电话:
+86 (0512) 65829739
传真:
+86 (010) 6788 5057
电子邮件:
orders@antibodies-online.cn

Recombinant SEH1L 抗体

This 兔 单克隆 antibody specifically detects SEH1L in WB 和 FACS. It exhibits reactivity toward 小鼠.
产品编号 ABIN7800290
发货至: 中国
Contact our Customer Service for availability and price in your country. Contact Info

Our Local Distributor

中国
北京 101111
No. 88 KeChuang 6th Street
Beijing Economic Technological Development Area
Room 801-803
4A Biotech Co.,Ltd.
Tel +86 (0512) 65829739 传真 +86 (010) 6788 5057

Quick Overview for Recombinant SEH1L 抗体 (ABIN7800290)

抗原

See all SEH1L 抗体
SEH1L (SEH1-Like (SEH1L))

抗体类型

Recombinant Antibody

适用

  • 26
  • 26
  • 24
  • 15
  • 15
  • 15
  • 15
  • 15
  • 1
小鼠

宿主

  • 28

克隆类型

  • 18
  • 10
单克隆

标记

  • 5
  • 2
  • 1
  • 1
  • 1
  • 1
  • 1
  • 1
  • 1
  • 1
  • 1
  • 1
  • 1
  • 1
  • 1
  • 1
  • 1
  • 1
  • 1
  • 1
  • 1
  • 1
  • 1
This SEH1L antibody is un-conjugated

应用范围

  • 13
  • 13
  • 12
  • 10
  • 3
  • 3
  • 3
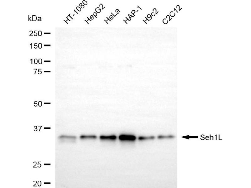
Western Blotting (WB), Flow Cytometry (FACS)

质量等级

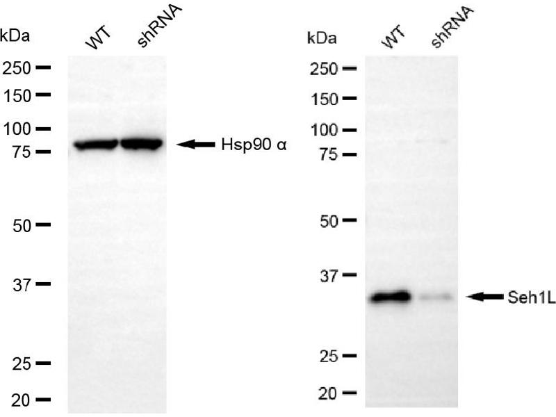
KD Validated

克隆位点

25GB4465
  • Expression System

    HEK-293 Cells

    原理

    KD-Validated SEH1L Recombinant Rabbit mAb

    交叉反应

    人, 大鼠

    纯化方法

    Affinity Purified

    免疫原

    A synthesized peptide derived from mouse SEH1L

    亚型

    IgG
  • 应用备注

    Western Blotting (WB): 1:1,000-1:5,000, Flow Cytometry (FCM): 1:200-1:2,000

    说明

    We assess the antibodies’ specificity and selectivity using knockdown techniques. Our validation approach is straightforward: if an antibody identifies a signal in wild-type (WT) cells, but this signal is absent or noticeably reduced in gene-silenced (KD) cells, we consider the antibody to be highly specific.

    限制

    仅限研究用
  • 状态

    Liquid

    缓冲液

    PBS (pH 7.4) containing 50% glycerol and 0.02% sodium azide.

    储存液

    Sodium azide

    注意事项

    This product contains Sodium azide: a POISONOUS AND HAZARDOUS SUBSTANCE which should be handled by trained staff only.

    储存条件

    -20 °C

    储存方法

    Store at -20 °C for one year.

    有效期

    12 months
  • 抗原

    SEH1L (SEH1-Like (SEH1L))

    别名

    SEH1L

    分子量

    40 kDa

    基因ID

    81929

    UniProt

    Q96EE3

    途径

    Maintenance of Protein Location
You are here: