电话:
+86 (0512) 65829739
传真:
+86 (010) 6788 5057
电子邮件:
orders@antibodies-online.cn

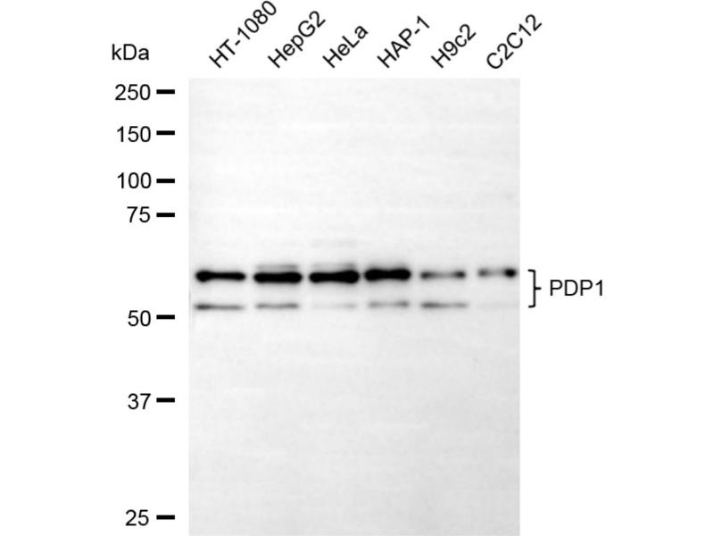
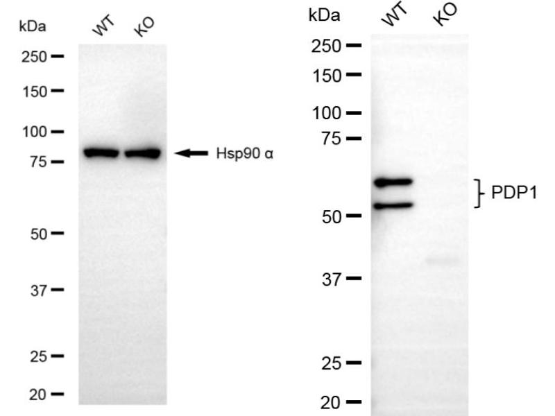
PDP 抗体

The 小鼠 多克隆 anti-PDP antibody is suitable to detect PDP in samples from 人. It has been validated for WB 和 FACS.
产品编号 ABIN7800084
发货至: 中国
Contact our Customer Service for availability and price in your country. Contact Info

Our Local Distributor

中国
北京 101111
No. 88 KeChuang 6th Street
Beijing Economic Technological Development Area
Room 801-803
4A Biotech Co.,Ltd.
Tel +86 (0512) 65829739 传真 +86 (010) 6788 5057

Quick Overview for PDP 抗体 (ABIN7800084)

抗原

See all PDP 抗体
PDP (Pyruvate Dehydrogenase Phosphatase (PDP))

适用

  • 53
  • 16
  • 14
  • 1

宿主

  • 51
  • 1
  • 1
小鼠

克隆类型

  • 51
  • 2
多克隆

标记

  • 23
  • 4
  • 4
  • 3
  • 1
  • 1
  • 1
  • 1
  • 1
  • 1
  • 1
  • 1
  • 1
  • 1
  • 1
  • 1
  • 1
  • 1
  • 1
  • 1
  • 1
  • 1
  • 1
This PDP antibody is un-conjugated

应用范围

  • 39
  • 19
  • 13
  • 13
  • 13
  • 6
  • 3
  • 3
  • 3
  • 3
  • 1
  • 1
  • 1
Western Blotting (WB), Flow Cytometry (FACS)

质量等级

KO Validated
You are here: