电话:
+86 (0512) 65829739
传真:
+86 (010) 6788 5057
电子邮件:
orders@antibodies-online.cn

Recombinant TUBA1B 抗体

This 兔 单克隆 antibody specifically detects TUBA1B in WB 和 FACS. It exhibits reactivity toward 人.
产品编号 ABIN7800662
发货至: 中国
Contact our Customer Service for availability and price in your country. Contact Info

Our Local Distributor

中国
北京 101111
No. 88 KeChuang 6th Street
Beijing Economic Technological Development Area
Room 801-803
4A Biotech Co.,Ltd.
Tel +86 (0512) 65829739 传真 +86 (010) 6788 5057

Quick Overview for Recombinant TUBA1B 抗体 (ABIN7800662)

抗原

See all TUBA1B 抗体
TUBA1B (Tubulin, alpha 1B (TUBA1B))

抗体类型

Recombinant Antibody

适用

  • 59
  • 29
  • 27
  • 5
  • 5
  • 4
  • 4
  • 4
  • 1
  • 1
  • 1
  • 1
  • 1

宿主

  • 45
  • 18
  • 1

克隆类型

  • 44
  • 20
单克隆

标记

  • 30
  • 5
  • 5
  • 5
  • 1
  • 1
  • 1
  • 1
  • 1
  • 1
  • 1
  • 1
  • 1
  • 1
  • 1
  • 1
  • 1
  • 1
  • 1
  • 1
  • 1
  • 1
  • 1
This TUBA1B antibody is un-conjugated

应用范围

  • 53
  • 26
  • 24
  • 16
  • 13
  • 13
  • 7
  • 6
  • 5
  • 4
  • 4
  • 3
  • 2
  • 2
  • 1
  • 1
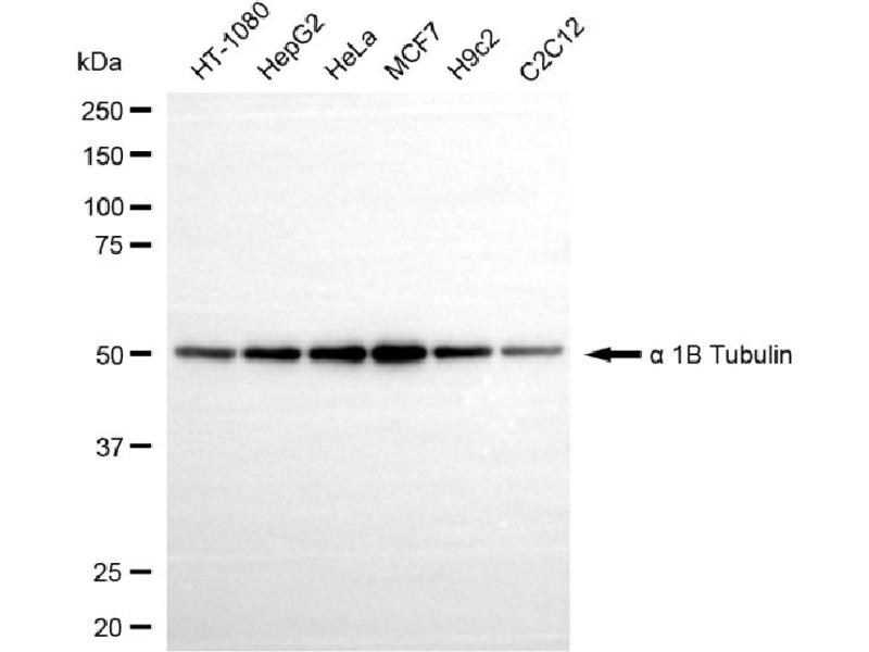
Western Blotting (WB), Flow Cytometry (FACS)

克隆位点

25GB1750
  • Expression System

    HEK-293 Cells

    原理

    TUBA1B Recombinant Rabbit mAb

    交叉反应

    小鼠, 大鼠

    纯化方法

    Affinity Purified

    免疫原

    A synthesized peptide derived from human alpha 1B Tubulin

    亚型

    IgG
  • 应用备注

    Western Blotting (WB): 1:1,000-1:5,000, Flow Cytometry (FCM): 1:200-1:2,000

    限制

    仅限研究用
  • 状态

    Liquid

    缓冲液

    PBS (pH 7.4) containing 50% glycerol and 0.02% sodium azide.

    储存液

    Sodium azide

    注意事项

    This product contains Sodium azide: a POISONOUS AND HAZARDOUS SUBSTANCE which should be handled by trained staff only.

    储存条件

    -20 °C

    储存方法

    Store at -20 °C for one year.

    有效期

    12 months
  • 抗原

    TUBA1B (Tubulin, alpha 1B (TUBA1B))

    别名

    TUBA1B

    分子量

    50 kDa

    基因ID

    10376

    UniProt

    P68363

    途径

    Microtubule Dynamics, M Phase
You are here: