电话:
+86 (0512) 65829739
传真:
+86 (010) 6788 5057
电子邮件:
orders@antibodies-online.cn

Recombinant MXD3 抗体

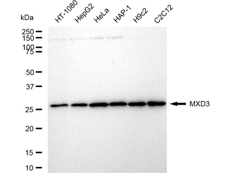
The 兔 单克隆 anti-MXD3 antibody (Clone 24GB745) (ABIN7799344) specifically detects MXD3 in WB 和 FACS. The antibody is reactive with 人 samples.
产品编号 ABIN7799344
发货至: 中国
Contact our Customer Service for availability and price in your country. Contact Info

Our Local Distributor

中国
北京 101111
No. 88 KeChuang 6th Street
Beijing Economic Technological Development Area
Room 801-803
4A Biotech Co.,Ltd.
Tel +86 (0512) 65829739 传真 +86 (010) 6788 5057

Quick Overview for Recombinant MXD3 抗体 (ABIN7799344)

抗原

See all MXD3 抗体
MXD3 (MAX Dimerization Protein 3 (MXD3))

抗体类型

Recombinant Antibody

适用

  • 48
  • 17
  • 16
  • 5
  • 4
  • 4
  • 4
  • 4
  • 3
  • 3
  • 2
  • 1
  • 1
  • 1

宿主

  • 34
  • 14
  • 1

克隆类型

  • 25
  • 24
单克隆

标记

  • 23
  • 3
  • 3
  • 2
  • 2
  • 2
  • 2
  • 2
  • 1
  • 1
  • 1
  • 1
  • 1
  • 1
  • 1
  • 1
  • 1
  • 1
This MXD3 antibody is un-conjugated

应用范围

  • 35
  • 18
  • 14
  • 12
  • 11
  • 2
  • 1
Western Blotting (WB), Flow Cytometry (FACS)

克隆位点

24GB745
You are here: