电话:
+86 (0512) 65829739
传真:
+86 (010) 6788 5057
电子邮件:
orders@antibodies-online.cn

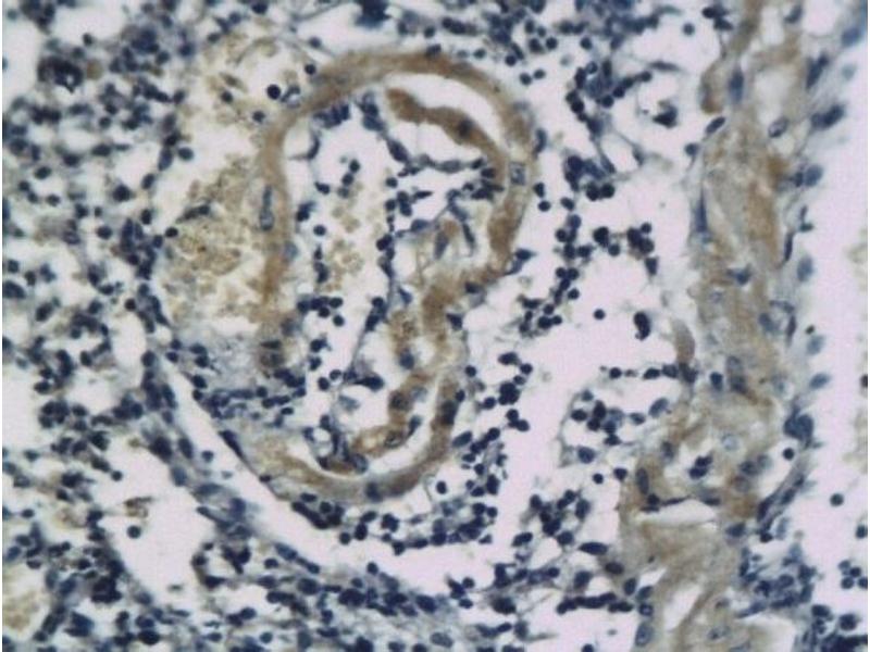
SSTR2 抗体 (AA 211-320)

Cited in 2+ publications. The 兔 多克隆 anti-SSTR2 antibody (ABIN738216) specifically detects SSTR2 in WB, ELISA 和 IHC (p). The antibody is reactive with 人 和 小鼠 samples.
产品编号 ABIN738216
发货至: 中国
Contact our Customer Service for availability and price in your country. Contact Info

Our Local Distributor

中国
北京 101111
No. 88 KeChuang 6th Street
Beijing Economic Technological Development Area
Room 801-803
4A Biotech Co.,Ltd.
Tel +86 (0512) 65829739 传真 +86 (010) 6788 5057

Quick Overview for SSTR2 抗体 (AA 211-320) (ABIN738216)

抗原

See all SSTR2 抗体
SSTR2 (Somatostatin Receptor 2 (SSTR2))

适用

  • 58
  • 35
  • 33
  • 8
  • 7
  • 7
  • 6
  • 6
  • 5
  • 5
  • 4
  • 4
  • 3
  • 3
  • 1
  • 1
人, 小鼠

宿主

  • 52
  • 7
  • 4

克隆类型

  • 39
  • 20
  • 2
多克隆

标记

  • 39
  • 4
  • 3
  • 2
  • 2
  • 2
  • 2
  • 2
  • 2
  • 1
  • 1
  • 1
This SSTR2 antibody is un-conjugated

应用范围

  • 29
  • 26
  • 17
  • 11
  • 11
  • 7
  • 6
  • 3
  • 2
  • 2
  • 1
  • 1
  • 1
Western Blotting (WB), ELISA, Immunohistochemistry (Paraffin-embedded Sections) (IHC (p))
  • 抗原表位

    • 7
    • 6
    • 2
    • 2
    • 2
    • 2
    • 2
    • 1
    • 1
    • 1
    • 1
    • 1
    • 1
    • 1
    • 1
    • 1
    • 1
    • 1
    • 1
    AA 211-320

    交叉反应

    人, 小鼠

    预测反应

    Rat,Dog,Cow,Pig,Horse,Chicken,Rabbit,Guinea Pig

    纯化方法

    Purified by Protein A.

    免疫原

    KLH conjugated synthetic peptide derived from human SSTR2

    亚型

    IgG
  • 应用备注

    WB 1:300-5000
    ELISA 1:500-1000
    IHC-P 1:200-400

    限制

    仅限研究用
  • 状态

    Liquid

    浓度

    1 μg/μL

    缓冲液

    0.01M TBS( pH 7.4) with 1 % BSA, 0.02 % Proclin300 and 50 % Glycerol.

    储存液

    ProClin

    注意事项

    This product contains ProClin: a POISONOUS AND HAZARDOUS SUBSTANCE, which should be handled by trained staff only.

    储存条件

    4 °C,-20 °C

    储存方法

    Shipped at 4°C. Store at -20°C for one year. Avoid repeated freeze/thaw cycles.

    有效期

    12 months
  • Sakai, Yonezawa, Yamawaki, Oyamada: "Alteration of somatostatin receptor 2 expression in canine mammary gland tumor." in: The Journal of veterinary medical science / the Japanese Society of Veterinary Science, (2015) (PubMed).

    Ruan, Yu, Xu, Zhang, Long, Shen: "Attenuation of stress-induced gastrointestinal motility disorder by gentiopicroside, from Gentiana macrophylla Pall." in: Fitoterapia, Vol. 103, pp. 265-76, (2015) (PubMed).

  • 抗原

    SSTR2 (Somatostatin Receptor 2 (SSTR2))

    别名

    SSTR2/Somatostatin Receptor 2

    背景

    Synonyms: Somatostatin receptor type 2, SS-2-R, SS2-R, SS2R, SRIF-1, SSTR2

    Background: Receptor for somatostatin-14 and -28. This receptor is coupled via pertussis toxin sensitive G proteins to inhibition of adenylyl cyclase. In addition it stimulates phosphotyrosine phosphatase and PLC via pertussis toxin insensitive as well as sensitive G proteins. Inhibits calcium entry by suppressing voltage-dependent calcium channels. Acts as the functionally dominant somatostatin receptor in pancreatic alpha- and beta-cells where it mediates the inhibitory effect of somatostatin-14 on hormone secretion. Inhibits cell growth through enhancement of MAPK1 and MAPK2 phosphorylation and subsequent up-regulation of CDKN1B. Stimulates neuronal migration and axon outgrowth and may participate in neuron development and maturation during brain development. Mediates negative regulation of insulin receptor signaling through PTPN6. Inactivates SSTR3 receptor function following heterodimerization.

    基因ID

    6752

    UniProt

    P30874
You are here: