电话:
+86 (0512) 65829739
传真:
+86 (010) 6788 5057
电子邮件:
orders@antibodies-online.cn

Recombinant NRAS/HRAS/KRAS 抗体

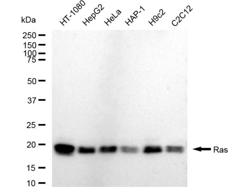
This 兔 单克隆 antibody specifically detects NRAS/HRAS/KRAS in WB 和 FACS. It exhibits reactivity toward 人.
产品编号 ABIN7799627
发货至: 中国
Contact our Customer Service for availability and price in your country. Contact Info

Our Local Distributor

中国
北京 101111
No. 88 KeChuang 6th Street
Beijing Economic Technological Development Area
Room 801-803
4A Biotech Co.,Ltd.
Tel +86 (0512) 65829739 传真 +86 (010) 6788 5057

Quick Overview for Recombinant NRAS/HRAS/KRAS 抗体 (ABIN7799627)

抗原

NRAS/HRAS/KRAS

抗体类型

Recombinant Antibody

适用

  • 10
  • 10
  • 10

宿主

  • 10

克隆类型

  • 10
单克隆

标记

  • 3
  • 1
  • 1
  • 1
  • 1
  • 1
  • 1
  • 1
This NRAS/HRAS/KRAS antibody is un-conjugated

应用范围

  • 3
  • 2
  • 1
  • 1
Western Blotting (WB), Flow Cytometry (FACS)

克隆位点

24GB350
  • Expression System

    HEK-293 Cells

    原理

    NRAS/HRAS/KRAS Recombinant Rabbit mAb

    交叉反应

    小鼠, 大鼠

    纯化方法

    Affinity Purified

    免疫原

    A synthesized peptide derived from human Ras

    亚型

    IgG
  • 应用备注

    Western Blotting (WB): 1:1,000-1:5,000, Flow Cytometry (FCM): 1:200-1:2,000

    限制

    仅限研究用
  • 状态

    Liquid

    缓冲液

    PBS (pH 7.4) containing 50% glycerol and 0.02% sodium azide.

    储存液

    Sodium azide

    注意事项

    This product contains Sodium azide: a POISONOUS AND HAZARDOUS SUBSTANCE which should be handled by trained staff only.

    储存条件

    -20 °C

    储存方法

    Store at -20 °C for one year.

    有效期

    12 months
  • 抗原

    NRAS/HRAS/KRAS

    分子量

    21 kDa

    基因ID

    4893, 3265, 3845

    UniProt

    P01111, P01112, P01116
You are here: