电话:
+86 (0512) 65829739
传真:
+86 (010) 6788 5057
电子邮件:
orders@antibodies-online.cn

PAM 抗体

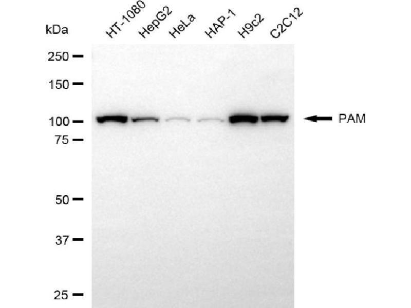
The 小鼠 多克隆 anti-PAM antibody (ABIN7799761) specifically detects PAM in WB 和 FACS. The antibody is reactive with 人 samples.
产品编号 ABIN7799761
发货至: 中国
Contact our Customer Service for availability and price in your country. Contact Info

Our Local Distributor

中国
北京 101111
No. 88 KeChuang 6th Street
Beijing Economic Technological Development Area
Room 801-803
4A Biotech Co.,Ltd.
Tel +86 (0512) 65829739 传真 +86 (010) 6788 5057

Quick Overview for PAM 抗体 (ABIN7799761)

抗原

See all PAM 抗体
PAM (Peptidylglycine alpha-Amidating Monooxygenase (PAM))

适用

  • 29
  • 14
  • 14
  • 3
  • 3
  • 3
  • 3
  • 1
  • 1
  • 1
  • 1
  • 1

宿主

  • 23
  • 3
  • 3
小鼠

克隆类型

  • 26
  • 3
多克隆

标记

  • 18
  • 2
  • 2
  • 1
  • 1
  • 1
  • 1
  • 1
  • 1
  • 1
This PAM antibody is un-conjugated

应用范围

  • 16
  • 11
  • 6
  • 2
  • 2
  • 1
  • 1
  • 1
Western Blotting (WB), Flow Cytometry (FACS)
You are here: