电话:
+86 (0512) 65829739
传真:
+86 (010) 6788 5057
电子邮件:
orders@antibodies-online.cn

Recombinant PMF1 抗体

The 兔 单克隆 anti-PMF1 antibody (Clone 24GB985) (ABIN7799872) specifically detects PMF1 in WB, FACS 和 ICC. The antibody is reactive with 人 samples.
产品编号 ABIN7799872
发货至: 中国
Contact our Customer Service for availability and price in your country. Contact Info

Our Local Distributor

中国
北京 101111
No. 88 KeChuang 6th Street
Beijing Economic Technological Development Area
Room 801-803
4A Biotech Co.,Ltd.
Tel +86 (0512) 65829739 传真 +86 (010) 6788 5057

Quick Overview for Recombinant PMF1 抗体 (ABIN7799872)

抗原

See all PMF1 抗体
PMF1 (Polyamine Modulated Factor 1 (PMF1))

抗体类型

Recombinant Antibody

适用

  • 35
  • 23
  • 21
  • 3
  • 3
  • 2
  • 2
  • 1
  • 1
  • 1

宿主

  • 35

克隆类型

  • 21
  • 14
单克隆

标记

  • 12
  • 3
  • 2
  • 2
  • 2
  • 2
  • 2
  • 2
  • 2
  • 2
  • 1
  • 1
  • 1
  • 1
This PMF1 antibody is un-conjugated

应用范围

  • 35
  • 21
  • 8
  • 5
  • 2
  • 2
Western Blotting (WB), Flow Cytometry (FACS), Immunocytochemistry (ICC)

质量等级

KD Validated

克隆位点

24GB985
  • Expression System

    HEK-293 Cells

    原理

    KD-Validated Polyamine Modulated Factor 1 Recombinant Rabbit mAb

    交叉反应

    小鼠, 大鼠

    纯化方法

    Affinity Purified

    免疫原

    A synthesized peptide derived from human PMF1

    亚型

    IgG
  • 应用备注

    Western Blotting (WB): 1:1,000-1:5,000, Flow Cytometry (FCM): 1:200-1:2,000, Immunocytochemistry (ICC): 1:100-1:1,000

    说明

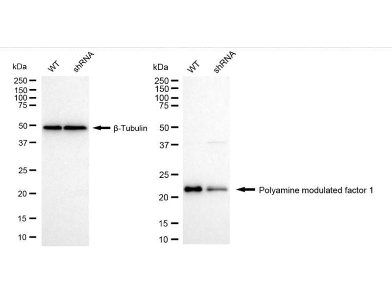
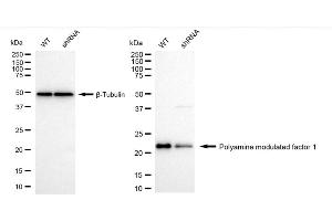
    We assess the antibodies’ specificity and selectivity using knockdown techniques. Our validation approach is straightforward: if an antibody identifies a signal in wild-type (WT) cells, but this signal is absent or noticeably reduced in gene-silenced (KD) cells, we consider the antibody to be highly specific.

    限制

    仅限研究用
  • 状态

    Liquid

    缓冲液

    PBS (pH 7.4) containing 50% glycerol and 0.02% sodium azide.

    储存液

    Sodium azide

    注意事项

    This product contains Sodium azide: a POISONOUS AND HAZARDOUS SUBSTANCE which should be handled by trained staff only.

    储存条件

    -20 °C

    储存方法

    Store at -20 °C for one year.

    有效期

    12 months
  • 抗原

    PMF1 (Polyamine Modulated Factor 1 (PMF1))

    别名

    Polyamine Modulated Factor 1

    分子量

    23 kDa

    基因ID

    11243

    UniProt

    Q6P1K2
You are here: