电话:
+86 (0512) 65829739
传真:
+86 (010) 6788 5057
电子邮件:
orders@antibodies-online.cn

Recombinant PTGDS 抗体

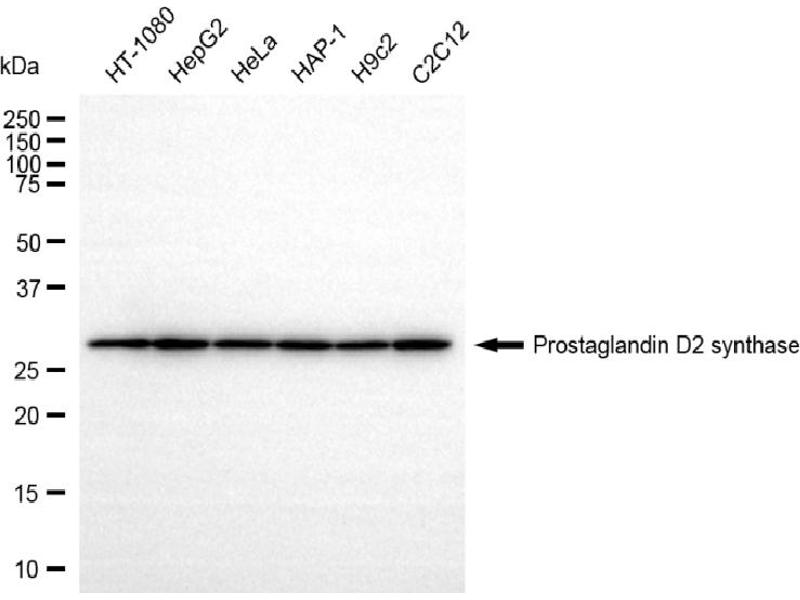
The 兔 单克隆 anti-PTGDS antibody is suitable to detect PTGDS in samples from 人. It has been validated for WB 和 FACS.
产品编号 ABIN7799931
发货至: 中国
Contact our Customer Service for availability and price in your country. Contact Info

Our Local Distributor

中国
北京 101111
No. 88 KeChuang 6th Street
Beijing Economic Technological Development Area
Room 801-803
4A Biotech Co.,Ltd.
Tel +86 (0512) 65829739 传真 +86 (010) 6788 5057

Quick Overview for Recombinant PTGDS 抗体 (ABIN7799931)

抗原

See all PTGDS 抗体
PTGDS (Prostaglandin D2 Synthase (PTGDS))

抗体类型

Recombinant Antibody

适用

  • 48
  • 20
  • 15
  • 4
  • 4
  • 3
  • 3
  • 2
  • 1

宿主

  • 42
  • 8
  • 2
  • 1

克隆类型

  • 37
  • 16
单克隆

标记

  • 34
  • 2
  • 2
  • 2
  • 2
  • 2
  • 2
  • 2
  • 2
  • 1
  • 1
  • 1
This PTGDS antibody is un-conjugated

应用范围

  • 41
  • 25
  • 17
  • 14
  • 7
  • 3
  • 2
  • 2
  • 1
  • 1
Western Blotting (WB), Flow Cytometry (FACS)

克隆位点

25GB200
You are here: