RDH14 抗体
Our Local Distributor
北京 101111
Quick Overview for RDH14 抗体 (ABIN7800192)
抗原
See all RDH14 抗体适用
宿主
克隆类型
标记
应用范围
质量等级
克隆位点
-
-
原理
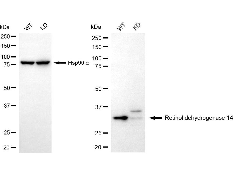
- KD-Validated RDH14 Mouse mAb
-
交叉反应
- 小鼠, 大鼠
-
纯化方法
- Affinity Purified
-
免疫原
- Recombinant protein of human RDH14
-
亚型
- IgG1
-
-
-
-
应用备注
- Western Blotting (WB): 1:100-1:500
-
说明
-
We assess the antibodies’ specificity and selectivity using knockdown techniques. Our validation approach is straightforward: if an antibody identifies a signal in wild-type (WT) cells, but this signal is absent or noticeably reduced in gene-silenced (KD) cells, we consider the antibody to be highly specific.
-
限制
- 仅限研究用
-
-
-
状态
- Liquid
-
缓冲液
- PBS (pH 7.4) containing 50% glycerol and 0.02% sodium azide.
-
储存液
- Sodium azide
-
注意事项
- This product contains Sodium azide: a POISONOUS AND HAZARDOUS SUBSTANCE which should be handled by trained staff only.
-
储存条件
- -20 °C
-
储存方法
- Store at -20 °C for one year.
-
有效期
- 12 months
-
-
- RDH14 (Retinol Dehydrogenase 14 (All-Trans/9-Cis/11-Cis) (RDH14))
-
别名
- RDH14
-
分子量
- 37 kDa
-
基因ID
- 57665
-
UniProt
- Q9HBH5
抗原
-