电话:
+86 (0512) 65829739
传真:
+86 (010) 6788 5057
电子邮件:
orders@antibodies-online.cn

SPG7 抗体

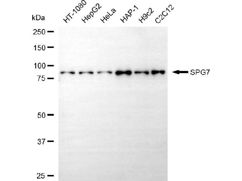
The 小鼠 单克隆 anti-SPG7 antibody is suitable to detect SPG7 in samples from 人. It has been validated for WB 和 FACS.
产品编号 ABIN7800417
发货至: 中国
Contact our Customer Service for availability and price in your country. Contact Info

Our Local Distributor

中国
北京 101111
No. 88 KeChuang 6th Street
Beijing Economic Technological Development Area
Room 801-803
4A Biotech Co.,Ltd.
Tel +86 (0512) 65829739 传真 +86 (010) 6788 5057

Quick Overview for SPG7 抗体 (ABIN7800417)

抗原

See all SPG7 抗体
SPG7 (Spastic Paraplegia 7 (SPG7))

适用

  • 27
  • 5
  • 3
  • 3
  • 1
  • 1

宿主

  • 20
  • 10
小鼠

克隆类型

  • 22
  • 8
单克隆

标记

  • 25
  • 1
  • 1
  • 1
  • 1
  • 1
This SPG7 antibody is un-conjugated

应用范围

  • 28
  • 12
  • 11
  • 5
  • 4
  • 3
  • 3
  • 3
  • 1
  • 1
  • 1
Western Blotting (WB), Flow Cytometry (FACS)

克隆位点

25GB5505
You are here: