电话:
+86 (0512) 65829739
传真:
+86 (010) 6788 5057
电子邮件:
orders@antibodies-online.cn

KRT17 抗体

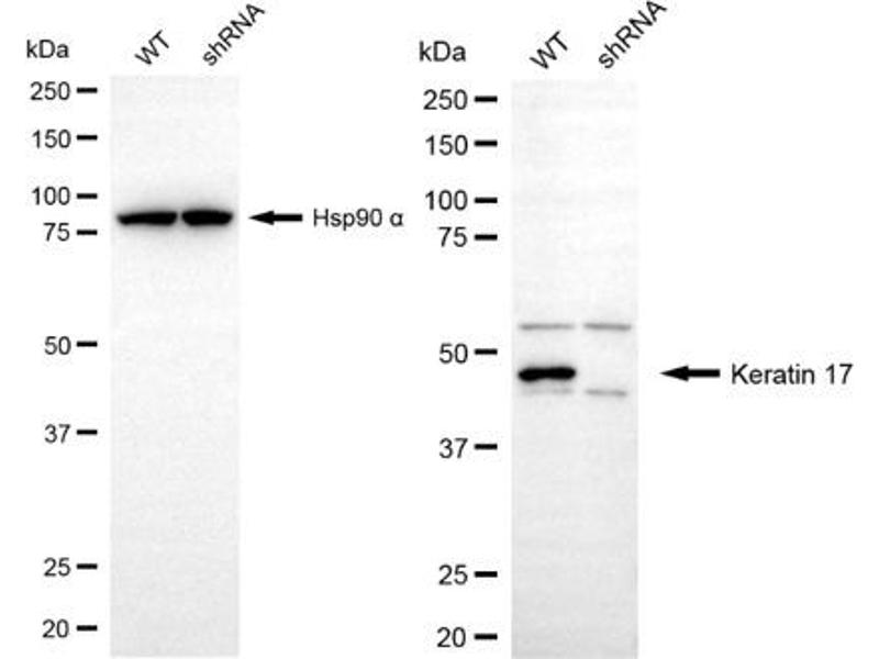
This 兔 多克隆 antibody specifically detects KRT17 in WB. It exhibits reactivity toward 人.
产品编号 ABIN7799171
发货至: 中国
Contact our Customer Service for availability and price in your country. Contact Info

Our Local Distributor

中国
北京 101111
No. 88 KeChuang 6th Street
Beijing Economic Technological Development Area
Room 801-803
4A Biotech Co.,Ltd.
Tel +86 (0512) 65829739 传真 +86 (010) 6788 5057

Quick Overview for KRT17 抗体 (ABIN7799171)

抗原

See all KRT17 抗体
KRT17 (Keratin 17 (KRT17))

适用

  • 152
  • 61
  • 42
  • 19
  • 14
  • 12
  • 6
  • 3
  • 2
  • 1
  • 1
  • 1
  • 1

宿主

  • 122
  • 40
  • 1

克隆类型

  • 96
  • 66
  • 1
多克隆

标记

  • 74
  • 16
  • 8
  • 5
  • 4
  • 4
  • 4
  • 4
  • 4
  • 4
  • 2
  • 2
  • 2
  • 2
  • 2
  • 2
  • 2
  • 2
  • 2
  • 2
  • 2
  • 2
  • 2
  • 1
  • 1
  • 1
  • 1
  • 1
  • 1
  • 1
  • 1
  • 1
  • 1
This KRT17 antibody is un-conjugated

应用范围

  • 121
  • 68
  • 43
  • 37
  • 35
  • 33
  • 27
  • 26
  • 16
  • 16
  • 16
  • 3
  • 3
  • 2
  • 2
  • 1
  • 1
  • 1
Western Blotting (WB)

质量等级

KD Validated
  • 原理

    KD-Validated Keratin 17 Rabbit pAb

    纯化方法

    Affinity Purified

    免疫原

    A synthesized peptide derived from human Cytokeratin 17

    亚型

    IgG
  • 应用备注

    Western Blotting (WB): 1:1,000-1:5,000

    说明

    We assess the antibodies’ specificity and selectivity using knockdown techniques. Our validation approach is straightforward: if an antibody identifies a signal in wild-type (WT) cells, but this signal is absent or noticeably reduced in gene-silenced (KD) cells, we consider the antibody to be highly specific.

    限制

    仅限研究用
  • 状态

    Liquid

    缓冲液

    PBS (pH 7.4) containing 50% glycerol and 0.02% sodium azide.

    储存液

    Sodium azide

    注意事项

    This product contains Sodium azide: a POISONOUS AND HAZARDOUS SUBSTANCE which should be handled by trained staff only.

    储存条件

    -20 °C

    储存方法

    Store at -20 °C for one year.

    有效期

    12 months
  • 抗原

    KRT17 (Keratin 17 (KRT17))

    别名

    Keratin 17

    分子量

    48 kDa

    基因ID

    3872

    UniProt

    Q04695
You are here: