电话:
+86 (0512) 65829739
传真:
+86 (010) 6788 5057
电子邮件:
orders@antibodies-online.cn

Recombinant UBE2F 抗体

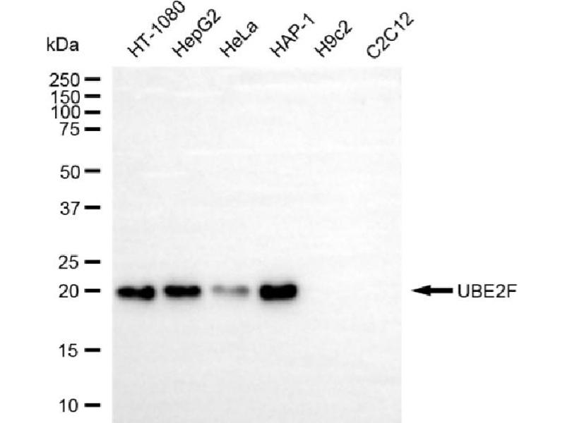
The 兔 单克隆 anti-UBE2F antibody (Clone 25GB940) (ABIN7800745) specifically detects UBE2F in WB 和 FACS. The antibody is reactive with 人 samples.
产品编号 ABIN7800745
发货至: 中国
Contact our Customer Service for availability and price in your country. Contact Info

Our Local Distributor

中国
北京 101111
No. 88 KeChuang 6th Street
Beijing Economic Technological Development Area
Room 801-803
4A Biotech Co.,Ltd.
Tel +86 (0512) 65829739 传真 +86 (010) 6788 5057

Quick Overview for Recombinant UBE2F 抗体 (ABIN7800745)

抗原

See all UBE2F 抗体
UBE2F (Ubiquitin-Conjugating Enzyme E2F (UBE2F))

抗体类型

Recombinant Antibody

适用

  • 30
  • 16
  • 15
  • 4
  • 4
  • 4
  • 3
  • 3
  • 2
  • 2
  • 2
  • 2
  • 1
  • 1
  • 1

宿主

  • 29
  • 2

克隆类型

  • 21
  • 10
单克隆

标记

  • 15
  • 2
  • 2
  • 2
  • 2
  • 2
  • 2
  • 2
  • 1
  • 1
This UBE2F antibody is un-conjugated

应用范围

  • 21
  • 17
  • 10
  • 7
  • 5
  • 1
  • 1
  • 1
  • 1
  • 1
Western Blotting (WB), Flow Cytometry (FACS)

质量等级

KD Validated

克隆位点

25GB940
  • Expression System

    HEK-293 Cells

    原理

    KD-Validated UBE2F Recombinant Rabbit mAb

    纯化方法

    Affinity Purified

    免疫原

    Recombinant protein of human UBE2F

    亚型

    IgG
  • 应用备注

    Western Blotting (WB): 1:1,000-1:5,000, Flow Cytometry (FCM): 1:200-1:2,000

    说明

    We assess the antibodies’ specificity and selectivity using knockdown techniques. Our validation approach is straightforward: if an antibody identifies a signal in wild-type (WT) cells, but this signal is absent or noticeably reduced in gene-silenced (KD) cells, we consider the antibody to be highly specific.

    限制

    仅限研究用
  • 状态

    Liquid

    缓冲液

    PBS (pH 7.4) containing 50% glycerol and 0.02% sodium azide.

    储存液

    Sodium azide

    注意事项

    This product contains Sodium azide: a POISONOUS AND HAZARDOUS SUBSTANCE which should be handled by trained staff only.

    储存条件

    -20 °C

    储存方法

    Store at -20 °C for one year.

    有效期

    12 months
  • 抗原

    UBE2F (Ubiquitin-Conjugating Enzyme E2F (UBE2F))

    别名

    UBE2F

    分子量

    21 kDa

    基因ID

    140739

    UniProt

    Q969M7
You are here: