电话:
+86 (0512) 65829739
传真:
+86 (010) 6788 5057
电子邮件:
orders@antibodies-online.cn

MTDH 抗体

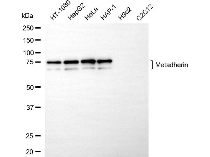
This 小鼠 单克隆 antibody specifically detects MTDH in WB 和 FACS. It exhibits reactivity toward 人.
产品编号 ABIN7799375
发货至: 中国
Contact our Customer Service for availability and price in your country. Contact Info

Our Local Distributor

中国
北京 101111
No. 88 KeChuang 6th Street
Beijing Economic Technological Development Area
Room 801-803
4A Biotech Co.,Ltd.
Tel +86 (0512) 65829739 传真 +86 (010) 6788 5057

Quick Overview for MTDH 抗体 (ABIN7799375)

抗原

See all MTDH 抗体
MTDH (Metadherin (MTDH))

适用

  • 70
  • 30
  • 17
  • 3
  • 2
  • 1
  • 1
  • 1
  • 1
  • 1

宿主

  • 56
  • 12
  • 3
小鼠

克隆类型

  • 46
  • 25
单克隆

标记

  • 40
  • 3
  • 2
  • 2
  • 2
  • 2
  • 2
  • 2
  • 1
  • 1
  • 1
  • 1
  • 1
  • 1
  • 1
  • 1
  • 1
  • 1
  • 1
  • 1
  • 1
  • 1
  • 1
  • 1
This MTDH antibody is un-conjugated

应用范围

  • 61
  • 30
  • 23
  • 20
  • 19
  • 13
  • 13
  • 13
  • 11
  • 9
  • 6
  • 2
Western Blotting (WB), Flow Cytometry (FACS)

克隆位点

25GB5810
  • 原理

    MTDH Mouse mAb

    纯化方法

    Affinity Purified

    免疫原

    Recombinant protein of human MTDH

    亚型

    IgG1
  • 应用备注

    Western Blotting (WB): 1:500-1:2,500, Flow Cytometry (FCM): 1:200-1:2,000

    限制

    仅限研究用
  • 状态

    Liquid

    缓冲液

    PBS (pH 7.4) containing 50% glycerol and 0.02% sodium azide.

    储存液

    Sodium azide

    注意事项

    This product contains Sodium azide: a POISONOUS AND HAZARDOUS SUBSTANCE which should be handled by trained staff only.

    储存条件

    -20 °C

    储存方法

    Store at -20 °C for one year.

    有效期

    12 months
  • 抗原

    MTDH (Metadherin (MTDH))

    别名

    MTDH

    分子量

    64 kDa

    基因ID

    92140

    UniProt

    Q86UE4

    途径

    Cellular Response to Molecule of Bacterial Origin, Cell-Cell Junction Organization
You are here: