电话:
+86 (0512) 65829739
传真:
+86 (010) 6788 5057
电子邮件:
orders@antibodies-online.cn

Recombinant PPP6C 抗体

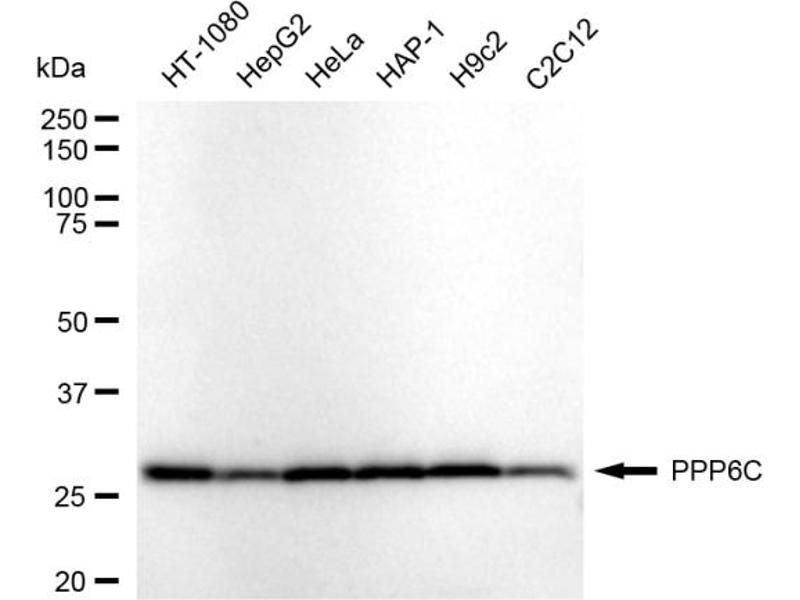
The 兔 单克隆 anti-PPP6C antibody (Clone 24GB1330) (ABIN7800031) specifically detects PPP6C in WB 和 FACS. The antibody is reactive with 人 samples.
产品编号 ABIN7800031
发货至: 中国
Contact our Customer Service for availability and price in your country. Contact Info

Our Local Distributor

中国
北京 101111
No. 88 KeChuang 6th Street
Beijing Economic Technological Development Area
Room 801-803
4A Biotech Co.,Ltd.
Tel +86 (0512) 65829739 传真 +86 (010) 6788 5057

Quick Overview for Recombinant PPP6C 抗体 (ABIN7800031)

抗原

See all PPP6C 抗体
PPP6C (Protein Phosphatase 6, Catalytic Subunit (PPP6C))

抗体类型

Recombinant Antibody

适用

  • 53
  • 10
  • 9
  • 6
  • 3
  • 2
  • 2
  • 2
  • 2
  • 2
  • 2
  • 1
  • 1
  • 1
  • 1
  • 1

宿主

  • 48
  • 3
  • 2

克隆类型

  • 38
  • 15
单克隆

标记

  • 30
  • 4
  • 4
  • 3
  • 2
  • 2
  • 1
  • 1
  • 1
  • 1
  • 1
  • 1
  • 1
  • 1
This PPP6C antibody is un-conjugated

应用范围

  • 44
  • 23
  • 12
  • 11
  • 10
  • 10
  • 5
  • 2
  • 1
Western Blotting (WB), Flow Cytometry (FACS)

克隆位点

24GB1330
You are here: