel +86 (0512) 65829739 传真 +86 (010) 6788 5057

Quick Overview for beta Defensin 1 抗体 (AA 33-68) (ABIN738591)

抗原

See all beta Defensin 1 (DEFB1) 抗体
beta Defensin 1 (DEFB1) (Defensin, beta 1 (DEFB1))

适用

  • 48
  • 23
  • 9
  • 7
  • 5
人, 大鼠

宿主

  • 64
  • 11
  • 2
  • 1

克隆类型

  • 64
  • 14
多克隆

标记

  • 38
  • 13
  • 4
  • 4
  • 2
  • 1
  • 1
  • 1
  • 1
  • 1
  • 1
  • 1
  • 1
  • 1
  • 1
  • 1
  • 1
  • 1
  • 1
  • 1
  • 1
  • 1
This beta Defensin 1 antibody is un-conjugated

应用范围

  • 51
  • 29
  • 23
  • 17
  • 17
  • 12
  • 12
  • 7
  • 4
  • 3
  • 2
  • 2
  • 1
  • 1
  • 1
ELISA, Immunofluorescence (Cultured Cells) (IF (cc)), Immunofluorescence (Paraffin-embedded Sections) (IF (p)), Immunohistochemistry (Paraffin-embedded Sections) (IHC (p)), Immunohistochemistry (Frozen Sections) (IHC (fro))
  • 抗原表位

    • 15
    • 7
    • 6
    • 3
    • 3
    • 3
    • 2
    • 2
    • 1
    • 1
    • 1
    • 1
    • 1
    • 1
    AA 33-68

    交叉反应

    人, 大鼠

    预测反应

    Mouse

    纯化方法

    Purified by Protein A.

    免疫原

    KLH conjugated synthetic peptide derived from rat Defensin Beta 1

    亚型

    IgG
  • 应用备注

    ELISA 1:500-1000
    IHC-P 1:200-400
    IHC-F 1:100-500
    IF(IHC-P) 1:50-200
    IF(IHC-F) 1:50-200
    IF(ICC) 1:50-200

    限制

    仅限研究用
  • 状态

    Liquid

    浓度

    1 μg/μL

    缓冲液

    0.01M TBS( pH 7.4) with 1 % BSA, 0.02 % Proclin300 and 50 % Glycerol.

    储存液

    ProClin

    注意事项

    This product contains ProClin: a POISONOUS AND HAZARDOUS SUBSTANCE, which should be handled by trained staff only.

    储存条件

    4 °C,-20 °C

    储存方法

    Shipped at 4°C. Store at -20°C for one year. Avoid repeated freeze/thaw cycles.

    有效期

    12 months
  • 抗原

    beta Defensin 1 (DEFB1) (Defensin, beta 1 (DEFB1))

    别名

    beta Defensin 1

    背景

    Synonyms: Beta-defensin 1, BD-1, rBD-1, Defensin, beta 1, Defb1

    Background: Defensins form a family of microbicidal and cytotoxic peptides made by neutrophils. Members of the defensin family are highly similar in protein sequence. This gene encodes defensin, beta 1, an antimicrobial peptide implicated in the resistance of epithelial surfaces to microbial colonization. This gene maps in close proximity to defensin family member, defensin, alpha 1 and has been implicated in the pathogenesis of cystic fibrosis. The mature form of Beta defensin 1 is 36 amino acids.

    基因ID

    83687

    UniProt

    O89117
You are here: