电话:
+86 (0512) 65829739
传真:
+86 (010) 6788 5057
电子邮件:
orders@antibodies-online.cn

Recombinant LGALS1/Galectin 1 抗体

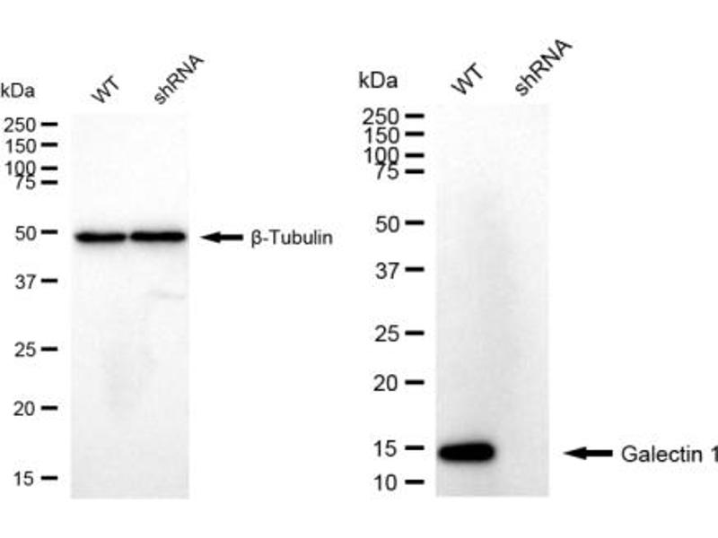
The 兔 单克隆 anti-LGALS1/Galectin 1 antibody (Clone 23GB6025) (ABIN7799242) specifically detects LGALS1/Galectin 1 in WB, ICC 和 FACS. The antibody is reactive with 人 samples.
产品编号 ABIN7799242
发货至: 中国
Contact our Customer Service for availability and price in your country. Contact Info

Our Local Distributor

中国
北京 101111
No. 88 KeChuang 6th Street
Beijing Economic Technological Development Area
Room 801-803
4A Biotech Co.,Ltd.
Tel +86 (0512) 65829739 传真 +86 (010) 6788 5057

Quick Overview for Recombinant LGALS1/Galectin 1 抗体 (ABIN7799242)

抗原

See all LGALS1/Galectin 1 (LGALS1) 抗体
LGALS1/Galectin 1 (LGALS1) (Lectin, Galactoside-Binding, Soluble, 1 (LGALS1))

抗体类型

Recombinant Antibody

适用

  • 143
  • 87
  • 60
  • 11
  • 4
  • 3
  • 3
  • 2
  • 1
  • 1
  • 1
  • 1

宿主

  • 158
  • 34
  • 2
  • 2
  • 2

克隆类型

  • 113
  • 81
  • 2
单克隆

标记

  • 88
  • 21
  • 14
  • 4
  • 4
  • 4
  • 4
  • 4
  • 4
  • 4
  • 2
  • 2
  • 2
  • 2
  • 2
  • 2
  • 2
  • 2
  • 2
  • 2
  • 2
  • 2
  • 2
  • 2
  • 2
  • 2
  • 2
  • 2
  • 2
  • 2
  • 2
  • 2
  • 1
This LGALS1/Galectin 1 antibody is un-conjugated

应用范围

  • 158
  • 92
  • 53
  • 39
  • 36
  • 31
  • 30
  • 27
  • 27
  • 16
  • 14
  • 10
  • 9
  • 5
  • 5
  • 4
  • 2
  • 2
  • 2
  • 1
  • 1
  • 1
  • 1
  • 1
Western Blotting (WB), Immunocytochemistry (ICC), Flow Cytometry (FACS)

质量等级

KD Validated

克隆位点

23GB6025
You are here: