Recombinant PKC delta 抗体
Our Local Distributor
北京 101111
Quick Overview for Recombinant PKC delta 抗体 (ABIN7799995)
抗原
See all PKC delta (PKCd) 抗体抗体类型
适用
宿主
克隆类型
标记
应用范围
质量等级
克隆位点
-
-
Expression System
- HEK-293 Cells
-
原理
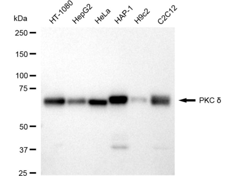
- KD-Validated Protein Kinase C Delta Recombinant Rabbit mAb
-
交叉反应
- 人, 大鼠
-
纯化方法
- Affinity Purified
-
免疫原
- Recombinant protein of mouse PKC delta
-
亚型
- IgG
-
-
-
-
应用备注
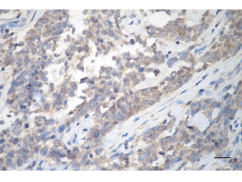
- Western Blotting (WB): 1:1,000-1:5,000, Flow Cytometry (FCM): 1:200-1:2,000, Immunohistochemistry-Paraffin (IHC-P): 1:100-1:200
-
说明
-
We assess the antibodies’ specificity and selectivity using knockdown techniques. Our validation approach is straightforward: if an antibody identifies a signal in wild-type (WT) cells, but this signal is absent or noticeably reduced in gene-silenced (KD) cells, we consider the antibody to be highly specific.
-
限制
- 仅限研究用
-
-
-
状态
- Liquid
-
缓冲液
- PBS (pH 7.4) containing 50% glycerol and 0.02% sodium azide.
-
储存液
- Sodium azide
-
注意事项
- This product contains Sodium azide: a POISONOUS AND HAZARDOUS SUBSTANCE which should be handled by trained staff only.
-
储存条件
- -20 °C
-
储存方法
- Store at -20 °C for one year.
-
有效期
- 12 months
-
-
- PKC delta (PKCd) (Protein Kinase C, delta (PKCd))
-
别名
- Protein Kinase C Delta
-
分子量
- 78 kDa
-
基因ID
- 5580
-
UniProt
- P28867
-
途径
- Interferon-gamma Pathway, EGFR Signaling Pathway, Neurotrophin Signaling Pathway, Thyroid Hormone Synthesis, Regulation of Actin Filament Polymerization, Carbohydrate Homeostasis, Myometrial Relaxation and Contraction, M Phase, G-protein mediated Events, Dicarboxylic Acid Transport, Positive Regulation of Response to DNA Damage Stimulus, Interaction of EGFR with phospholipase C-gamma, Thromboxane A2 Receptor Signaling, Lipid Metabolism
抗原
-